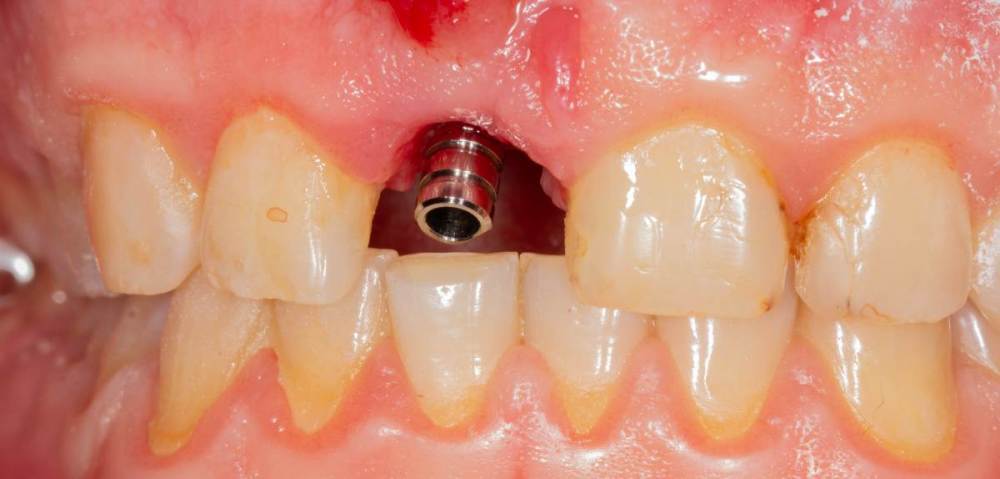
Женька Опубликовано 10 июля, 2022 Поделиться Опубликовано 10 июля, 2022 Приветствую коллеги. В чём может быть проблема? 2 года назад установили коронку на эту альфа, цементная фикса. Сейчас вот такая картина. На кт особо никакой информации (ремоделировка кости есть, но из-за фона видно не очень). Мой план такой-снять коронку, убедиться в наличии/отсутствии цемента, ревизия, удаление грануляций и фиксация коронки обратно. Снимки 2020 и 2022 год соответственно. 1 Ссылка на комментарий
Fin Опубликовано 10 июля, 2022 Поделиться Опубликовано 10 июля, 2022 2 минуты назад, Женька сказал: Приветствую коллеги. В чём может быть проблема? 2 года назад установили коронку на эту альфа, цементная фикса. Сейчас вот такая картина. На кт особо никакой информации (ремоделировка кости есть, но из-за фона видно не очень). Мой план такой-снять коронку, убедиться в наличии/отсутствии цемента, ревизия, удаление грануляций и фиксация коронки обратно. Снимки 2020 и 2022 год соответственно. Может я что то не понимаю, но мне не очень нравится абатмент на этой коронке.Такое ощущение что имплант с внутренним шестигранником а абатммент от конуса. 1 Ссылка на комментарий
АнтонТЛТ Опубликовано 10 июля, 2022 Поделиться Опубликовано 10 июля, 2022 5 минут назад, Fin сказал: Может я что то не понимаю, но мне не очень нравится абатмент на этой коронке.Такое ощущение что имплант с внутренним шестигранником а абатммент от конуса. Так и есть Ссылка на комментарий
Женька Опубликовано 10 июля, 2022 Автор Поделиться Опубликовано 10 июля, 2022 @АнтонТЛТ @Fin это финиш... мне техник (он же владелец клиники), он же автор этой работы сказал, что какая ужасная система, никаких реплик нет. И я подумал, ну значит оригинал. Тогда снимаем коронку и делаем новую и проблема должна решиться? 1 Ссылка на комментарий
Fin Опубликовано 10 июля, 2022 Поделиться Опубликовано 10 июля, 2022 5 минут назад, Женька сказал: @АнтонТЛТ @Fin это финиш... мне техник (он же владелец клиники), он же автор этой работы сказал, что какая ужасная система, никаких реплик нет. И я подумал, ну значит оригинал. Тогда снимаем коронку и делаем новую и проблема должна решиться? честно говоря я удивлен что начало беспокоить только через 2 года, а не через 2 месяца и ремоделировка не такая критичная. Я бы снял коронку поставил самый маленький формик для шестигранника, рентген снимок(точно ли так). Потом уже мыть, снимать новый слепок и новую коронку (для успокоения мб временную сделать).Должно решиться новой коронкой. 1 1 Ссылка на комментарий
TIGER Опубликовано 11 июля, 2022 Поделиться Опубликовано 11 июля, 2022 @Женька работа не сидит,зазор есть,снимать надо Ссылка на комментарий
