ilnurik Опубликовано 1 ноября, 2022 Поделиться Опубликовано 1 ноября, 2022 Коллеги, подскажите, может есть какой нибудь лайфхак, как закручивать угловые мультиюниты дентиума? Пластиковая приблуда плохо фиксирует и неудобно, столько времени уходит Ссылка на комментарий
Doc Опубликовано 1 ноября, 2022 Поделиться Опубликовано 1 ноября, 2022 3 часа назад, ilnurik сказал: Коллеги, подскажите, может есть какой нибудь лайфхак, как закручивать угловые мультиюниты дентиума? Пластиковая приблуда плохо фиксирует и неудобно, столько времени уходит В идеале прикручивать их лучше в кресле у хирурга, когда десна открыта и ничего не мешает. Когда все ушито, гораздо сложнее найти и подобраться. Ссылка на комментарий
Irouil Опубликовано 1 ноября, 2022 Поделиться Опубликовано 1 ноября, 2022 (изменено) Вроде Дентиум отдельно продаёт металлические ручки-держалки как в нормальных системах, емнип P.S. проверил каталог, не нашёл приблуды, так что, скорее всего, что-то перепутал Пластиковые держалки действительно адски неудобны Изменено 1 ноября, 2022 пользователем Irouil Ссылка на комментарий
TIGER Опубликовано 1 ноября, 2022 Поделиться Опубликовано 1 ноября, 2022 самые чудовищные мультиюниты?и по форме и по удобству работы... Ссылка на комментарий
Doc Опубликовано 1 ноября, 2022 Поделиться Опубликовано 1 ноября, 2022 1 час назад, TIGER сказал: самые чудовищные мультиюниты?и по форме и по удобству работы... Я их тоже не люблю, но иногда без них никуда! 1 Ссылка на комментарий
TIGER Опубликовано 1 ноября, 2022 Поделиться Опубликовано 1 ноября, 2022 @Doc есть куда)Перешёл на системы с правильной протетикой и философией Ссылка на комментарий
ilnurik Опубликовано 1 ноября, 2022 Автор Поделиться Опубликовано 1 ноября, 2022 Спасибо за ответы Ну хоть не меня одного они напрягают )) 1 Ссылка на комментарий
Doc Опубликовано 2 ноября, 2022 Поделиться Опубликовано 2 ноября, 2022 15 часов назад, TIGER сказал: @Doc есть куда)Перешёл на системы с правильной протетикой и философией Все на четырех вроде пока не отменяли. Или я что-то упустил? Ссылка на комментарий
TIGER Опубликовано 2 ноября, 2022 Поделиться Опубликовано 2 ноября, 2022 @Doc конечно,нет,речь о выборе системы?с правильным дизайном компонентов и учётом биологии Ссылка на комментарий
Doc Опубликовано 2 ноября, 2022 Поделиться Опубликовано 2 ноября, 2022 Только что, TIGER сказал: @Doc конечно,нет,речь о выборе системы?с правильным дизайном компонентов и учётом биологии В Нобеле у угловых мультиюнитов проблемы те же самые! Но они решаемы А что там с философией? Какую систему имеете в виду? Ссылка на комментарий
Fin Опубликовано 2 ноября, 2022 Поделиться Опубликовано 2 ноября, 2022 16 минут назад, Doc сказал: Все на четырех вроде пока не отменяли. Или я что-то упустил? Все на 4х тоже на дентиуме делаете? Ссылка на комментарий
Doc Опубликовано 2 ноября, 2022 Поделиться Опубликовано 2 ноября, 2022 2 минуты назад, Fin сказал: Все на 4х тоже на дентиуме делаете? Нет, только на Нобеле. Но угловые у них очень похожи. 1 Ссылка на комментарий
EEcho Опубликовано 2 ноября, 2022 Поделиться Опубликовано 2 ноября, 2022 Что касается систем! Все на 4, пробовал на различных системах, как минимум на 8-9. все стоит и почти без больших и волне решаемых проблем. Важно, везде соблюдать обще принятый протокол лечения, концепцию, и работа с мягкими тканями!!! Дизайн импланта не сильно влияет . Но некоторые мульты бывают не удобны, если их ставить не вовремя операции. У меня есть пару пациентов с израильскими Адин-Туарег, ходят , один 16 лет, 2 года года назад поменяли только протез (стерлись зубы). другой - 14 лет . пока все ок. 2 Ссылка на комментарий
TIGER Опубликовано 2 ноября, 2022 Поделиться Опубликовано 2 ноября, 2022 (изменено) @Doc с правильным профилем абатмента и Platform switch и герметичным соединением например Neodent,MIS C1 ,сегодня даже Straumann поменял форму профиля на протетике(М.Ю) Изменено 2 ноября, 2022 пользователем TIGER Ссылка на комментарий
