msp Опубликовано 1 января, 2023 Поделиться Опубликовано 1 января, 2023 Всем привет! Прилагаю свои снимки. У меня такие вопросы: Правильно ли предположить, что на этих снимках - ретинированный зуб? Можно ли его "дорастить" до нормального? Что ему помешало вырасти - то, что он уперся в рядом стоящий зуб? И как понять, какой это номер зуба по счету? Спасибо за ответы? Ссылка на комментарий
Doc Опубликовано 1 января, 2023 Поделиться Опубликовано 1 января, 2023 Самого зуба на снимке не видно, поэтому однозначно ответить сложно. Скорее всего это седьмой зуб, а не вылез из-за дефицита места. Но это неточно. 1 Ссылка на комментарий
msp Опубликовано 1 января, 2023 Автор Поделиться Опубликовано 1 января, 2023 Doc, спасибо за ответ. А какой снимок посоветуете сделать? Нужна панорама, или можно обойтись локальным рентгеном? Ссылка на комментарий
Doc Опубликовано 1 января, 2023 Поделиться Опубликовано 1 января, 2023 Лучше панорама, конечно, но можно и прицельный, но того зуба, который обсуждается. Просто тут от зуба только один бугор виден. 1 Ссылка на комментарий
msp Опубликовано 2 января, 2023 Автор Поделиться Опубликовано 2 января, 2023 22 часа назад, Doc сказал: Лучше панорама, конечно, но можно и прицельный, но того зуба, который обсуждается. Просто тут от зуба только один бугор виден. Спасибо. А если это действительно, как вы говорите, седьмой - его обычно удается вытянуть/вырастить? Ссылка на комментарий
Doc Опубликовано 2 января, 2023 Поделиться Опубликовано 2 января, 2023 1 час назад, msp сказал: Спасибо. А если это действительно, как вы говорите, седьмой - его обычно удается вытянуть/вырастить? Чтобы что-то утверждать, нужно, как минимум, видеть картину. Мы тут ничего не видим. Ссылка на комментарий
IvanK Опубликовано 13 января, 2023 Поделиться Опубликовано 13 января, 2023 01.01.2023 в 18:12, msp сказал: Всем привет! Прилагаю свои снимки. У меня такие вопросы: Правильно ли предположить, что на этих снимках - ретинированный зуб? Можно ли его "дорастить" до нормального? Что ему помешало вырасти - то, что он уперся в рядом стоящий зуб? И как понять, какой это номер зуба по счету? Спасибо за ответы? Здравствуйте Если зуб "внутри", то он ретинированный Обычно можно, но для этого нужно комплексное обследование , консультация ортодонта Причины можно только предполагать, думаю, что это не очень важно похоже, что 7ой Я бы советовал сделать компьютерную томографию Хорошего дня) 1 Ссылка на комментарий
msp Опубликовано 18 января, 2023 Автор Поделиться Опубликовано 18 января, 2023 13.01.2023 в 07:59, IvanK сказал: Здравствуйте Если зуб "внутри", то он ретинированный Обычно можно, но для этого нужно комплексное обследование , консультация ортодонта Причины можно только предполагать, думаю, что это не очень важно похоже, что 7ой Я бы советовал сделать компьютерную томографию Хорошего дня) Иван, большое спасибо за ответ ) 1 Ссылка на комментарий
msp Опубликовано 22 января, 2023 Автор Поделиться Опубликовано 22 января, 2023 (изменено) Всем привет, Сделал панорамный снимок. Что можете сказать - какие из этих ретинированных зубов можно "вырастить"? Заранее спасибо Изменено 22 января, 2023 пользователем msp Ссылка на комментарий
red_butler Опубликовано 23 января, 2023 Поделиться Опубликовано 23 января, 2023 Здравствуйте, сколько Вам лет? Ссылка на комментарий
msp Опубликовано 23 января, 2023 Автор Поделиться Опубликовано 23 января, 2023 2 часа назад, red_butler сказал: Здравствуйте, сколько Вам лет? Много, 33 )) Ссылка на комментарий
red_butler Опубликовано 23 января, 2023 Поделиться Опубликовано 23 января, 2023 крайне мало вероятно что восьмые и седьмые зубы прорежутся. Требуется консультация ортодонта и Кт 2 Ссылка на комментарий
