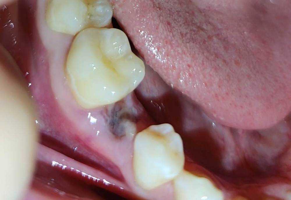
sunheaZ Опубликовано 9 декабря, 2022 Поделиться Опубликовано 9 декабря, 2022 (изменено) Добрый вечер! После удаления прошло полтора дня. Сегодня появился бугорок, это норма или я что-то сделал не так? Скрытый текст Скрытый текст Скрытый текст Скрытый текст Боли нет, но немного переживаю насчет нормальности восстановления Изменено 9 декабря, 2022 пользователем sunheaZ Ссылка на комментарий
Женька Опубликовано 9 декабря, 2022 Поделиться Опубликовано 9 декабря, 2022 Здравствуйте. С лункой всё хорошо. Если нет признаков воспаления (боль, отёк, гиперемия (покраснение), повышение температуры) то беспокоиться не стоит. Мой Вам совет, лишний раз не смотрите и не проверяйте, как у там дела 2 1 Ссылка на комментарий
sunheaZ Опубликовано 9 декабря, 2022 Автор Поделиться Опубликовано 9 декабря, 2022 @Женька спасибо большое) Буду придерживаться совета) 1 Ссылка на комментарий
Рекомендуемые сообщения
Для публикации сообщений создайте учётную запись или авторизуйтесь
Вы должны быть пользователем, чтобы оставить комментарий
Создать аккаунт
Зарегистрируйте новый аккаунт в нашем сообществе. Это очень просто!
Регистрация нового пользователяВойти
Уже есть аккаунт? Войти в систему.
Войти