Doc Опубликовано 2 ноября, 2022 Поделиться Опубликовано 2 ноября, 2022 1 минуту назад, TIGER сказал: @Doc с правильным профилем абатмента и Platform switch и герметичным соединением например Neodent,MIS C1 ,сегодня даже Straumann поменял форму профиля на протетике(М.Ю) Ну, у Нобеля переключение платформ тоже уже много лет, как появилось, а у Астры оно было изначально тридцать лет тому назад. Ссылка на комментарий
TIGER Опубликовано 2 ноября, 2022 Поделиться Опубликовано 2 ноября, 2022 @Doc Не совсем,на имплантах,что Вы перечислили Platform switch работает от 5.0 ввиду особенностей дизайна имплантата.... Ссылка на комментарий
EEcho Опубликовано 2 ноября, 2022 Поделиться Опубликовано 2 ноября, 2022 Согласен полностью, дизайн абатмента играет важную роль , штрауман , неодент, уже поменяли форму. У меня техники перефрезеровывают абатменты других производителей или из стандартных , или из премилов согласно концепции в виде ножки бокала . Все прекрасно работает. 1 Ссылка на комментарий
TIGER Опубликовано 2 ноября, 2022 Поделиться Опубликовано 2 ноября, 2022 @EEcho не многие ещё просто осознали,что хорошая система этотне только та,что интегрируется…сегодня плюс минус одинаковые все в плане хирургии и интеграции…а вот био ориентированная протетика ,вот куда надо ориентироваться в выборе! Ссылка на комментарий
Doc Опубликовано 2 ноября, 2022 Поделиться Опубликовано 2 ноября, 2022 4 часа назад, TIGER сказал: @Doc Не совсем,на имплантах,что Вы перечислили Platform switch работает от 5.0 ввиду особенностей дизайна имплантата.... Не совсем. У Нобеля 5.0 и выше — уже давно вымершая ветка, а у Астры дизайн подразумевал "песочные часы" изначально на любом размере. 1 Ссылка на комментарий
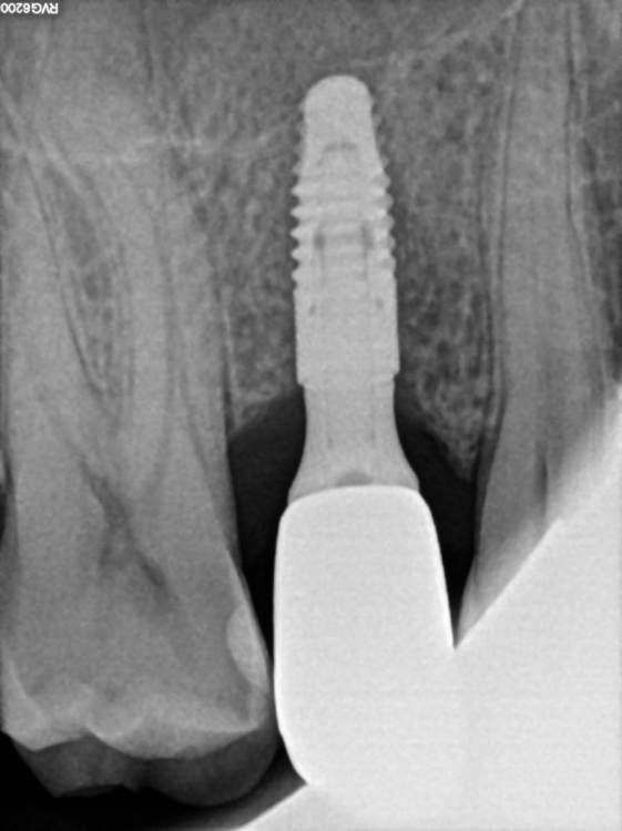
TIGER Опубликовано 2 ноября, 2022 Поделиться Опубликовано 2 ноября, 2022 (изменено) @Doc у нобеля вообще беда с протетикой если брать CC.А Astra ещё более менее..вот ниже фото с правильным профилем,оригинал! Изменено 2 ноября, 2022 пользователем TIGER Ссылка на комментарий
Doc Опубликовано 2 ноября, 2022 Поделиться Опубликовано 2 ноября, 2022 25 минут назад, TIGER сказал: @Doc у нобеля вообще беда с протетикой если брать CC.А Astra ещё более менее..вот ниже фото с правильным профилем,оригинал! Бернар Туати еще 10 лет назад придумал еще более тонкую шейку и оригинальный абатмент, а потом продал все это Нобелю. Но почему-то не пошло оно там. А жаль! Хорошая была идея. А я в лекциях такие "песочные часы" рисовал еще в 2003-2005 годах. 1 Ссылка на комментарий
АнтонТЛТ Опубликовано 4 ноября, 2022 Поделиться Опубликовано 4 ноября, 2022 02.11.2022 в 21:29, TIGER сказал: @Doc у нобеля вообще беда с протетикой если брать CC.А Astra ещё более менее..вот ниже фото с правильным профилем,оригинал! Это на на каких абатментах? Ссылка на комментарий
TIGER Опубликовано 5 ноября, 2022 Поделиться Опубликовано 5 ноября, 2022 10 часов назад, АнтонТЛТ сказал: Это на на каких абатментах? оригинал тибейс Neodent Ссылка на комментарий
АнтонТЛТ Опубликовано 5 ноября, 2022 Поделиться Опубликовано 5 ноября, 2022 33 минуты назад, TIGER сказал: оригинал тибейс Neodent На gm абатментах не пробовал делать одиночки? Ссылка на комментарий
TIGER Опубликовано 5 ноября, 2022 Поделиться Опубликовано 5 ноября, 2022 @АнтонТЛТ это какие именно абатменты?я всё на тибейсах делаю оригинальных Ссылка на комментарий
Рекомендуемые сообщения
Для публикации сообщений создайте учётную запись или авторизуйтесь
Вы должны быть пользователем, чтобы оставить комментарий
Создать аккаунт
Зарегистрируйте новый аккаунт в нашем сообществе. Это очень просто!
Регистрация нового пользователяВойти
Уже есть аккаунт? Войти в систему.
Войти