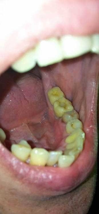
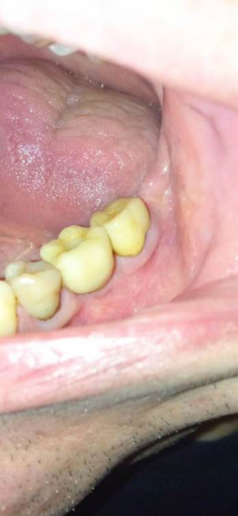
Jonik Опубликовано 29 июня, 2022 Поделиться Опубликовано 29 июня, 2022 Здравствуйте! Поставили коронку на временный цемент, недавно она отвалилась, нужно идти фиксировать на постоянный цемент но коронка мне не совсем нравится. Слой керамики в некоторых местах выходит за пределы металлического основания. Где то слой керамики заглажен к металлу, а где то имеет утолщение. Можно ли фиксировать такую коронку или переделывать. Если поставить эту коронку, могут ли потом возникнуть проблемы с гигиеной или с десной? Ссылка на комментарий
Doc Опубликовано 30 июня, 2022 Поделиться Опубликовано 30 июня, 2022 Тут весь вопрос в том, что это было. Если керамическое плечо, то это нормально и даже когда-то приветствовалось. Если же техник просто металл не дотянул, а потом решил керамикой доляпать, то это совсем другой вопрос. Как во рту сидит? По десне все хорошо, либо над, либо глубоко под? Где уступ? Ссылка на комментарий
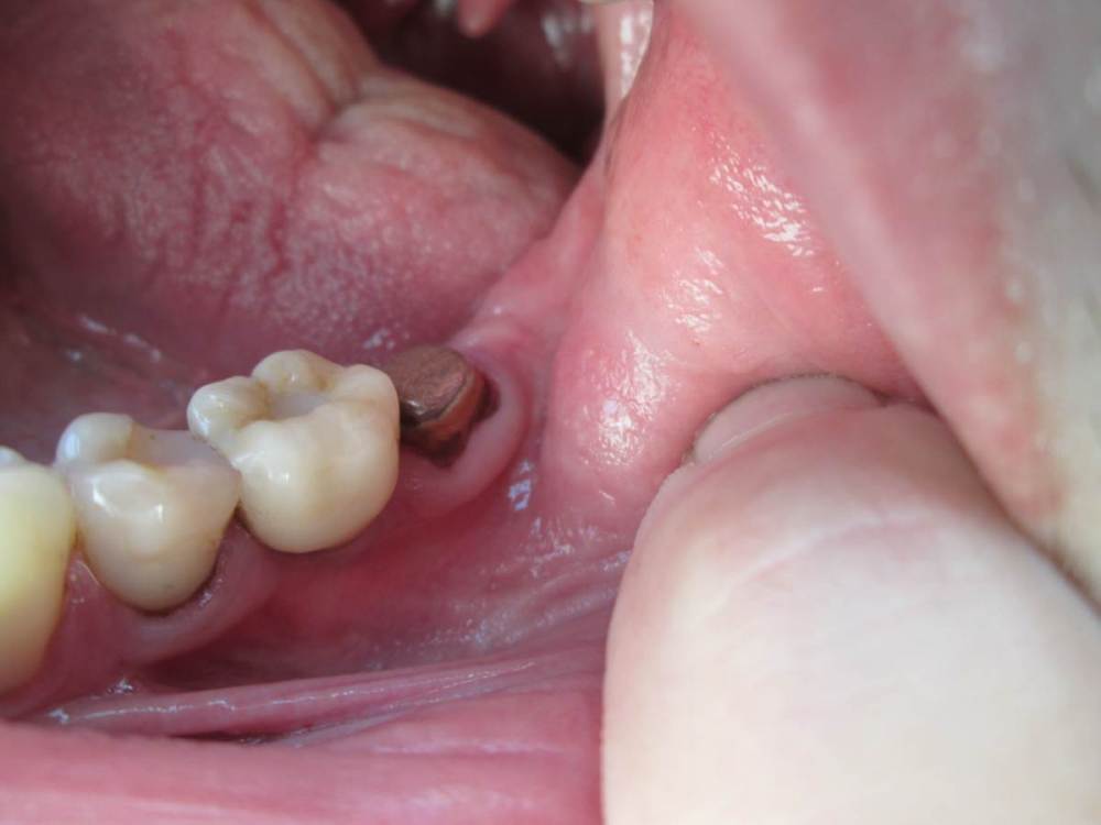
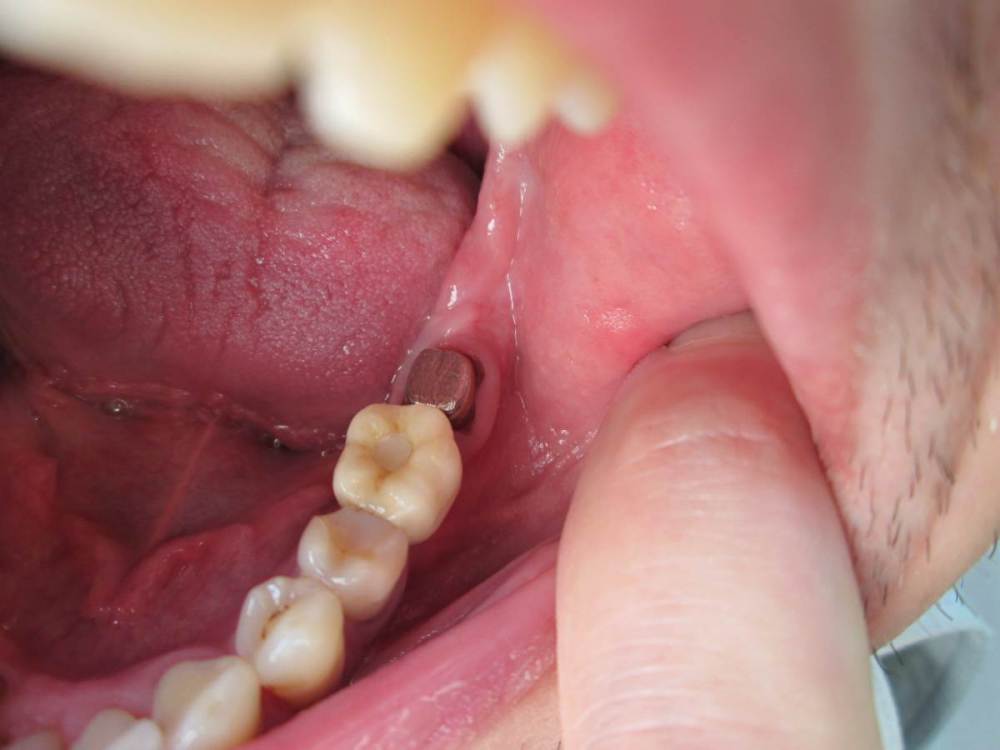
