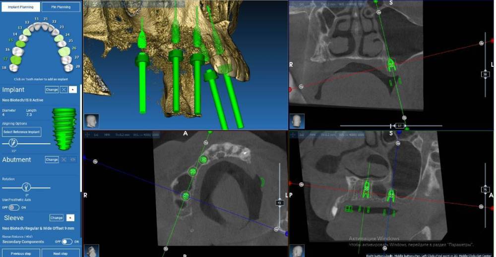
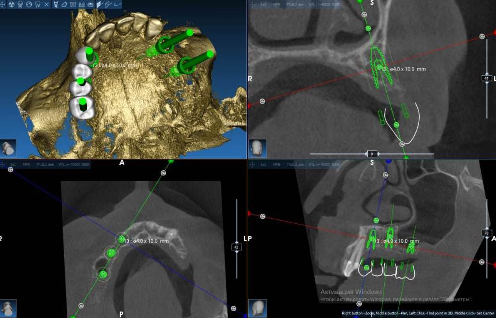
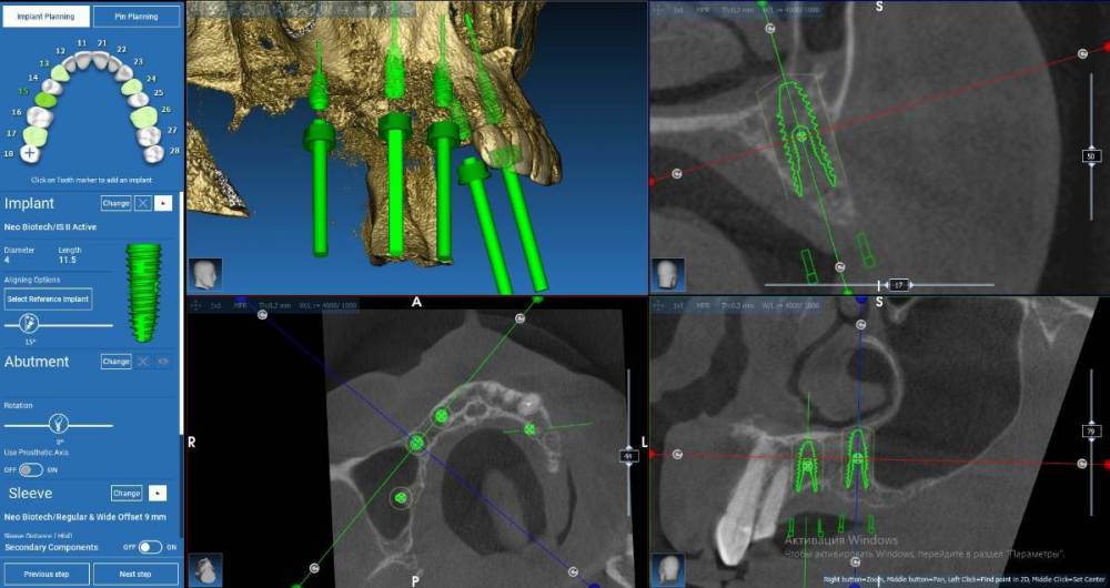
Fin Опубликовано 2 августа, 2022 Поделиться Опубликовано 2 августа, 2022 (изменено) Здравствуйте коллеги. Очень нужен ваш совет с планом лечения. Планирую установить 4 импланта на В.Ч.. В области зубов 2.4 и 2.6 все более менее понятно( 2.4 просто ставить а 2.6 ОСЛ и ставить), а вот в 1 сегменте все значительно сложнее. На данный момент имею три варианта конечно все варианты с навигационным шаблоном: 1.) 1.3 +НКР титановой сеткой (смущает что восстанавливать надо небно) 1.5 под углом и протезом на МЮ с небольшой консолью 1.6 (в виде премоляра) 2. 1.3 все так же либо рискнуть и оставить пару витков открытыми 1.5 имплант 4х10(11,5) и 1.7- 4х 7,3 с ЗСЛ 3 . Может Все таки пора начинать ставить анкилоз и поставить в обл 1.3 3,5х8 с небольшим оголением небной стенки.В остальный местах на этой стороне так же ануилоз. Протезрование делать с уровня МЮ. Благодарю Вас за советы. Скрины 2 сегмента Изменено 2 августа, 2022 пользователем Fin Ссылка на комментарий
Irouil Опубликовано 2 августа, 2022 Поделиться Опубликовано 2 августа, 2022 В первом варианте у вас 1.3 выходит куда-то практически в 1.4, имхо надо чуть медиальнее Я бы не стал там титановую сетку городить, небо - это фактически трехстеночный дефект, сделал бы сосидж вокруг тонкого ФДМ или временной коронки А с остальными винтами почему не открытый синус+импланты? Ну или если заходит закрытый под углом (не очень понятно по скринам), то его + МЮ (и тогда у 1.3 сосидж вокруг мульта) Ссылка на комментарий
Fin Опубликовано 2 августа, 2022 Автор Поделиться Опубликовано 2 августа, 2022 (изменено) 15 минут назад, Irouil сказал: В первом варианте у вас 1.3 выходит куда-то практически в 1.4, имхо надо чуть медиальнее Я бы не стал там титановую сетку городить, небо - это фактически трехстеночный дефект, сделал бы сосидж вокруг тонкого ФДМ или временной коронки А с остальными винтами почему не открытый синус+импланты? Ну или если заходит закрытый под углом (не очень понятно по скринам), то его + МЮ (и тогда у 1.3 сосидж вокруг мульта) Спасибо за ответ. На счет 1.3 вы правы, надо медиальнее, нечаянно выровнял оси имплантов. Вы немного не поняли. Думал поставить 1.5 под углом и на него кослольку небольшую до 6 ки. Да, возможно ОСЛ в области 1,6 будет правильнее и в последующем имплант будут правильнее. Изменено 2 августа, 2022 пользователем Fin Ссылка на комментарий
