Котенька Опубликовано 2 декабря, 2022 Поделиться Опубликовано 2 декабря, 2022 (изменено) Здравствуйте!Мне 34 года,все зубы мудрости давно выросли(не помню когда именно),ничем не беспокоят,на нижних стоят пломбы.Разве что немного скучили передние нижние резцы (но кривой зуб среди нижних резцов был у меня с детства,до восьмерок).ортопед сказал,что даже если я не собираюсь устанавливать брекеты, всё равно зубы мудрости мне надо удалить.Что можете сказать по поводу этого? Есть ли в моем случае смысл удалять восьмёрки,ведь они выросли и дальше не повредят остальным зубам. Изменено 2 декабря, 2022 пользователем Котенька Ссылка на комментарий
red_butler Опубликовано 2 декабря, 2022 Поделиться Опубликовано 2 декабря, 2022 Здравствуйте, снимок не открывается. 1 Ссылка на комментарий
IvanK Опубликовано 2 декабря, 2022 Поделиться Опубликовано 2 декабря, 2022 1 час назад, Котенька сказал: Здравствуйте!Мне 34 года,все зубы мудрости давно выросли(не помню когда именно),ничем не беспокоят,на нижних стоят пломбы.Разве что немного скучили передние нижние резцы (но кривой зуб среди нижних резцов был у меня с детства,до восьмерок).ортопед сказал,что даже если я не собираюсь устанавливать брекеты, всё равно зубы мудрости мне надо удалить.Что можете сказать по поводу этого? Есть ли в моем случае смысл удалять восьмёрки,ведь они выросли и дальше не повредят остальным зубам. Здравствуйте Действительно, снимок не открывается Бывают ситуации, когда "зубы мудрости" вызывают блоки при движении нижней челюсти, по снимку не всегда это можно сказать Ссылка на комментарий
Котенька Опубликовано 2 декабря, 2022 Автор Поделиться Опубликовано 2 декабря, 2022 Новый снимок прикрепила в сообщении,его тоже не видно? Ссылка на комментарий
karasov Опубликовано 2 декабря, 2022 Поделиться Опубликовано 2 декабря, 2022 Если их хорошо чистить-показания к удалению стремятся к нулю. Лично я считаю ,что восьмерки маловероятно что-то сдвигают во фронтальном отделе нижней челюсти. Если по каким-либо причинам изначально челюсть мала, а зубов много и они крупные-будет и скученность во фронтальном отделе и ретенция/дистопия третьих моляров 1 1 Ссылка на комментарий
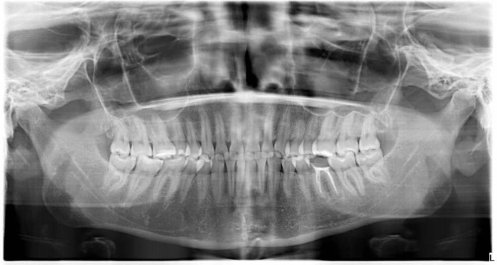
Котенька Опубликовано 2 декабря, 2022 Автор Поделиться Опубликовано 2 декабря, 2022 3 часа назад, karasov сказал: Если их хорошо чистить-показания к удалению стремятся к нулю. Лично я считаю ,что восьмерки маловероятно что-то сдвигают во фронтальном отделе нижней челюсти. Если по каким-либо причинам изначально челюсть мала, а зубов много и они крупные-будет и скученность во фронтальном отделе и ретенция/дистопия третьих моляров Небольшая скученность всё же есть и неправильное положение некоторых зубов на нижней челюсти.Одна из нижних мудростей немного дистопирована,выросла немного к щеке,но не мешает. А есть ли на снимке признаки того,что восьмёрки сдвинули зубы и внизу и вверху? Мне кажется есть у остальных моляров наклон из-за выросших зубов мудрости. Ссылка на комментарий
Irouil Опубликовано 2 декабря, 2022 Поделиться Опубликовано 2 декабря, 2022 Для определения показаний нужен очный осмотр, но вероятность того, что их нужно удалять действительно достаточно высока 1 Ссылка на комментарий
Котенька Опубликовано 2 декабря, 2022 Автор Поделиться Опубликовано 2 декабря, 2022 10 минут назад, Irouil сказал: Для определения показаний нужен очный осмотр, но вероятность того, что их нужно удалять действительно достаточно высока А почему может быть такая вероятность,в чем возможная причина,на ваш взгляд? Ссылка на комментарий
