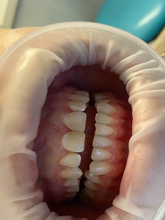
Lyubanya Опубликовано 29 декабря, 2022 Поделиться Опубликовано 29 декабря, 2022 Добрый день коллеги. Нужна помощь, меняла пациентке реставрации, старые на новые(она захотела поменять, так как уже пошел вторичный кариес и пигментация). Я всего полгода работаю на должности врача и периодически такая проблема вылазит. Пока моделируешь вроде все ок, а на этапе полировки начинает проявляться эта серая полоса по границе реставрации и по мере регидратации еще более явная становится. Материал Tetric N-Ceram A3,5 dentin и А3. Первые 2 фото это в конце приема в кресле, последняя это пациентка прислала 2 дня после приема. На каком этапе ошибка? Как можно исправить? Ссылка на комментарий
Kolchanov Опубликовано 30 декабря, 2022 Поделиться Опубликовано 30 декабря, 2022 Я вас уверяю, что никто не скажет волшебного слова, ни на одних курсах, ни на мастер-классах, нигде. Только время, пробы разного композита, разных его сочетаний и т.д. Как сказал один доктор, что опыт придёт с ... килограммом композита. Был, помню, на курсе у Щербакова в 2016. И вот его там спрашивают мол, как в цвет попадать? На фронтальных зубах. А он возьми да ляпни, что называется на голубом глазу, что я сам две из пяти работ потом могу корректировать. После этого я решил, что на...й эти курсы мне реставраторские. Сегодняшний набор для фронта: Gradia Anterior A2, A3 Estelite Sigma A2, A3 в качестве эмали (и очень очень редко другие оттенки) 3 Ссылка на комментарий
Lyubanya Опубликовано 31 декабря, 2022 Автор Поделиться Опубликовано 31 декабря, 2022 @Kolchanov та то понятно, что не будет волшебного слова. Просто есть работы когда именно вот такая полоса портит вид, и может кто сталкивался, мне эту полосу конкретно корректировать или здесь придется все наново снимать и переделывать... Ссылка на комментарий
Vladimirov Опубликовано 1 января, 2023 Поделиться Опубликовано 1 января, 2023 31.12.2022 в 01:22, Kolchanov сказал: Сегодняшний набор для фронта: Gradia Anterior А2 А3 это дентинные оттенки? Ссылка на комментарий
Kolchanov Опубликовано 2 января, 2023 Поделиться Опубликовано 2 января, 2023 31.12.2022 в 18:01, Lyubanya сказал: @Kolchanov или здесь придется все наново снимать и переделывать... Я всё не снимаю. Только поверхностно композит, если надо, то больше заход на эмаль, скос пошире, песочу, протравка, адгезив и композит. 01.01.2023 в 16:23, Vladimirov сказал: это дентинные оттенки? Да пёс его знает. Там написано А2 и А3 Ссылка на комментарий
Lyubanya Опубликовано 3 января, 2023 Автор Поделиться Опубликовано 3 января, 2023 @Kolchanov сегодня была коррекция, взяла опак от другого материала для перекрытия, посмотрим что будет после регидратации. Но раньше эта полоса на этапе полировки вылазила, сегодня пока не вылезла, ждемс) Ссылка на комментарий
Vladimirov Опубликовано 4 января, 2023 Поделиться Опубликовано 4 января, 2023 19 часов назад, Lyubanya сказал: Но раньше эта полоса на этапе полировки вылазила может банальный перегрев при полировке? Или попробуйте адгезив сменить на самопротрав/универсальный. как то давно мне Каплан дал такой совет. И вы знаете мне помогло. Тоесть чем меньше этапов тем меньше ошибок Ссылка на комментарий
Kolchanov Опубликовано 4 января, 2023 Поделиться Опубликовано 4 января, 2023 Просто пока поверхность не ровная, то там оптические свойства другие. А когда отполировано то всё меняется. Больше скос, даже если придётся сносить много эмали не поддержаной дентином, перекрытие более опаковой массой части этого скоса и т.д. Обычные вещи, но только практика тут в помощь. 1 Ссылка на комментарий
Lyubanya Опубликовано 6 января, 2023 Автор Поделиться Опубликовано 6 января, 2023 @Kolchanov та я понимаю, что практика...пока просто принимаю подобные вещи близко к сердцу, переживаю. Я всего полгода официально на должности врача и видимо вылазят сейчас слабые места на приеме...начали приходить пульпитные нижние моляры, не получается обезболить.? Ставлю Девит - бывает не берет, не могу понять то ли доза маленькая, то ли пульповую мало вскрыла? Ссылка на комментарий
Raystom Опубликовано 7 января, 2023 Поделиться Опубликовано 7 января, 2023 (изменено) @Lyubanya интралигаментарная анестезия с правильным шприцем Вам в помощь, решает очень много проблем и никаких девитов не нужно. Изменено 7 января, 2023 пользователем Raystom Ссылка на комментарий
Kolchanov Опубликовано 8 января, 2023 Поделиться Опубликовано 8 января, 2023 07.01.2023 в 00:16, Lyubanya сказал: @Kolchanov та я понимаю, что практика...пока просто принимаю подобные вещи близко к сердцу, переживаю. Я всего полгода официально на должности врача и видимо вылазят сейчас слабые места на приеме...начали приходить пульпитные нижние моляры, не получается обезболить.? Ставлю Девит - бывает не берет, не могу понять то ли доза маленькая, то ли пульповую мало вскрыла? Пульпитные будут с трудом обезболиваться и через десять лет . 2 Ссылка на комментарий
Рекомендуемые сообщения
Для публикации сообщений создайте учётную запись или авторизуйтесь
Вы должны быть пользователем, чтобы оставить комментарий
Создать аккаунт
Зарегистрируйте новый аккаунт в нашем сообществе. Это очень просто!
Регистрация нового пользователяВойти
Уже есть аккаунт? Войти в систему.
Войти