Ольгаxxx Опубликовано 1 марта, 2023 Поделиться Опубликовано 1 марта, 2023 (изменено) 1. Стоит ли удалять два зуба сразу 7 и 8, в клинике, где используют коллагеновую губку Botiss-collacone? 2. Или отдать предпочтение методу, где берут кровь из вены и в центрифуге делят ее на три фракции, таким образом отделяя плазму, богатую тромбоцитами и используют после удаления зубов. Какой метод предпочтительней? 3. Какой материал выбрать для жевательной группы, собираюсь покрыть 5, 6. E-MAX ИЛИ ЦИРКОНИЕВЫМ отдать предпочтение? Благодарю за ваши ответы. Изменено 1 марта, 2023 пользователем Ольгаxxx Ссылка на комментарий
Doc Опубликовано 1 марта, 2023 Поделиться Опубликовано 1 марта, 2023 Решать, что использовать, должен врач по ситуации. В жевательной зоне коронка на основе диоксида циркония будет проще и надежнее. Ссылка на комментарий
Ольгаxxx Опубликовано 1 марта, 2023 Автор Поделиться Опубликовано 1 марта, 2023 17 минут назад, Doc сказал: Решать, что использовать, должен врач по ситуации. В жевательной зоне коронка на основе диоксида циркония будет проще и надежнее. Спасибо. мнение врачей разделились. Врач, который топит за Емах, говорит, что они прочнее и лучше. Ссылка на комментарий
Mailze Опубликовано 2 марта, 2023 Поделиться Опубликовано 2 марта, 2023 Два врача, три мнения это нормально ))) И И.Макс и диоксид циркония - это отличный и современный материал. Поэтому оба варианта хорошие. Мы в нашей клинике не даем пациенту выбор между диксидом циркония и и.макс. Выбирает врач, исходя из клинической ситуации. Если зуб витальный (живой) и сохранено более 2/3 эмали - лучший выбор И.макс. Если зуб депульпированный и большая часть зуба это пломба, то рациональнее сделать коронки из диоксид циркония. 1 Ссылка на комментарий
Ольгаxxx Опубликовано 2 марта, 2023 Автор Поделиться Опубликовано 2 марта, 2023 3 часа назад, Mailze сказал: Если зуб витальный (живой) и сохранено более 2/3 эмали - лучший выбор И.макс. Если зуб депульпированный и большая часть зуба это пломба, то рациональнее сделать коронки из диоксид циркония. Уважаемый врач, дело в том, что этот выбор в коронках ставлю сама себе я. Циркониевые клиника ставит в разы дороже, нежели клиника, где ставят Емах. Разница в коронке 7 000 руб. Вот и думала, как лучше поступить. В целом, да, зуб депултпипован и сильно разрушен. 1 Ссылка на комментарий
kramer Опубликовано 2 марта, 2023 Поделиться Опубликовано 2 марта, 2023 Если зуб сильно разрушен, циркон предпочтительнее 1 1 Ссылка на комментарий
Mailze Опубликовано 2 марта, 2023 Поделиться Опубликовано 2 марта, 2023 3 часа назад, Ольгаxxx сказал: Уважаемый врач, дело в том, что этот выбор в коронках ставлю сама себе я. Циркониевые клиника ставит в разы дороже, нежели клиника, где ставят Емах. Разница в коронке 7 000 руб. Вот и думала, как лучше поступить. В целом, да, зуб депултпипован и сильно разрушен. Если зуб депульпирован, то я тоже за цирконий. Одна из главных "фишек" и.макса в том, что он намертво приклеивается к эмали зуба. Если эмали уже нет, то эта "фишка" не работает. 1 Ссылка на комментарий