Котенька Опубликовано 3 декабря, 2022 Автор Поделиться Опубликовано 3 декабря, 2022 (изменено) А может ли быть вероятность,что после удаления зубов мудрости,которые вылезли уже более 10 лет назад и были довольно крупные,зубы немного разъедутся,а если нет скученности,то и появятся промежутки между зубами? Изменено 3 декабря, 2022 пользователем Котенька Ссылка на комментарий
Irouil Опубликовано 3 декабря, 2022 Поделиться Опубликовано 3 декабря, 2022 18 часов назад, Котенька сказал: А почему может быть такая вероятность,в чем возможная причина,на ваш взгляд? Чаще всего при подобной рентген картине как у Вас вокруг нижних зубов мудрости отсутствует специально обученная слизистая, которую мы называем «прикрепленной», без которых вокруг зубов высока вероятность формирования пародонтальных карманов, рецессий, кариесов корня и инфекционных осложнений с распространением в окружающие ткани. В соответствующем этим зубам местоположении это чревато операциями, проводимыми через кожу по шее, что, безусловно, является крайне неприятным вариантом развития событий из-за сохранения нефункциональных, по большому счёту, зубов Ссылка на комментарий
IvanK Опубликовано 5 декабря, 2022 Поделиться Опубликовано 5 декабря, 2022 02.12.2022 в 23:30, Котенька сказал: А почему может быть такая вероятность,в чем возможная причина,на ваш взгляд? Бывают ситуации, когда "зубы мудрости" вызывают блоки при движении нижней челюсти, что в свою очередь может привести к сколам , стираемости и т.д 03.12.2022 в 18:16, Котенька сказал: А может ли быть вероятность,что после удаления зубов мудрости,которые вылезли уже более 10 лет назад и были довольно крупные,зубы немного разъедутся,а если нет скученности,то и появятся промежутки между зубами? теоретически все возможно, но практически этого не происходит Я понимаю Ваше нежелание удалять зубы. К сожалению, в условиях форму сложно оценить насколько потенциальная польза превысит потенциальный вред) Если Вы не хотете удалять, то никто не будет удалять) Если Вы хотите узнать к чему может привести "неудаление", то нужно посетить врача ортодонта 1 Ссылка на комментарий
karasov Опубликовано 5 декабря, 2022 Поделиться Опубликовано 5 декабря, 2022 03.12.2022 в 20:36, Irouil сказал: Чаще всего при подобной рентген картине как у Вас вокруг нижних зубов мудрости отсутствует специально обученная слизистая, которую мы называем «прикрепленной», без которых вокруг зубов высока вероятность формирования пародонтальных карманов, рецессий, кариесов корня и инфекционных осложнений с распространением в окружающие ткани. В соответствующем этим зубам местоположении это чревато операциями, проводимыми через кожу по шее, что, безусловно, является крайне неприятным вариантом развития событий из-за сохранения нефункциональных, по большому счёту, зубов Почему вы считаете,что третьи моляры у данного пациента не функциональны? Судить о качестве слизистой по панораме невозможно. Оценить гигиену конкретного пациента тоже. Вероятность осложнений с ,,операциями,проводимыми через кожу на шее,, также невозможно оценить. Подобные операции могут произойти и от проблем с любыми иными зубами. Также можно долго рассуждать о их применении при возможной аутотрансплантации при необходимости, вместо других зубов. Я встречал пациентов,которым терапевты отказали в лечении кариеса третьих моляров из-за ,,неудобного доступа к ним,, , которые после удаления жалели об их утрате. Более того сам являюсь обладателем полноценнофункционирующих восьмерок, которые тщательно чищу. Для чего их мне удалять? Это как с аппендиксом-есть у большинства,но воспаляется далеко не у всех. Ссылка на комментарий
