dentt Опубликовано 14 апреля, 2023 Поделиться Опубликовано 14 апреля, 2023 Здраствуйте. У меня вопрос касательно правого верхнего зуба, семерки, перед зубом мудрости. Он был фактичекси полностью запломбирован около трех лет фотополимером, лиш тонкие стенки были. Сама пломба вылетела, эти стенки остались, кроме верхней внешней стенки, что несколько сточилась сейчас. Возможно ли здесь поставить пломбу заново? Позволяют ли корни. Как сделать чтобы пломба какое то время более менее стабильно держалась при небольшой жевательной нагрузки? Ссылка на комментарий
IvanK Опубликовано 15 апреля, 2023 Поделиться Опубликовано 15 апреля, 2023 20 часов назад, dentt сказал: Возможно ли здесь поставить пломбу заново? Здравствуйте, для оценки корней этого снимка не достаточно, в идеале сделать компьютерную томографию восстанавливать зуб пломбировочным материалом нельзя, если корни в порядке, то необходима консультация стоматолога-ортопеда Ссылка на комментарий
dentt Опубликовано 15 апреля, 2023 Автор Поделиться Опубликовано 15 апреля, 2023 (изменено) А почему нельзя снова поставить пломбу? Ведь здесь полностью вылетела пломба без остатков зуба, и корни как я вижу в том же визуальном состояние что и когда этот зуб пломбировали пару лет назад. Здесь стенки не позволяют, ибо очень тонкие или невысокие над уровнем десны? Или состояние корней, их возможное расходение? Вы спрашиваете о компьютерной томографии чтобы лучше увидеть состояниек корней, а что именно имеется ввиду? Как и под консультацией ортопеда вы имеете ввиду изучение возможности установки культи? Если имеется ввиду мост, то пятый зуб, премоляр,- перед шестым в котором остались одни корни, и остатки стенки - он полностью запломбирован фотополимером который крепится лиш к одной внешней стенки. И что сейчас вспомнил, то что после установки пломбы на этот премоляр на второй день было очень неприятное и болевое ощущение которое я когда-то чуствовал лиш когда очень давно мне готовили соседнюю шестерку под пломбирование. Изменено 15 апреля, 2023 пользователем dentt Ссылка на комментарий
dentt Опубликовано 15 апреля, 2023 Автор Поделиться Опубликовано 15 апреля, 2023 Эта семерка единственный жевательный зуб, который у меня был, хоть с пломбой, и мне очень бы хотелось бы его сохранить с пломбой хотя бы на некоторое время. Ссылка на комментарий
shishok Опубликовано 16 апреля, 2023 Поделиться Опубликовано 16 апреля, 2023 Пломбу не к чему крепить (нет стенок). Как Вам уже написали- нужна консультация ортопеда(восстановить зуб культевой вкладкой и коронкой, если будут подходящие условия). Ссылка на комментарий
IvanK Опубликовано 19 апреля, 2023 Поделиться Опубликовано 19 апреля, 2023 15.04.2023 в 23:03, dentt сказал: А почему нельзя снова поставить пломбу? Здравствуйте, потому что показаний к пломбе уже нет Можно поставить и пломбу, но это как класть асфальт в лужу.. такое делается, но не надолго) 15.04.2023 в 23:03, dentt сказал: что именно имеется ввиду? да, для оценки состояния корней. 15.04.2023 в 23:03, dentt сказал: Если имеется ввиду мост, я ничего не имел ввиду, только то, что написал, что консультация нужна 15.04.2023 в 23:09, dentt сказал: Эта семерка единственный жевательный зуб, который у меня был, хоть с пломбой, и мне очень бы хотелось бы его сохранить с пломбой это Ваше право, думаю, что Вы найдете врача, который поставит пломбу Хорошего дня Ссылка на комментарий