Женька Опубликовано 11 июля, 2022 Автор Поделиться Опубликовано 11 июля, 2022 @TIGER можете нарисовать где зазор? p/s я там ещё типа синус тракт пытался изобразить) Ссылка на комментарий
kramer Опубликовано 11 июля, 2022 Поделиться Опубликовано 11 июля, 2022 Блин я такого еще не видел))) 1 1 Ссылка на комментарий
TIGER Опубликовано 11 июля, 2022 Поделиться Опубликовано 11 июля, 2022 @Женька да там явно видно ,что абатмент не прилегает нормально Ссылка на комментарий
Fin Опубликовано 11 июля, 2022 Поделиться Опубликовано 11 июля, 2022 (изменено) 21 минуту назад, Женька сказал: @TIGER можете нарисовать где зазор? p/s я там ещё типа синус тракт пытался изобразить) Вот место где четко виден зазор,вторым прикрепил снимок как должно выглядеть если зазора нет(тоже альфа с шестигранником но диаметр большой). Изменено 11 июля, 2022 пользователем Fin 1 3 Ссылка на комментарий
TIGER Опубликовано 11 июля, 2022 Поделиться Опубликовано 11 июля, 2022 (изменено) @Fin ?так точно,вот оно и сифонит Изменено 11 июля, 2022 пользователем TIGER Ссылка на комментарий
Женька Опубликовано 11 июля, 2022 Автор Поделиться Опубликовано 11 июля, 2022 спасибо, коллеги! Пойду поговорю с директором и ортопедом Ссылка на комментарий
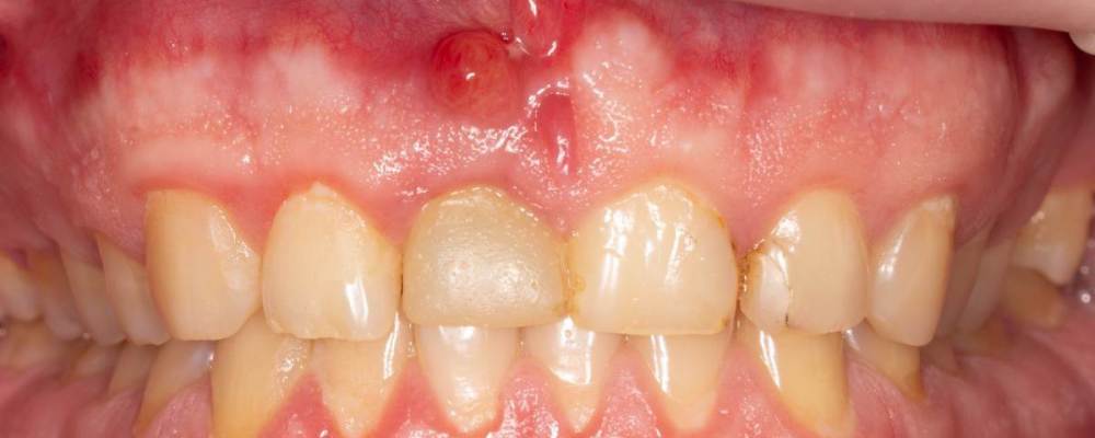
Женька Опубликовано 29 августа, 2022 Автор Поделиться Опубликовано 29 августа, 2022 Поговорили вот. Фото коронки на абатменте, к сожалению нет. РГ постараюсь выцепить из клиники... наконец-то уволился из этой богодельни. Ссылка на комментарий
Женька Опубликовано 29 августа, 2022 Автор Поделиться Опубликовано 29 августа, 2022 почему на фотках июльских коронка выглядит блестящей, а на нынешних вся в порах как будто? это же керамика вроде Ссылка на комментарий
Fin Опубликовано 29 августа, 2022 Поделиться Опубликовано 29 августа, 2022 это вроде пластмассовая коронка на временном абатменте, разве нет? Ссылка на комментарий
АнтонТЛТ Опубликовано 29 августа, 2022 Поделиться Опубликовано 29 августа, 2022 Мало того, что был использован конический абатмент, так ещё и выжигаемый 6 минут назад, Fin сказал: это вроде пластмассовая коронка на временном абатменте, разве нет? Постоянную коронку поменяли на временную Ссылка на комментарий
Fin Опубликовано 29 августа, 2022 Поделиться Опубликовано 29 августа, 2022 10 минут назад, АнтонТЛТ сказал: Мало того, что был использован конический абатмент, так ещё и выжигаемый Постоянную коронку поменяли на временную я просто не очень понял Фразу про пористость. Это к старой коронке обращалось? Ссылка на комментарий
