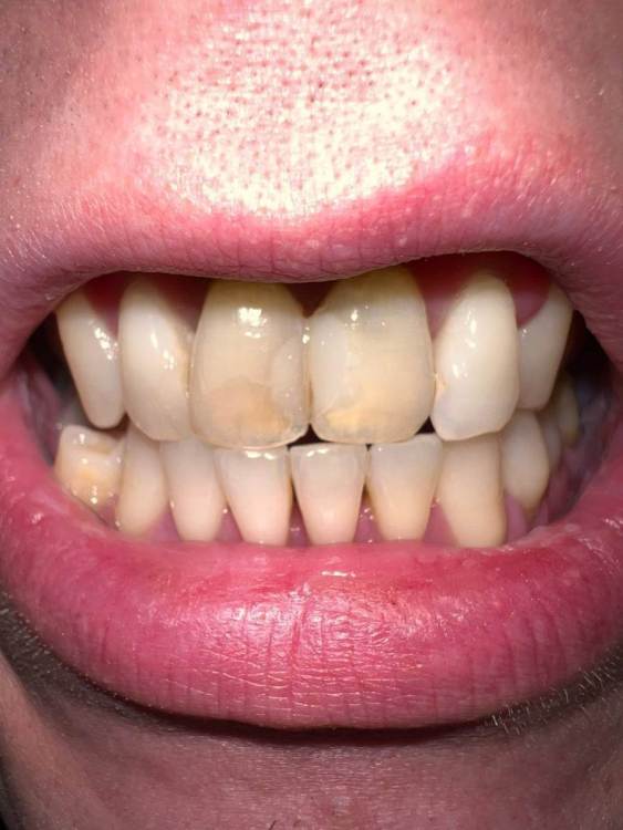
Динар Опубликовано 12 марта, 2023 Поделиться Опубликовано 12 марта, 2023 Всем добрый вечер. Подскажите пожалуйста как лучше решить такую проблему. В дестве поставили пломбы на 3 передних зуба. со временем зубы начали желтеть в конце и темнеть у основания. Да и сами пломбы начали темнеть. Поменял пломбы, но цвет зубов все равно желтый. В частной клинике объяснили, что это из за удаленных нервов, зубы мертвые и постепенно цвет меняется. Посоветовали коронки или виниры на выбор. И возник вопрос что лучше: Виниры как я понял красивее и эстетичнее, но: могут упасть, и должны наноситься на целый не поврежденный зуб, а у меня там процентов 40 это пломба. Получится ли. Коронки с другой стороны более долговечнее, но будут ли они смотреться натурально. Подскажите пожалуйста, что лучше? Беспокоят в основном 2 передник зуба, 3-ий зуб вроде не сильно выделяется. Ссылка на комментарий
Doc Опубликовано 12 марта, 2023 Поделиться Опубликовано 12 марта, 2023 Виниры ставить уже поздно при таком поражении эмали и количестве пломб. Но что нужно делать сказать по одной фотографии сложно. 1 Ссылка на комментарий
Динар Опубликовано 12 марта, 2023 Автор Поделиться Опубликовано 12 марта, 2023 44 минуты назад, Doc сказал: Виниры ставить уже поздно при таком поражении эмали и количестве пломб. Но что нужно делать сказать по одной фотографии сложно. Понял. Завтра сделаю снимок и прикреплю. Какие ещё данные нужны для более ясного видения этой проблемы? Ссылка на комментарий
DoctorT Опубликовано 13 марта, 2023 Поделиться Опубликовано 13 марта, 2023 @Динар @Динар 16 часов назад, Динар сказал: Всем добрый вечер. Подскажите пожалуйста как лучше решить такую проблему. В дестве поставили пломбы на 3 передних зуба. со временем зубы начали желтеть в конце и темнеть у основания. Да и сами пломбы начали темнеть. Поменял пломбы, но цвет зубов все равно желтый. В частной клинике объяснили, что это из за удаленных нервов, зубы мертвые и постепенно цвет меняется. Посоветовали коронки или виниры на выбор. И возник вопрос что лучше: Виниры как я понял красивее и эстетичнее, но: могут упасть, и должны наноситься на целый не поврежденный зуб, а у меня там процентов 40 это пломба. Получится ли. Коронки с другой стороны более долговечнее, но будут ли они смотреться натурально. Подскажите пожалуйста, что лучше? Беспокоят в основном 2 передник зуба, 3-ий зуб вроде не сильно выделяется. Точно не виниры, и прежде чем протезировать переднюю группу зубов, я бы решил проблему с отсутствием боковых. Ссылка на комментарий
red_butler Опубликовано 13 марта, 2023 Поделиться Опубликовано 13 марта, 2023 15 часов назад, Динар сказал: Понял. Завтра сделаю снимок и прикреплю. Какие ещё данные нужны для более ясного видения этой проблемы? Фото улыбки Фото с сомкнутыми зубами (сомкнуть все зубы) спереди, справа и слева. На фото справа и слева должны быть видны зубы от центрального резца до шестого. Фото лица в фас и профиль. Условия: зубы плотно сжаты как всегда (не выдвигая вперед), губы максимально расслаблены, голова и шея также расслаблены, взгляд ПРЯМО перед собой в зеркало или бесконечность. Ссылка на комментарий
Doc Опубликовано 13 марта, 2023 Поделиться Опубликовано 13 марта, 2023 И желательно рентгеновские снимки. Ссылка на комментарий
Динар Опубликовано 14 марта, 2023 Автор Поделиться Опубликовано 14 марта, 2023 (изменено) @red_butler @Doc Сегодня так же иду на консультацию по коронкам. Изменено 14 марта, 2023 пользователем Динар Ссылка на комментарий
Рекомендуемые сообщения
Для публикации сообщений создайте учётную запись или авторизуйтесь
Вы должны быть пользователем, чтобы оставить комментарий
Создать аккаунт
Зарегистрируйте новый аккаунт в нашем сообществе. Это очень просто!
Регистрация нового пользователяВойти
Уже есть аккаунт? Войти в систему.
Войти