dentt Опубликовано 21 апреля, 2023 Автор Поделиться Опубликовано 21 апреля, 2023 (изменено) Мне бы подошел вариант чтобы пломбу поставили хоть ненадолго, чтобы стояла хоть до полугода, хоть пару месяцев. И так два-три захода чтобы еще как то сохранить небольшую жевательную функцию с этой стороны зубного ряда. Потому что за то время что она вылетела, я так понимаю нагрузка намного больше на переднии зубы, а они тоже в пломбах. И стенка пусть невысокая, с внешней стороны там есть. Хотя она более темная, подходит ли она для пломбирования, и "прикрепится" ли к ней пломбировочный материал в таком случае, и какой более подойдет в этой ситуации это для меня вопрос? Я выше кстати написал про премоляр, где лиш одна стенка тоже внешняя, а внутреннею, врач при подготовки к пломбированию или по неосторожности или потому что она ему больше мешала, просто спилил, хотя может потому и пломба держится. Однако на премоляре площадь меньше и глубина и высота пломбы больше. В этой же семерки, я как раз остерегался, что пломба раньше или позже вылетит, что и произошло. Но в предыдущем случае, три года назад, предыдущая пломба вылетела через полгода после установки, и помню была очень глубокая "яма" так что я вынужден был в тот же день ехать к врачу и он поставил так что держалась несколько лет. Но очевидно что кариес ее с внутренней стороны все таки подточил. Здесь же почему то "глубины" в зубе я не чуствую после того как остался без пломбы, хотя вместе с ней вылетели гутаперчевые штифты, а на снимке как бы они видны или просто каналы. Изменено 21 апреля, 2023 пользователем dentt Ссылка на комментарий
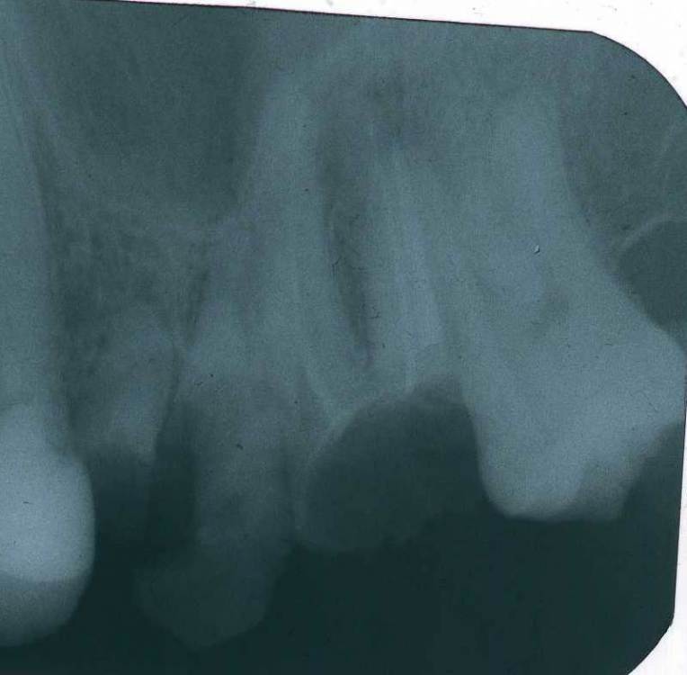
dentt Опубликовано 21 апреля, 2023 Автор Поделиться Опубликовано 21 апреля, 2023 Потому, так как вылетела только сама пломба, надеялся что можно хоть временно поставить, но стандартную пломбу. Хоть милиметр-два внешней стенки есть, на снимке она видна серым, полупрозрачном цветом. И хотелось бы знать, как на счет корней, есть там расхождение, или нет? Внизу, они вроде смыкаются. И такое состояние корней было и пару лет назад когда пломба стояла. Ссылка на комментарий
Carioznik Опубликовано 21 апреля, 2023 Поделиться Опубликовано 21 апреля, 2023 У Вас на корнях зуба - есть хроническое воспаление. Если Вы просто поставите пломбу с большой долей вероятности зуб заболит. Чтобы он не заболел , нужно сначала перелечить каналы и только потом поставить пломбу. хорошее лечение каналов займет прилично времени и будет стоить очень не дёшево. Далее, после вылеченных каналов - нужно делать пломбу, в Вашей ситуации, чтобы пломба не вылетела через пару дней-недель -нужен будет ещё штифт. Соответственно цена за пломбу тоже будет не маленькая. Итого: вкладываем много сил и средств в бесперспективный метод лечения ("просто" поставить пломбу). Если Вы готовы прилично пртратится на этот зуб с перспективой удалить его в течении одного до трёх (если повезёт) и найдёте врача , который возьмётся за эту авантюру - то делайте. Ссылка на комментарий
