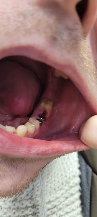
ZubGluposti Опубликовано 7 февраля, 2023 Поделиться Опубликовано 7 февраля, 2023 Привет друзья хочу поделиться своей историей о имплантах, недавно я у вас спрашивал про импланты и решился. Началось все с того, что вылез флюс. Было решено вырвать 2 зуба, а точнее то, что от них осталось и установить импланты. Выбрал известную фирму, ортопеда аж с 26 летним стажем и пошел драть зубы. 12.000₽ за удаление зубов + 3 месяца заживления. 60.000₽ установка имплантов + 6 месяцев ожидания заживления. 60.000₽ за циркониевые коронки И вот я улыбаюсь в свои 32 зуба. Но не долго. Первый прием пищи и пища вся забилась в карман между коронками и зубом мудрости. Не беда, есть ирригатор. Но, что мне после каждого приема пищи бегать полоскать зубы? Промучался неделю, пошел к рвачу, а он говорит тут мои полномочия все, могу предложить удалить зуб мудрости. Удалить живой зуб. Ппц. Пошел в другую клинику на консультацию. Другой врач говорит, я не имею права комментировать работу коллег, но советую тебе провести экспертизу. В этот же вечер позвонил мой рвач, который установил импланты и пригласил на прием. На приеме присутствовал техник и общались на своем стоматологическом. Из разговора я понял, что они собираются переделать коронки, какие то там шейки и я согласился на демонтаж коронки. Ну ошиблись, ну бывает. Но не было бы этого поста, если бы не ужас на лице рвача после демонтажа коронок. Он лишь сказал, что не в коронке было дело, а что то они растревожили под зубом мудрости. После этих слов, он что то выдрал из под живого зуба, оставив большую рану. От боли у меня потемнело в глазах, а на вопрос, что бы удалено, он уклончиво ушел от ответа, лишь сказав, что неделю мне нужно будет походить пока все заживёт, а дальше заново сделают слепок. И вот теперь я немного не догоняю. Разве врач не должен пациенту все рассказать о своих манипуляциях? Да косякнул, да бывает, что мы не люди что-ли? В суд бежать я не собираюсь, но игра в молчанку известной клиники мягко говоря удивляет. Что думаете господа? P.S. одно из фото отзеркалено т.к. сэлфи камера. Ссылка на комментарий
ZubGluposti Опубликовано 7 февраля, 2023 Автор Поделиться Опубликовано 7 февраля, 2023 Думаю, могли забыть нитку в десне после сшивания имплантов... Ссылка на комментарий
IvanK Опубликовано 8 февраля, 2023 Поделиться Опубликовано 8 февраля, 2023 Здравствуйте, Главное , что сейчас уже все хорошо К сожалению, по фото сложно что-то предположить 6 часов назад, ZubGluposti сказал: Разве врач не должен пациенту все рассказать о своих манипуляциях? Мне кажется, что Вам нужно еще раз откровенно спросить Вашего врача Ссылка на комментарий
red_butler Опубликовано 21 февраля, 2023 Поделиться Опубликовано 21 февраля, 2023 Тему можно закрывать? Ссылка на комментарий
Рекомендуемые сообщения
Для публикации сообщений создайте учётную запись или авторизуйтесь
Вы должны быть пользователем, чтобы оставить комментарий
Создать аккаунт
Зарегистрируйте новый аккаунт в нашем сообществе. Это очень просто!
Регистрация нового пользователяВойти
Уже есть аккаунт? Войти в систему.
Войти