Irouil Опубликовано 2 августа, 2022 Поделиться Опубликовано 2 августа, 2022 @Fin многое зависит от неклинических факторов, я сейчас работаю в клинике, где большинство пациентов- туристы, на хирургию почти всегда всего один визит и каждый приезд - не дольше 2-х недель. В итоге мы избегаем изолированных пластик как исчадий ада и каждый открытый синус лифт всех напрягает. Но если у Вас таких экстремальных факторов нет, то я бы сделал все по классике Ссылка на комментарий
АнтонТЛТ Опубликовано 2 августа, 2022 Поделиться Опубликовано 2 августа, 2022 Меня одного смущает слишком небное положение 13? Ссылка на комментарий
Irouil Опубликовано 2 августа, 2022 Поделиться Опубликовано 2 августа, 2022 @АнтонТЛТ на какой из расстановок? Ссылка на комментарий
Женька Опубликовано 2 августа, 2022 Поделиться Опубликовано 2 августа, 2022 Наверное, в первом, там где НКР с титаном? @Irouilсосиска вокруг фдм или времяшки это когда дырка в мембране и фдм типа якоря получается (вестибулярно и нёбно пинится мембрана или швами натягивается)? Ссылка на комментарий
АнтонТЛТ Опубликовано 2 августа, 2022 Поделиться Опубликовано 2 августа, 2022 @Fin сделайте расстановку зубов, исходите из положения ортопедического, а не условий костной ткани 2 Ссылка на комментарий
Irouil Опубликовано 2 августа, 2022 Поделиться Опубликовано 2 августа, 2022 57 минут назад, Женька сказал: Наверное, в первом, там где НКР с титаном? @Irouilсосиска вокруг фдм или времяшки это когда дырка в мембране и фдм типа якоря получается (вестибулярно и нёбно пинится мембрана или швами натягивается)? Тогда я не понял в чем там слишком небность, хотя по этим скринам вообще сагитальную позицию сложно оценить @Женька в общем-то - да, только закрепить желательно с обеих сторон, просто фдм/мульт/времяшка играют роль крестального пина С времяшкой сложнее всего, с ней нужно слепки посреди хирургии снимать и успеть её сделать до конца сосиджа, с мультом проще всего. С мультом и ФДМ делал сам. Ссылка на комментарий
Fin Опубликовано 2 августа, 2022 Автор Поделиться Опубликовано 2 августа, 2022 (изменено) 1 час назад, АнтонТЛТ сказал: @Fin сделайте расстановку зубов, исходите из положения ортопедического, а не условий костной ткани Вы правы...Быстро сделал виртуально постановку, нужно наращивать с обеих сторон получается Изменено 2 августа, 2022 пользователем Fin Ссылка на комментарий
АнтонТЛТ Опубликовано 2 августа, 2022 Поделиться Опубликовано 2 августа, 2022 А теперь коронку по торку наклоните, чтобы рвущий бугор клыка был на одной дуге с режущим краем 12 и вестибулярного бугра 14 Ссылка на комментарий
Irouil Опубликовано 2 августа, 2022 Поделиться Опубликовано 2 августа, 2022 (изменено) Во первых я бы взял винт 3.6 Во вторых на этом скрине вроде бы нужно как раз небнее, так выход практически в бугор В третьих исходя из первых двух пунктов + конденсация вестибулярно все должно быть нормально В четвертых пятёрку бы дистальнее P.S. да, насчёт бугра Антон прав, он завален Вообще, все эти расстановки без макетирования на моделях меня немного смущают всегда Изменено 2 августа, 2022 пользователем Irouil 1 1 Ссылка на комментарий