Ольгаxxx Опубликовано 2 марта, 2023 Автор Поделиться Опубликовано 2 марта, 2023 1 час назад, Mailze сказал: Если зуб депульпирован, то я тоже за цирконий. Одна из главных "фишек" и.макса в том, что он намертво приклеивается к эмали зуба. Если эмали уже нет, то эта "фишка" не работает. Спасибо за такое уточнение. А циркониевые как крепятся? Не намертво? В случае проблемы с зубом снять получиться без вреда для зуба? Коронку тогда в утиль? Спасибо, уважаемые врачи, ? за советы! Ссылка на комментарий
Doc Опубликовано 2 марта, 2023 Поделиться Опубликовано 2 марта, 2023 Я не так часто видел за 35 последних лет живые шестые зубы с хорошей эмалью, требующие протезирования. Практика показывает, что эти зубы портятся самыми первыми и к тому моменту, как возникает необходимость в коронке, делать Имакс уже давно поздно. Циркониевые крепятся на цемент, тоже намертво. В случае возникновения проблем коронка разрезается и выбрасывается, как и любая другая, кроме коронки винтовой фиксации на имплантате. 1 1 Ссылка на комментарий
Ольгаxxx Опубликовано 2 марта, 2023 Автор Поделиться Опубликовано 2 марта, 2023 (изменено) 1 час назад, Doc сказал: Я не так часто видел за 35 последних лет живые шестые зубы с хорошей эмалью, требующие протезирования. Практика показывает, что эти зубы портятся самыми первыми и к тому моменту, как возникает необходимость в коронке, делать Имакс уже давно поздно. Циркониевые крепятся на цемент, тоже намертво. В случае возникновения проблем коронка разрезается и выбрасывается, как и любая другая, кроме коронки винтовой фиксации на имплантате. Я правильно поняла, что циркон также как и Емах фиксируются цементом на эмаль? Тогда вообще запуталась ?, а разница в чём? То есть при Емах в случае чего я зуб точно потеряю, когда снимать будут, при цирконе- не факт? Изменено 2 марта, 2023 пользователем Ольгаxxx Ссылка на комментарий
АнтонТЛТ Опубликовано 2 марта, 2023 Поделиться Опубликовано 2 марта, 2023 Емакс на эмаль, циркон на дентин+эмаль 1 1 Ссылка на комментарий
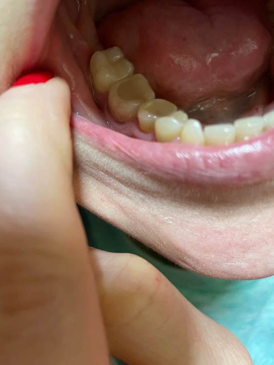
Ольгаxxx Опубликовано 2 марта, 2023 Автор Поделиться Опубликовано 2 марта, 2023 (изменено) Простите меня, уважаемые врачи! Помогите, плиз, определиться, что на мою 6ку станет лучше по Вашему мнению. В таком состоянии почти все жевательные зубы, которые постепенно хочу покрыть коронками. Подскажите, какую лучше поставить. Внутри депульпированных стекловолоконный штифт. К слову зубы пролечены под микроскопом 10 лет назад. На фото есть верхняя 7ка , которая повёрнута к щеке, которую хотела удалить и поставить имплантат, но имплантолог не видит смысла. Нет антагониста внизу. Очень буду Вам благодарна! Изменено 2 марта, 2023 пользователем Ольгаxxx 1 Ссылка на комментарий
DoctorT Опубликовано 3 марта, 2023 Поделиться Опубликовано 3 марта, 2023 @Ольгаxxx Подойдут коронки из циркония и протезировать лучше не частями, а сразу обе стороны. Если у 7 нет антагониста, то все верно ваш доктор говорит (скорее это не 7, а 8). 1 Ссылка на комментарий