IvanK Опубликовано 22 апреля, 2023 Поделиться Опубликовано 22 апреля, 2023 Мне кажется, что уже все обсудили) Если будут вопросы, то обращайтесь Ссылка на комментарий
dentt Опубликовано 2 мая, 2023 Автор Поделиться Опубликовано 2 мая, 2023 (изменено) Если б здесь можно было поставить пломбу, даже на год, даже с перелечиванием каналов, это было хорошо. Но я сделал снимки зуба с помощью зеркальца, и зуб выглядит даже не так как я его вижу смотря сам в зеркало. Тем более возле соседнего зуба мудрости как то уже много десны, хотя под разными углами ее обьем видится по разному. Может она теперь появилась, так как прошло несколько месяцев после того как пломба вылетела (хотя просто в зеркале это отсутвие твердой основы видно более вертикально, и серого цвета). Изменено 2 мая, 2023 пользователем dentt Ссылка на комментарий
dentt Опубликовано 2 мая, 2023 Автор Поделиться Опубликовано 2 мая, 2023 (изменено) Снимки как есть: Изменено 2 мая, 2023 пользователем dentt Ссылка на комментарий
IvanK Опубликовано 3 мая, 2023 Поделиться Опубликовано 3 мая, 2023 Здравствуйте, судя по фото - это уже удаление 2 Ссылка на комментарий
red_butler Опубликовано 3 мая, 2023 Поделиться Опубликовано 3 мая, 2023 удалять Ссылка на комментарий
Doc Опубликовано 3 мая, 2023 Поделиться Опубликовано 3 мая, 2023 Даже речи нет ни о каком лечении. Тут корни уже друг от друга отгнили. Что тут лечить? Ссылка на комментарий
dentt Опубликовано 3 мая, 2023 Автор Поделиться Опубликовано 3 мая, 2023 (изменено) Я имел ввиду этот зуб, седьмой, обведенный здесь на фото: Слева от него видно часть зуба мудрости. Это в шестом зубе видно лиш отдельные корни (пни), или как это назвать. Изменено 3 мая, 2023 пользователем dentt Ссылка на комментарий
dentt Опубликовано 3 мая, 2023 Автор Поделиться Опубликовано 3 мая, 2023 Там видно как я писал что возле зуба мудрости уже часть десны, где зуб отколололся или скорее разрушился. Но остальную часть что невозможно никак хоть под культю использовать? На первом из двох фото - видно что есть внешняя стенка. Ссылка на комментарий
red_butler Опубликовано 4 мая, 2023 Поделиться Опубликовано 4 мая, 2023 шестой, седьмой и восьмой зубы удалять Ссылка на комментарий
IvanK Опубликовано 4 мая, 2023 Поделиться Опубликовано 4 мая, 2023 тут уже словами не помочь , нужно начинать действовать 1 Ссылка на комментарий
Doc Опубликовано 4 мая, 2023 Поделиться Опубликовано 4 мая, 2023 17 часов назад, dentt сказал: На первом из двох фото - видно что есть внешняя стенка. Есть. Одна из четырех. А нужно четыре стенки высотой не менее 1 мм над уровнем десны. 1 Ссылка на комментарий
dentt Опубликовано 11 мая, 2023 Автор Поделиться Опубликовано 11 мая, 2023 А почему здесь невозможно поставить культю, хотябы постаратся это сделать? Каким основам это противоречит? Корни не впорядке? На рентгене что видно разрушения. Часть корня возле зуба мудрости откололась? Или через то что лиш одна наружная стенка имеет часть стенки (ферул)? Это обязательное условие? Во многих материалах пишут что культю можно применять даже если корни уже разрушены, или даже ниже десны до 2-3 см. Условия установки культи резко ухудшаются, но культя возможна даже при разрушение подднесневой части корня. И потому эта незыблемость к требованию к остаткам культи, в частности ее наддесневой части, не всегда обоснована. Ссылка на комментарий
