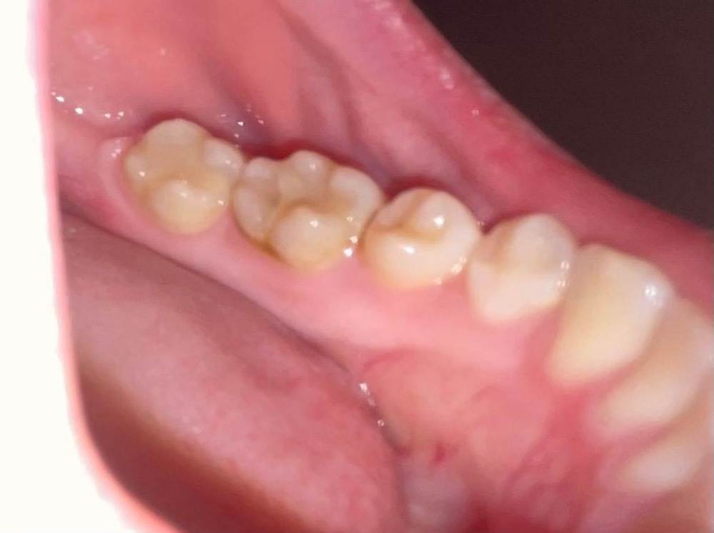
Лина2457899 Опубликовано 20 ноября, 2022 Поделиться Опубликовано 20 ноября, 2022 Корю себя за плохую гигиену во время депрессии. Образовался зубной камень под десной. И мне кажется зубные сосочки довольно неплотно прилегают к зубу. Немного воспален, красного цвета. Перерыла столько информации в интернете ужас просто. Попросила посмотреть врача мое кт. Врач сказал, что ничего криминально не видит и сложно сказать по этому поводу. Я сильно боюсь, что это может быть пародонтит Ссылка на комментарий
red_butler Опубликовано 20 ноября, 2022 Поделиться Опубликовано 20 ноября, 2022 Здравствуйте. Сделайте профгигиену и ОПГ 1 1 Ссылка на комментарий
Лина2457899 Опубликовано 20 ноября, 2022 Автор Поделиться Опубликовано 20 ноября, 2022 Добрый день! Спасибо за ответ. ОПГ даёт более детальную информацию о состоянии дёсен нежели кт? Ссылка на комментарий
IvanK Опубликовано 21 ноября, 2022 Поделиться Опубликовано 21 ноября, 2022 Здравствуйте, скажите: "Стоп!" поиску новых диагнозов в интернете) Далее нужно записаться к пародонтологу: сделать проф гигиену; на очном приеме доктор точно скажет Вам о "предрасположенности" к пародонтиту на ОПТГ это будет понятно 1 Ссылка на комментарий
Лина2457899 Опубликовано 22 ноября, 2022 Автор Поделиться Опубликовано 22 ноября, 2022 @IvanK Здравствуйте! Я вчера сходила пролечила этот же зуб от кариеса. Врач осмотрел мой зуб и десну под микроскоп, сказал, мол, все хорошо. Просто проф. гигиену сделать Но сердце у меня все равно не на месте. Мог ли КТ что-то скрыть от глаз врача? У меня просто было воспаление на том же месте где-то два года начал, десна была красная и мягкая , затем как-то само прошло ??♀️ Из-за этого себя и накрутила … Ссылка на комментарий
IvanK Опубликовано 22 ноября, 2022 Поделиться Опубликовано 22 ноября, 2022 Здравствуйте уже третий доктор Вам сказал, что нужно сделать,) Нужно выдохнуть , сделать и жить дальше) 1 Ссылка на комментарий
Рекомендуемые сообщения
Для публикации сообщений создайте учётную запись или авторизуйтесь
Вы должны быть пользователем, чтобы оставить комментарий
Создать аккаунт
Зарегистрируйте новый аккаунт в нашем сообществе. Это очень просто!
Регистрация нового пользователяВойти
Уже есть аккаунт? Войти в систему.
Войти