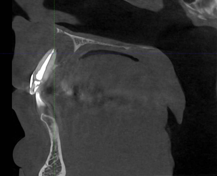
feGTX Опубликовано 15 июля, 2022 Поделиться Опубликовано 15 июля, 2022 (изменено) Здравствуйте. Очень нужна помощь стоматологов! В 2019 году обнаружил свищ над верхними передними зубами. Пошел к своему стоматологу, который начал следующее лечение: - нервы в зубах были удалены и пару дней я ходил с открытым каналом. Далее закладывался Метапекс, а потом постоянная пломба, но свищ не закрылся. 22 зуб также залечили. Были консультации и в других стоматологиях нашего маленького городка (КТ тогда тоже делалось), но в основном рекомендовали три зуба под удаление, закладывание искусственной кости, импланты или мосты на соседние зубы. Решили пробовать перелечивать со своим стоматологом. - 21 зуб снова вскрыли и несколько раз закладывали Кальцетин. Потом снова постоянная пломба. И свищ закрылся (это было осенью 2019 года). Далее делали несколько снимков - вроде медленно шло заживление. В сентябре 2021 года делал КТ нижней челюсти по другой проблеме, и захватилась верхняя челюсть - тоже были видны улучшения в сравнении с самой первой КТ. И вот на днях снова свищ на десне. Надавливаю под носом и выходит жидкость. Снимок сделали, но как-то коряво вышел он. Сделал также КТ. Снова всё плохо. Во вложении три старых снимка, один свежий, и несколько изображений с КТ. Если нужны еще какие-то срезы, то попробую сделать. Помогите пожалуйста. Изменено 15 июля, 2022 пользователем feGTX Ссылка на комментарий
АнтонТЛТ Опубликовано 15 июля, 2022 Поделиться Опубликовано 15 июля, 2022 (изменено) Я бы предложил сделать резекцию верхушек корней и убрать кисту хирургически, ретроградное пломбирование каналов. Прогноз сохранения зубов благоприятный. Изменено 15 июля, 2022 пользователем АнтонТЛТ 1 2 Ссылка на комментарий
feGTX Опубликовано 15 июля, 2022 Автор Поделиться Опубликовано 15 июля, 2022 (изменено) 55 минут назад, АнтонТЛТ сказал: Я бы предложил сделать резекцию верхушек корней и убрать кисту хирургически, ретроградное пломбирование каналов. Прогноз сохранения зубов благоприятный. Спасибо за ответ. А каналы перелечивать больше смысла не имеет? Просто к примеру в нашем городке и микроскопов в стоматологиях нет, по старинке больше. Хотя в одной стоматологии есть микроскоп, но как раз там и предложили сразу удалять зубы. И резекцию обязательно с ретроградным пломбированием? И на 21 и 22 зубах? Или на 11 тоже? Изменено 15 июля, 2022 пользователем feGTX Ссылка на комментарий
TIGER Опубликовано 15 июля, 2022 Поделиться Опубликовано 15 июля, 2022 @feGTX без ретроградного пломбирования смысла от резекции никакого нет....причина скорее всего в 21 1 1 Ссылка на комментарий
АнтонТЛТ Опубликовано 15 июля, 2022 Поделиться Опубликовано 15 июля, 2022 Всё что можно было сделать терапевтически, на мой взгляд, уже сделали. Ретроградное пломбирование обязательно. Причина вероятнее всего в 21, но остальные я бы тоже взял в резекцию. Ссылка на комментарий
feGTX Опубликовано 15 июля, 2022 Автор Поделиться Опубликовано 15 июля, 2022 (изменено) 17 минут назад, АнтонТЛТ сказал: Всё что можно было сделать терапевтически, на мой взгляд, уже сделали. Ретроградное пломбирование обязательно. Причина вероятнее всего в 21, но остальные я бы тоже взял в резекцию. Просто я написал выше про наш городок в том смысле, что навряд ли здесь кто-то соблюдает современные протоколы, материалы, и так далее. Поэтому и уточняю про терапевтическое перелечивание... Получается даже если предположить что терапевтически зубы пролечены плохо, то просто можно "законсервировать" инфекцию в канале при хорошей ретроградной пломбировке? Изменено 15 июля, 2022 пользователем feGTX Ссылка на комментарий
АнтонТЛТ Опубликовано 15 июля, 2022 Поделиться Опубликовано 15 июля, 2022 Да, проблема обычно в самом конце канала Ссылка на комментарий
feGTX Опубликовано 18 июля, 2022 Автор Поделиться Опубликовано 18 июля, 2022 Уважаемые доктора, ещё вопрос - а сколько у меня есть времени до начала лечения? Скажем за один-два месяца ситуация может кардинально ухудшиться, что придется только удалять? Просто нужно время поднакопить деньжат на такую неожиданность и собственно определиться куда, как, к кому... Ссылка на комментарий
Гарриевич Опубликовано 22 июля, 2022 Поделиться Опубликовано 22 июля, 2022 Если зубы были лечены не совсем по современным стандартам, или совсем не по современным стандартам, то я бы начал с консервативного лечения и наблюдения в динамике. При отсутствии положительного результата - резекция Ссылка на комментарий
АнтонТЛТ Опубликовано 27 сентября, 2024 Поделиться Опубликовано 27 сентября, 2024 Ну как-то так прошла операция, резекция трёх зубов, 3д реконструкции последнего кт нет в телефоне Дефект сквозной был 6 Ссылка на комментарий
Рекомендуемые сообщения
Для публикации сообщений создайте учётную запись или авторизуйтесь
Вы должны быть пользователем, чтобы оставить комментарий
Создать аккаунт
Зарегистрируйте новый аккаунт в нашем сообществе. Это очень просто!
Регистрация нового пользователяВойти
Уже есть аккаунт? Войти в систему.
Войти