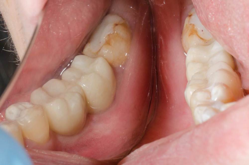
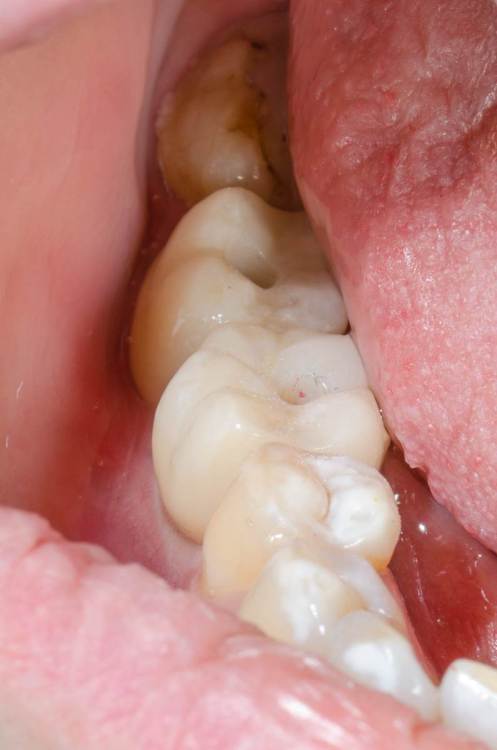
Fin Опубликовано 17 июня, 2022 Поделиться Опубликовано 17 июня, 2022 Решил выложить на форум свой первый кейс. В будущем буду стараться выкладывать почаще?. 7 2 Ссылка на комментарий
Aquarius Опубликовано 18 июня, 2022 Поделиться Опубликовано 18 июня, 2022 (изменено) Мне одному пациенты предъявляют за застревание пищи на дистальном сосочке из-за дрифта восьмерок??? Спасибо за кейс Изменено 18 июня, 2022 пользователем Aquarius Ссылка на комментарий
Doc Опубликовано 18 июня, 2022 Поделиться Опубликовано 18 июня, 2022 23 часа назад, Fin сказал: Решил выложить на форум свой первый кейс. В будущем буду стараться выкладывать почаще?. Для первого кейса просто замечательно! :))) 1 Ссылка на комментарий
Fin Опубликовано 19 июня, 2022 Автор Поделиться Опубликовано 19 июня, 2022 12 часов назад, Doc сказал: Для первого кейса просто замечательно! :))) Я имел ввиду что первый кейс который выложил на форуме, а не просто первый кейс)) Хотя это моя вторая пересадка СДТ. 15 часов назад, Aquarius сказал: Мне одному пациенты предъявляют за застревание пищи на дистальном сосочке из-за дрифта восьмерок??? Спасибо за кейс В данном случае я рекомендовал удалить восьмерку но пациентка отказалась.Предупредил о последствиях. Прошел уже год с момента протезирования, на контрольном осмотре не жаловалась. Ссылка на комментарий
Doc Опубликовано 19 июня, 2022 Поделиться Опубликовано 19 июня, 2022 12 часов назад, Fin сказал: Я имел ввиду что первый кейс который выложил на форуме, а не просто первый кейс)) Хотя это моя вторая пересадка СДТ. Я именно про это! Выложить первый кейс на форум часто труднее, чем его сделать. 1 Ссылка на комментарий
red_butler Опубликовано 20 июня, 2022 Поделиться Опубликовано 20 июня, 2022 Fin спасибо за кейс. Можно rg посмотреть? Ссылка на комментарий
plot Опубликовано 20 июня, 2022 Поделиться Опубликовано 20 июня, 2022 Спасибо за кейс. Если донорская зона-небо, чем закрывали ее.? Ссылка на комментарий
Fin Опубликовано 20 июня, 2022 Автор Поделиться Опубликовано 20 июня, 2022 (изменено) 3 часа назад, red_butler сказал: Fin спасибо за кейс. Можно rg посмотреть? Да,конечно, последний снимок через пол года после фиксации коронок. Импланты необиотек с 0,5 мм полир. шейки Изменено 20 июня, 2022 пользователем Fin 2 1 Ссылка на комментарий
Fin Опубликовано 20 июня, 2022 Автор Поделиться Опубликовано 20 июня, 2022 2 часа назад, plot сказал: Спасибо за кейс. Если донорская зона-небо, чем закрывали ее.? В данном случае у пациентки ранее ортодонтом была сделана каппа. Она и защищала небо. 2 Ссылка на комментарий