Jonik Опубликовано 30 июня, 2022 Автор Поделиться Опубликовано 30 июня, 2022 31 минуту назад, Doc сказал: Тут весь вопрос в том, что это было. Если керамическое плечо, то это нормально и даже когда-то приветствовалось. Если же техник просто металл не дотянул, а потом решил керамикой доляпать, то это совсем другой вопрос. Как во рту сидит? По десне все хорошо, либо над, либо глубоко под? Где уступ? Коронка точно без плеча. Когда была первая примерка врач отправил коронку на корректировку, сказал что нужно поправить немного. Может как раз это и был недотянутый метал. Как во рту сидит мне не нравится, местами под десну заходит. Ближе к уступу коронка кажется массивной, имеет утолщение возле десны, как бы наплывает на десну, приходится промывать ирригатором. Ссылка на комментарий
Doc Опубликовано 30 июня, 2022 Поделиться Опубликовано 30 июня, 2022 Ну, это уже с доктором обсудить нужно. Не видя ситуацию во рту, сложно давать какие-то советы. Ссылка на комментарий
Рекомендуемые сообщения
Для публикации сообщений создайте учётную запись или авторизуйтесь
Вы должны быть пользователем, чтобы оставить комментарий
Создать аккаунт
Зарегистрируйте новый аккаунт в нашем сообществе. Это очень просто!
Регистрация нового пользователяВойти
Уже есть аккаунт? Войти в систему.
Войти