Перейти к содержанию
Стоматология для всех

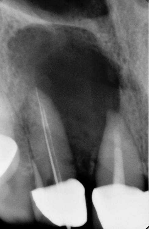
Огромная «киста» во фронте


Гарриевич

Рекомендуемые сообщения

Кортикалки не было, во второе посещение в каналах удалось добиться сухости 

закрыл триоксидеКнтом на случай если понадобится апикалка

ADA1AAC1-D36F-4151-B330-84D03F84F3DB.thumb.jpeg.cc9538010dddeb11142781cbfcf77c03.jpeg
 

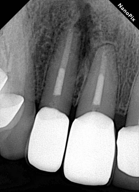
Где то через год после консервативного лечения


E8765AA6-FC49-4C36-A6D1-08B90AB26A9F.thumb.jpeg.8ff0fcf318099d06b051ce002078972c.jpeg
 

дальше пациент пошла на апикалку, но попала к обычному хирургу, который просто »почикал» корень бором… слегка))
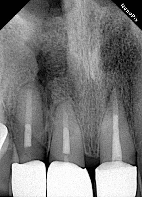
дальше были осмотры каждый год и вот спустя 4,5 лет результат 

что скажете?

FD7D4C62-7B6F-4859-8F8A-76F0D9DC3F45.thumb.jpeg.904469e70aa199b70a8e50693a0c468b.jpeg
8729F8B9-7ED7-426E-B615-9A7F76C5F79F.thumb.jpeg.2b6efb9e94e051bbde3dd8994182df8a.jpeg
 

 На КЛКТ прослеживается ороназальное  сообщение (его и на прицелках видно). Пациента ничего не беспокоит, функция и эстетика восстановлены 

6434EA32-5E6F-482E-A24A-E980C5052312.thumb.jpeg.afe6894b070f08a94b0555fae30ab9e1.jpeg

  • Like 4
  • Смущение 1
  • Спасибо 1
Ссылка на комментарий
2 часа назад, Гарриевич сказал:

прослеживается ороназальное  сообщение

Как думаете, сообщение сразу было с момента  начал лечения? (кт диагностического не было?)

Изменено пользователем Carioznik
Ссылка на комментарий
2 часа назад, Гарриевич сказал:

пациент пошла на апикалку, но попала к обычному хирургу, который просто »почикал» корень бором… слегка))

а если "апикалка" не причём,  а причиной последующей положительной динамики стала декомпрессия сделанная хирургом при "апикалке"? хотя если сообщение с носом было изначально....да и ход  и динамика хир.лечения неизвестна..

Изменено пользователем Carioznik
Ссылка на комментарий
4 часа назад, Carioznik сказал:

Как думаете, сообщение сразу было с момента  начал лечения? (кт диагностического не было?)

Было изначально 

Ссылка на комментарий

Для публикации сообщений создайте учётную запись или авторизуйтесь

Вы должны быть пользователем, чтобы оставить комментарий

Создать аккаунт

Зарегистрируйте новый аккаунт в нашем сообществе. Это очень просто!

Регистрация нового пользователя

Войти

Уже есть аккаунт? Войти в систему.

Войти
×
×
  • Создать...
Вверх