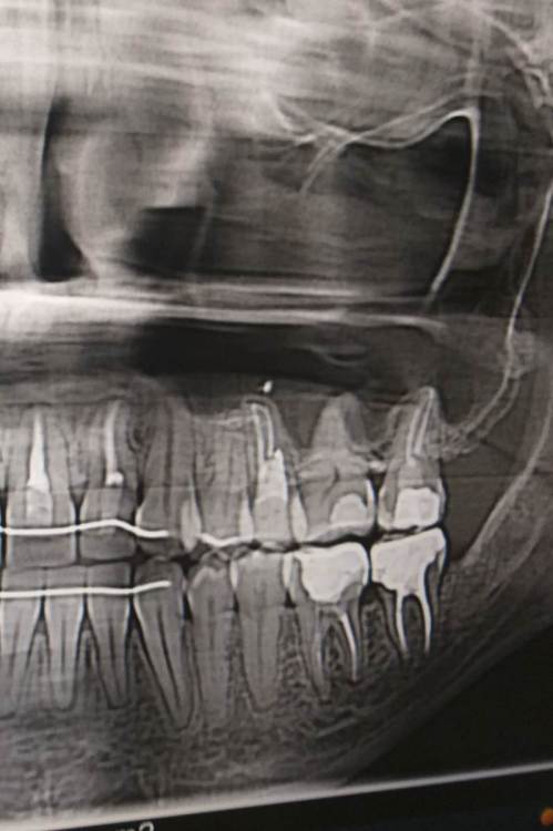
Ирина Артемьева Опубликовано 30 августа, 2022 Поделиться Опубликовано 30 августа, 2022 Здравствуйте! 2 года назад мне лечили 4 и 5 зуб слева наверху: на 4 зубе просто поставили пломбу, на 5 удалили нерв. Впоследствии оказалось что в 5 зубе мне сделали перфорацию. Далее этот зуб мне перелечил другой врач, боли притихли, но иногда зуб поднывал. На данный момент то есть 2 года спустя зуб начал беспокоить сильнее. Днем болит терпимо, а ночью мешает спать, приходится пить обезболивающие. С этими жалобами я пошла к стоматологу, который мне сказал что болеть может не 5, а 4 зуб и посоветовал удалить нерв в 4 зубе. Но я сомневаюсь, т.к. по моим ощущениям болит именно 5 зуб плюс боль отдает в ухо, в голову, также болит лицо около верхней челюсти. Что делать с 5 зубом- удалять или нет? И есть ли смысл удалять нерв в 4 зубе? Жду ваших ответов, т.к. очень устала от этой боли. Снимок какой есть прилагаю Ссылка на комментарий
Irouil Опубликовано 30 августа, 2022 Поделиться Опубликовано 30 августа, 2022 Нос слева не заложен? Могут болеть и 4-й, и 6-й зубы, надо их проверить на витальность. Если оба "живы", скорее всего это левосторонний гайморит от 5-го зуба, нужно делать КТ с захватом около носовых пазух Ссылка на комментарий
Ирина Артемьева Опубликовано 31 августа, 2022 Автор Поделиться Опубликовано 31 августа, 2022 8 часов назад, Irouil сказал: Нос слева не заложен? Могут болеть и 4-й, и 6-й зубы, надо их проверить на витальность. Если оба "живы", скорее всего это левосторонний гайморит от 5-го зуба, нужно делать КТ с захватом около носовых пазух Я вообще страдаю хроническим гайморитом с детства. На данный момент есть лёгкая заложенность, жжение в носу и боль в лице слева. 2 недели назад я делала кт пазух носа, может его прикрепить? И скорее всего 5 зуб придется удалить? Ссылка на комментарий
Irouil Опубликовано 31 августа, 2022 Поделиться Опубликовано 31 августа, 2022 @Ирина Артемьева одонтогенный (от зуба) гайморит чаще всего односторонний, то есть симптомы должны быть только на одной половине. Если с двух сторон (хронический "с детства" обычно такой) - зубы не виноваты. Попробуйте прикрепить КТ, но скорого его просмотра я обещать не смогу Ссылка на комментарий
Doc Опубликовано 31 августа, 2022 Поделиться Опубликовано 31 августа, 2022 Заодно пора подумать о ситуации с 46 зубом (шестерка справа внизу). 1 Ссылка на комментарий
Рекомендуемые сообщения
Для публикации сообщений создайте учётную запись или авторизуйтесь
Вы должны быть пользователем, чтобы оставить комментарий
Создать аккаунт
Зарегистрируйте новый аккаунт в нашем сообществе. Это очень просто!
Регистрация нового пользователяВойти
Уже есть аккаунт? Войти в систему.
Войти