Гарриевич Опубликовано 20 марта, 2023 Поделиться Опубликовано 20 марта, 2023 4 2 1 Ссылка на комментарий
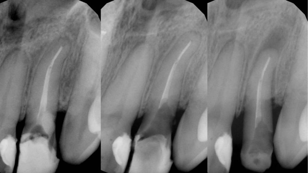
Гарриевич Опубликовано 21 марта, 2023 Автор Поделиться Опубликовано 21 марта, 2023 Пациент обратился с запросом обойти ступеньку и ложный ход в корневом канале образовавшиеся в ходе попытки перелечивания 2.2 зуба. Такде обнаружена глубокая поддесневая перфорация дистальной стенки закрытая композитом с признаками нарушения герметичности. Было решено произвести экструзию зуба 2.2 с последующим восстановлением коронкой. Экструзия производилась с помощью поперечно зафиксированного стекловолоконного штифта и ортодонтической цепочки. Из-за выраженной кривизны корня потребовалось 10 дней для достаточного вытяжения зуба. После вытяжения произведено эндодонтическое перелечивание и композитная надстройка культи. Зуб 2.2 зашинирован на 3 месяца. После периода ретенции ортопедом (Олег Саркисов) изготовлена провизорная коронка для формирования правильного десневого контура, которая через 3 недели была заменена на временную коронку длительного ношения. Через 4 месяца постоянная коронка из диоксида циркония зафиксирована на 2.2 зуб (также на 1.2/1.1/2.1). Осмотр через 1 год показывает хороший результат и сформировавшиеся десневые сосочки. Небольшой рубец пациента не беспокоит. Ортопед Олег Саркисов (bratok) Терапевт Юрий Кочаров 4 1 1 Ссылка на комментарий
Рекомендуемые сообщения
Для публикации сообщений создайте учётную запись или авторизуйтесь
Вы должны быть пользователем, чтобы оставить комментарий
Создать аккаунт
Зарегистрируйте новый аккаунт в нашем сообществе. Это очень просто!
Регистрация нового пользователяВойти
Уже есть аккаунт? Войти в систему.
Войти