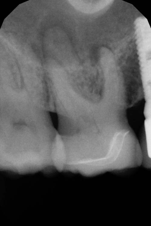
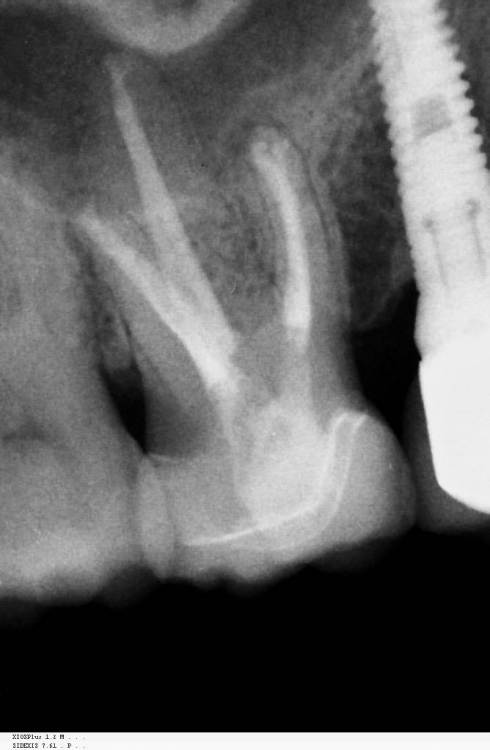
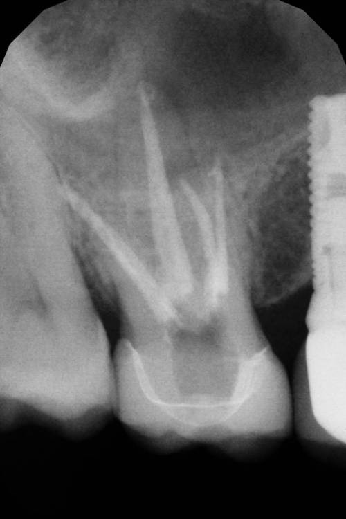
Гарриевич Опубликовано 2 августа, 2022 Поделиться Опубликовано 2 августа, 2022 (изменено) Изменено 2 августа, 2022 пользователем Гарриевич 7 Ссылка на комментарий
Рекомендуемые сообщения
Для публикации сообщений создайте учётную запись или авторизуйтесь
Вы должны быть пользователем, чтобы оставить комментарий
Создать аккаунт
Зарегистрируйте новый аккаунт в нашем сообществе. Это очень просто!
Регистрация нового пользователяВойти
Уже есть аккаунт? Войти в систему.
Войти