Irouil Опубликовано 5 декабря, 2022 Поделиться Опубликовано 5 декабря, 2022 2 часа назад, karasov сказал: Почему вы считаете,что третьи моляры у данного пациента не функциональны? Я написал, что «по большому счёту нефункциональны». А что - третьи моляры активно участвуют в жевании? Это, вроде как, не секрет, что бОльшая часть эффективного жевания ограничивается вообще первыми молярами (собственно, протезирование зубных рядов по первые моляры на сегодняшний день - скорее правило, чем исключение), а попадание пищевого комка на корень языка, в пограничную с ротоглоткой область (где, собственно, и находятся нижние третьи моляры), скорее происходит в связи с его глотанием, а не жеванием. 3 часа назад, karasov сказал: Судить о качестве слизистой по панораме невозможно. Косвенно - возможно: дистальный край нижнего моляра упирается в передний край восходящей ветви нижней челюсти, а там слизистая исключительно подвижная. Афанасьев определял минимальное рентгенологическое ретромолярное расстояние (как раз между двумя описанными структурами) в 5 мм, тут примерно нисколько мм. Единственный вариант наличия тут прикрепленки вокруг нижних 8-ок - это их сильный язычный завал 3 часа назад, karasov сказал: Вероятность осложнений с ,,операциями,проводимыми через кожу на шее,, также невозможно оценить. Подобные операции могут произойти и от проблем с любыми иными зубами. Могут то могут, человеку и на голову кирпич упасть может, если же исходить из вероятностной частоты осложнений, то тут я с Вами в корне не согласен - ретромолярный абсцесс, в некоторых случаях за считанные дни и даже часы распространяющийся в крылочелюстное пространство является практически аналогом пародонтального, который никакой угрозы здоровью пациента в области любого другого зуба не несёт. А перикорониты - это вообще гингивит, возникает элементарно, в хронической форме присутствует почти всегда, а в обострении также легко дисеминирует под челюсть. Пару месяцев дежурств в гнойной члх смывают виртуальную тождественность между степенью угроз транскутанных доступов для дренажей одонтогенных гнойников от третьих нижних моляров и «любых иных зубов» 3 часа назад, karasov сказал: Также можно долго рассуждать о их применении при возможной аутотрансплантации при необходимости, вместо других зубов. Многовато условий должно сойтись, первое из которых - удаление восьмерки без фрагментации. Даже в конкретном кейсе вероятность подобного расклада далека от 100%, показания у метода только для замещения других моляров. При наличии показаний к удалению восьмерок, такой сомнительный профит я бы в расчёт не брал. 3 часа назад, karasov сказал: Это как с аппендиксом-есть у большинства,но воспаляется далеко не у всех. Я не указывал, что ТС безусловно показано удаление восьмерок, с самого начала сказал, что нужен очный осмотр, но в абсолютном большинстве случаев у пациентов с подобной рентген картиной показания к удалению присутствуют. 3 часа назад, karasov сказал: Более того сам являюсь обладателем полноценнофункционирующих восьмерок, которые тщательно чищу. Для чего их мне удалять? Открывайте собственную тему, выкладывайте снимки - обсудим!) 1 Ссылка на комментарий
IvanK Опубликовано 6 декабря, 2022 Поделиться Опубликовано 6 декабря, 2022 Коллеги, здравствуйте, для дискуссии есть профессиональный раздел 4 Ссылка на комментарий
Рекомендуемые сообщения
Для публикации сообщений создайте учётную запись или авторизуйтесь
Вы должны быть пользователем, чтобы оставить комментарий
Создать аккаунт
Зарегистрируйте новый аккаунт в нашем сообществе. Это очень просто!
Регистрация нового пользователяВойти
Уже есть аккаунт? Войти в систему.
Войти