АнтонТЛТ Опубликовано 2 августа, 2022 Поделиться Опубликовано 2 августа, 2022 Короче качайте экзокад с торрента и учитесь расставлять зубы с учётом прикуса. Тогда вопросов по позициям имплантатов будет меньше. Или кт в прикусе с захватом антагонистов. Но надёжнее первый вариант. Ссылка на комментарий
АнтонТЛТ Опубликовано 2 августа, 2022 Поделиться Опубликовано 2 августа, 2022 Валетта 2.2 идёт даже на старых компах и очень просто устанавливается. Ссылка на комментарий
Fin Опубликовано 2 августа, 2022 Автор Поделиться Опубликовано 2 августа, 2022 (изменено) 37 минут назад, АнтонТЛТ сказал: Короче качайте экзокад с торрента и учитесь расставлять зубы с учётом прикуса. Тогда вопросов по позициям имплантатов будет меньше. Или кт в прикусе с захватом антагонистов. Но надёжнее первый вариант. Большое спасибо. Не знал что экзокад есть на торентах, буду искать. Компьютер достаточно современный любой пойдет. Да Клык завалил (вечно тороплюсь). Антагонистов на данный момент нет, делаю времянки из металло-пластмассы. 46 минут назад, Irouil сказал: Во первых я бы взял винт 3.6 Во вторых на этом скрине вроде бы нужно как раз небнее, так выход практически в бугор В третьих исходя из первых двух пунктов + конденсация вестибулярно все должно быть нормально В четвертых пятёрку бы дистальнее P.S. да, насчёт бугра Антон прав, он завален Вообще, все эти расстановки без макетирования на моделях меня немного смущают всегда Большое спасибо Вам за ответ, постараюсь в близжайшее дни сделать воск и совместить с КТ. 3,6 нет есть 3.5, но меня вечно пугает риск перелома 3.5 у корейцев поэтому и заговорил о другой системе. Изменено 2 августа, 2022 пользователем Fin Ссылка на комментарий
Irouil Опубликовано 3 августа, 2022 Поделиться Опубликовано 3 августа, 2022 7 часов назад, Fin сказал: Большое спасибо Вам за ответ, постараюсь в близжайшее дни сделать воск и совместить с КТ. 3,6 нет есть 3.5, но меня вечно пугает риск перелома 3.5 у корейцев поэтому и заговорил о другой системе. Если это осстем, то там разница между 3.5 и 4.0 по платформе практически равна разница по диаметру винтов. Я не понимаю зачем нужны винты 4.0 осстем вообще Ссылка на комментарий
Рекомендуемые сообщения
Для публикации сообщений создайте учётную запись или авторизуйтесь
Вы должны быть пользователем, чтобы оставить комментарий
Создать аккаунт
Зарегистрируйте новый аккаунт в нашем сообществе. Это очень просто!
Регистрация нового пользователяВойти
Уже есть аккаунт? Войти в систему.
Войти