dentt Опубликовано 11 мая, 2023 Автор Поделиться Опубликовано 11 мая, 2023 И что будет если поставить культю с коронкой здесь?! Я ведь написал что сильного жевательного давления на этот зуб не было, потому и пломба наверное держалась столько времени, однако кариэс (темная часть) с внутренней стороны все таки привел к тому что пломбе уже не не было за что держатся. Если б культя могла здесь продержатся хотя бы год-полтора это было б хорошо. Есть что большой риск перелома корня, расцементирования? Ссылка на комментарий
IvanK Опубликовано 12 мая, 2023 Поделиться Опубликовано 12 мая, 2023 Здравствуйте, мне кажется, что разговор зашел в тупик) Давайте скажу так Для всего есть показания и противопоказания, тут показания к удалению если Вы найдете врача, который сделает так как Вы хотите - это будет врачебной ошибкой. 1 1 Ссылка на комментарий
dentt Опубликовано 19 мая, 2023 Автор Поделиться Опубликовано 19 мая, 2023 Я понимаю что есть показаниние к удалению, зуб очень сильно разрушен. Но если есть возможность поставить культю, то это не спешат делать. Я поэтому спрашиваю, какие есть именно показание что здесь культю не поставить? Вот я еще на прошлой недели сделал выдержки из материалов и учебников касательно этого: что это возможность сохранить зуб любым способом; касается это и тех зубов, у которых разрушен даже корень; данный вариант позволяет использовать ослабленные зубы вообще без стенок; если наддесневая часть зуба полностью разрушена, культю создают с уступами на твердых тканях; К противопоказаниям относятся: разрушения зуба ниже уровня десны 2-3 мм, отсутствие феррула зуба как такового (здесь он есть хоть с одной стороны); твердые ткани зуба разрушены ниже уровня десневого края до 1/4 длины корня; А еще подчеркивают: недооценка профилактической значимости восстановления коронковой части зуба при наличии корня (корней) зуба в повседневной практике ведет к неоправданному удалению корня; лишь при разрушение поддесневой части корня условия для протезирования резко ухудшаются однако и в этом случае протезирование по определенным показаниям может быть осуществленно; В учебнике Аболмасова, на котором наверное учатся будущие стоматологи, написано: При полном разрушении естественных коронок зубов важное значение имеет сохранение их корней. Особенно актуально оно в случаях, когда удаление корней далеко не всегда обоснованное, незыблемость и однозначность укоренившихся требований к оставшейся культе зуба, в частности, необходимость ее выстояния над уровнем десны. Хотя здесь автор имеет ввиду скорее штифтовые конструкции, но разве не оправдано ли это и к культе на молярах. Это ведь проще применить. Ссылка на комментарий
Рекомендуемые сообщения
Для публикации сообщений создайте учётную запись или авторизуйтесь
Вы должны быть пользователем, чтобы оставить комментарий
Создать аккаунт
Зарегистрируйте новый аккаунт в нашем сообществе. Это очень просто!
Регистрация нового пользователяВойти
Уже есть аккаунт? Войти в систему.
Войти