Ольгаxxx Опубликовано 3 марта, 2023 Автор Поделиться Опубликовано 3 марта, 2023 1 час назад, DoctorT сказал: Если у 7 нет антагониста, то все верно ваш доктор говорит (скорее это не 7, а 8). Нет, доктор, это 7! И так уж вышло, что в 7ке нет антагониста, скорее всего из-за смещения. За семеркой стоит 8. Вот эти зубы хотят удалить. Но я попытаюсь попасть к врачу, может он сможет почистить 7ку, да я похожу ещё со своим , хоть и в щеку стоящим зубом:(. 1 час назад, DoctorT сказал: @Ольгаxxx Подойдут коронки из циркония и протезировать лучше не частями, а сразу обе стороны Уважаемый врач, а если нет столько денег?:((( Одна коронка циркониевая - 33 тысячи. Депульпированных 6 зубов. Я на две пока планирую только раскошелиться. Если это Емах, то они дешевле, но я так поняла, Вы советуете циркониевые. Оправдано ли такое действие? спасибо, за то, что помогаете. ? Ссылка на комментарий
Doc Опубликовано 3 марта, 2023 Поделиться Опубликовано 3 марта, 2023 14 часов назад, Ольгаxxx сказал: Простите меня, уважаемые врачи! Помогите, плиз, определиться, что на мою 6ку станет лучше по Вашему мнению. В таком состоянии почти все жевательные зубы, которые постепенно хочу покрыть коронками. Подскажите, какую лучше поставить. Внутри депульпированных стекловолоконный штифт. К слову зубы пролечены под микроскопом 10 лет назад. На фото есть верхняя 7ка , которая повёрнута к щеке, которую хотела удалить и поставить имплантат, но имплантолог не видит смысла. Нет антагониста внизу. Очень буду Вам благодарна! Одних фото мало. В данном случае еще хорошо бы снимки увидеть. Но то, что здесь Имакс ставить давно поздно — факт. 1 Ссылка на комментарий
Ольгаxxx Опубликовано 3 марта, 2023 Автор Поделиться Опубликовано 3 марта, 2023 (изменено) 30 минут назад, Doc сказал: Одних фото мало. В данном случае еще хорошо бы снимки увидеть. Но то, что здесь Имакс ставить давно поздно — факт. Все равно туго понимаю, что значит давно поздно ставить коронку на разрушенный зуб. То есть Емах не рассматривать вообще? Правильно я поняла? Ставить циркон и точка. Хотя выше писали , что и циркониевые крепятся на эмаль и дентин. Так и не поняла, чем для зуба грозит один материал от другого есть панорамный. И кт. Но я не знаю как грузить КТ. Изменено 3 марта, 2023 пользователем Ольгаxxx Ссылка на комментарий
Doc Опубликовано 3 марта, 2023 Поделиться Опубликовано 3 марта, 2023 Циркониевые крепятся на что угодно - и на эмаль и на дентин, а Имакс только на здоровую эмаль. Так понятнее? Давайте хотя бы панорамный. 1 Ссылка на комментарий
DoctorT Опубликовано 4 марта, 2023 Поделиться Опубликовано 4 марта, 2023 03.03.2023 в 13:00, Ольгаxxx сказал: Нет, доктор, это 7! И так уж вышло, что в 7ке нет антагониста, скорее всего из-за смещения. За семеркой стоит 8. Вот эти зубы хотят удалить. Но я попытаюсь попасть к врачу, может он сможет почистить 7ку, да я похожу ещё со своим , хоть и в щеку стоящим зубом:(. Уважаемый врач, а если нет столько денег?:((( Одна коронка циркониевая - 33 тысячи. Депульпированных 6 зубов. Я на две пока планирую только раскошелиться. Если это Емах, то они дешевле, но я так поняла, Вы советуете циркониевые. Оправдано ли такое действие? спасибо, за то, что помогаете. ? Вопрос денег здесь не ставился, ставился вопрос - что лучше. (Ставьте тогда металлокерамику или цельнолитые, они явно выйдут дешевле.) 1 Ссылка на комментарий
Рекомендуемые сообщения
Для публикации сообщений создайте учётную запись или авторизуйтесь
Вы должны быть пользователем, чтобы оставить комментарий
Создать аккаунт
Зарегистрируйте новый аккаунт в нашем сообществе. Это очень просто!
Регистрация нового пользователяВойти
Уже есть аккаунт? Войти в систему.
Войти