msp Опубликовано 23 января, 2023 Автор Поделиться Опубликовано 23 января, 2023 3 часа назад, red_butler сказал: крайне мало вероятно что восьмые и седьмые зубы прорежутся. Требуется консультация ортодонта и Кт А от чего зависит вероятность их прорезывания? Так-то у меня все зубы в отличном состоянии, пломб минимум и только поверхностные. Ссылка на комментарий
msp Опубликовано 23 января, 2023 Автор Поделиться Опубликовано 23 января, 2023 Может быть можно их "вытянуть"? Ссылка на комментарий
АнтонТЛТ Опубликовано 23 января, 2023 Поделиться Опубликовано 23 января, 2023 4 часа назад, msp сказал: Может быть можно их "вытянуть"? Может быть можно, нужно смотреть КЛКТ Ссылка на комментарий
red_butler Опубликовано 24 января, 2023 Поделиться Опубликовано 24 января, 2023 12 часов назад, msp сказал: А от чего зависит вероятность их прорезывания? факторов очень много, например наличие места в челюсти и отсутствие анкилоза зубов. 12 часов назад, msp сказал: Может быть можно их "вытянуть"? 15 часов назад, red_butler сказал: Требуется консультация ортодонта и Кт 1 Ссылка на комментарий
msp Опубликовано 26 января, 2023 Автор Поделиться Опубликовано 26 января, 2023 Скажите, а можно сделать МРТ вместо КТ? Не хочу делать КТ из-за значительной дозы радиации. Ссылка на комментарий
Carioznik Опубликовано 26 января, 2023 Поделиться Опубликовано 26 января, 2023 26.01.2023 в 14:48, msp сказал: Скажите, а можно сделать МРТ вместо КТ? Нет 26.01.2023 в 14:48, msp сказал: Не хочу делать КТ из-за значительной дозы радиации. удалено администратором Ссылка на комментарий
msp Опубликовано 1 февраля, 2023 Автор Поделиться Опубликовано 1 февраля, 2023 Скажите, плиз, а панорамный снимок, который я запостил выше, он снят зеркально? Т.е. зуб, который я ощущаю слева - на снимке он будет справа? Ссылка на комментарий
shishok Опубликовано 1 февраля, 2023 Поделиться Опубликовано 1 февраля, 2023 На панорамном снимке в нижнем углу есть латинская буква L( левая сторона). Ссылка на комментарий
msp Опубликовано 1 февраля, 2023 Автор Поделиться Опубликовано 1 февраля, 2023 36 минут назад, shishok сказал: На панорамном снимке в нижнем углу есть латинская буква L( левая сторона). Ага, L и R вижу. А L слева это имеется в виду с точки зрения пациента, или лицом к пациенту? Ссылка на комментарий
Irouil Опубликовано 1 февраля, 2023 Поделиться Опубликовано 1 февраля, 2023 Это стороны пациента, конечно Ссылка на комментарий
msp Опубликовано 2 февраля, 2023 Автор Поделиться Опубликовано 2 февраля, 2023 18 часов назад, Irouil сказал: Это стороны пациента, конечно Спасибо, разобрался Еще такой вопрос возник... Ортодонт, который делал панораму, упомянул что у одного из зубов есть зубной "карман" - где это можно увидеть на снимке, и чем оно грозит? Ссылка на комментарий
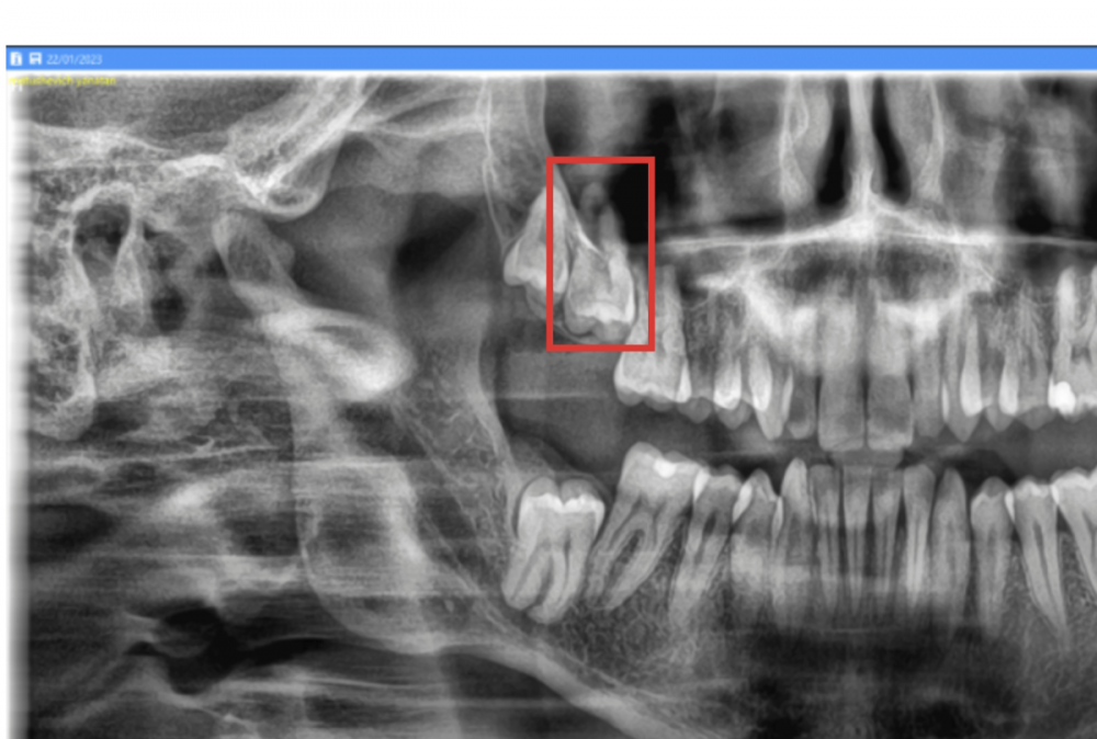
msp Опубликовано 4 мая, 2023 Автор Поделиться Опубликовано 4 мая, 2023 Всем привет, вопрос. Обведенный красным на снимке второй моляр - я правильно понимаю, что у него корень находится в синусе? Ссылка на комментарий
Doc Опубликовано 6 мая, 2023 Поделиться Опубликовано 6 мая, 2023 04.05.2023 в 19:22, msp сказал: Всем привет, вопрос. Обведенный красным на снимке второй моляр - я правильно понимаю, что у него корень находится в синусе? Вероятно, но не факт. На плоском снимке сложно определить как что расположено. Нужно делать КТ. 2 Ссылка на комментарий
Рекомендуемые сообщения
Для публикации сообщений создайте учётную запись или авторизуйтесь
Вы должны быть пользователем, чтобы оставить комментарий
Создать аккаунт
Зарегистрируйте новый аккаунт в нашем сообществе. Это очень просто!
Регистрация нового пользователяВойти
Уже есть аккаунт? Войти в систему.
Войти