Женька Опубликовано 29 августа, 2022 Автор Поделиться Опубликовано 29 августа, 2022 @Fin посмотрите на первое сообщение в теме. Там эта коронка блестит и особенно нёбно выглядит как и подобает керамике. И потом посмотрите как коронка выглядит в предыдущем сообщении моём. Старое на конусе достали, новое на плоскостном абатменте временное сделали. Ссылка на комментарий
Женька Опубликовано 29 августа, 2022 Автор Поделиться Опубликовано 29 августа, 2022 34 минуты назад, АнтонТЛТ сказал: Мало того, что был использован конический абатмент, так ещё и выжигаемый Они его ещё и пилили судя по всему, тк посадить никак не могли. И шестигранник и сам абатмент, короче ужос. Ссылка на комментарий
TIGER Опубликовано 30 августа, 2022 Поделиться Опубликовано 30 августа, 2022 (изменено) @Женька поздравляю!давно пора было!?в добрый час) @Женька я бы проверил целостность импланта ещё.... Изменено 30 августа, 2022 пользователем TIGER Ссылка на комментарий
Fin Опубликовано 30 августа, 2022 Поделиться Опубликовано 30 августа, 2022 29.08.2022 в 16:28, Женька сказал: Они его ещё и пилили судя по всему, тк посадить никак не могли. И шестигранник и сам абатмент, короче ужос. думаю там щечки абатмента могли давить на кость(в этом ничего страшного нет, временный абатмент 4,65 а имплант 3,75 скорее всего. А вот внутрянку конечно зря. 12 часов назад, TIGER сказал: @Женька я бы проверил целостность импланта ещё.... Мне кажется АБ так не сломать)) Ссылка на комментарий
Женька Опубликовано 30 августа, 2022 Автор Поделиться Опубликовано 30 августа, 2022 47 минут назад, Fin сказал: думаю там щечки абатмента могли давить на кость(в этом ничего страшного нет, временный абатмент 4,65 а имплант 3,75 скорее всего. А вот внутрянку конечно зря. вы про новый абатмент? я про пилёжку говорю про старый, он явно не израильский. Ссылка на комментарий
Fin Опубликовано 30 августа, 2022 Поделиться Опубликовано 30 августа, 2022 Только что, Женька сказал: вы про новый абатмент? я про пилёжку говорю про старый, он явно не израильский. Это да, непоймешь что)) Ссылка на комментарий
TIGER Опубликовано 31 августа, 2022 Поделиться Опубликовано 31 августа, 2022 @Fin есть такое дело)но один раз встретил Ссылка на комментарий
Pavel-Pskov Опубликовано 31 августа, 2022 Поделиться Опубликовано 31 августа, 2022 Цитата Это да, непоймешь что)) Похож абатмент на корейца. Ссылка на комментарий
Рекомендуемые сообщения
Для публикации сообщений создайте учётную запись или авторизуйтесь
Вы должны быть пользователем, чтобы оставить комментарий
Создать аккаунт
Зарегистрируйте новый аккаунт в нашем сообществе. Это очень просто!
Регистрация нового пользователяВойти
Уже есть аккаунт? Войти в систему.
Войти