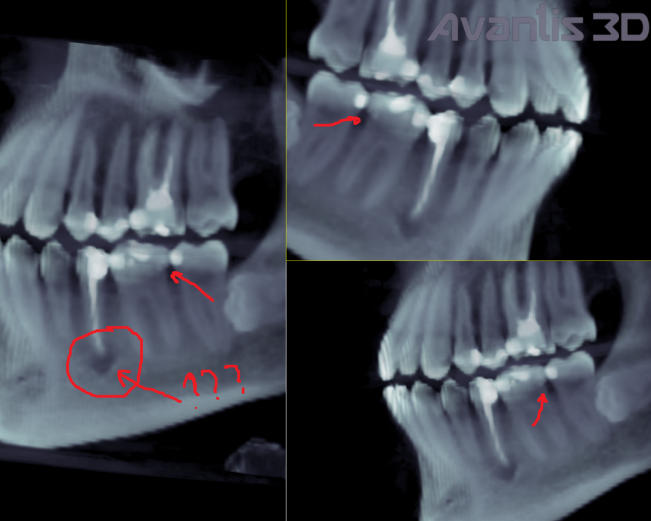
amkazan Опубликовано 14 июля, 2022 Поделиться Опубликовано 14 июля, 2022 Здравствуйте, между 6 и 7 зубом слева появилась чувствительность на воду комнатной температуры. Боль не ужасная, но скорее ощущение весьма чувствительное, проходит через некоторое количество секунд 1) Сначала думал из-за кариеса в 7ке. Залечили. Не прошло 2) Потом подумал что из-за зуба мудрости 8ки горизонтального. Удалили. Не прошло 3) Потом уже обратился к КТ и вот смотрю : Может ли это быть из-за некой полости или некой трещины в 6ке, которая указана стрелочками на 2х приложенных скриншотах? (Я не стоматолог, что сам принимаю решения как мне лечиться. Просто ситуация сложилась такая, что я постоянно перемещаюсь по городам и не могу лечиться у одного стоматолога и поэтому приходится самому пытаться разбираться и просить помощи по совету) Прошу у вас помощи.?Разобраться Прикладываю КТ (это был Vatech, думаю Pax-i3D как самый распространённый, но не факт) в формате DCM на google диске и на Яндекс диске https://drive.google.com/file/d/1vPTicAzKgWuJWQIRL_fG968K7VONyEou/view?usp=sharing https://disk.yandex.ru/d/3vmKZGk3sydIqw p.s. Заодно хочу спросить вопрос а что это за полость под 5кой??? Смотрю на снимки от 2018го. Она там уже есть. Была ли раньше неизвестно.. Ссылка на комментарий
Женька Опубликовано 14 июля, 2022 Поделиться Опубликовано 14 июля, 2022 Здравствуйте. Полость под 5-выход из костной ткани ментального нерва (нормальная анатомия, делать ничего не нужно с этим) Ваш 6 практически полностью состоит из пломбы, надо как минимум проверить прилегание этих самых пломб. Ну и пожалуй закрыть его коронкой, чтобы не сломался глубже и безвозвратно. Боли могут быть как раз следствием выше сказанного. 1 1 Ссылка на комментарий
amkazan Опубликовано 14 июля, 2022 Автор Поделиться Опубликовано 14 июля, 2022 Спасибо!! ??? Ссылка на комментарий
Рекомендуемые сообщения
Для публикации сообщений создайте учётную запись или авторизуйтесь
Вы должны быть пользователем, чтобы оставить комментарий
Создать аккаунт
Зарегистрируйте новый аккаунт в нашем сообществе. Это очень просто!
Регистрация нового пользователяВойти
Уже есть аккаунт? Войти в систему.
Войти