Женька Опубликовано 20 июня, 2022 Поделиться Опубликовано 20 июня, 2022 Круто! Сдт же вторым этапом был? или сразу расщепление, асл+сдт? Ссылка на комментарий
Fin Опубликовано 20 июня, 2022 Автор Поделиться Опубликовано 20 июня, 2022 1 час назад, Женька сказал: Круто! Сдт же вторым этапом был? или сразу расщепление, асл+сдт? Благодарю. Да, конечно вторым этапом, одновременно с установкой формиков. Ссылка на комментарий
Женька Опубликовано 20 июня, 2022 Поделиться Опубликовано 20 июня, 2022 @Fin апикально лоскут не фиксировали вообще? Ссылка на комментарий
Fin Опубликовано 20 июня, 2022 Автор Поделиться Опубликовано 20 июня, 2022 (изменено) 5 минут назад, Женька сказал: @Fin апикально лоскут не фиксировали вообще? Викрилом 6/0 фиксировал, он светлый и его плохо видно на фото. Сейчас бы уже подругому сделал бы. Изменено 20 июня, 2022 пользователем Fin Ссылка на комментарий
Doctor Vlad Опубликовано 21 июня, 2022 Поделиться Опубликовано 21 июня, 2022 9 часов назад, Fin сказал: Сейчас бы уже подругому сделал бы Как бы сделали? не очень удобно там в глубине фиксировать? Ссылка на комментарий
Fin Опубликовано 21 июня, 2022 Автор Поделиться Опубликовано 21 июня, 2022 (изменено) 5 часов назад, Doctor Vlad сказал: Как бы сделали? не очень удобно там в глубине фиксировать? Да, фиксировать сложно и викрил не очень удобный,режет надкостницу. Когда просто викрилом снизу подшивал трансплантат сильно гулял. Сейчас стараюсь фиксировать проленом матрацными швами. Ими очень хорошо первично зафиксировать трансплантат. Хочу попробовать пинами или винтами фиксировать. Изменено 21 июня, 2022 пользователем Fin Ссылка на комментарий
Doctor Vlad Опубликовано 22 июня, 2022 Поделиться Опубликовано 22 июня, 2022 выглядит не проще) Ссылка на комментарий
It'sGeorgy Опубликовано 22 июня, 2022 Поделиться Опубликовано 22 июня, 2022 21.06.2022 в 11:05, Fin сказал: Хочу попробовать пинами или винтами фиксировать. Как только попробуете, в тот же час забудете, что когда-то фиксировали швами. Это очень сильно время экономить будет. Единственный минус - если глубоко фиксируетесь, надо так же глубоко отслаиваться, чтобы винт этот убрать. Но тут вопрос в том, всегда ли нужно их убирать в принципе... Ссылка на комментарий
АнтонТЛТ Опубликовано 22 июня, 2022 Поделиться Опубликовано 22 июня, 2022 Да, нужно длинные безударные пины купить и тоже переходить на такую фиксацию сдт) Ссылка на комментарий
Fin Опубликовано 23 июня, 2022 Автор Поделиться Опубликовано 23 июня, 2022 18 часов назад, Doctor Vlad сказал: выглядит не проще) Немного проще т.к. сначала накидываю матрацные швы, незатягивая их потом подпихиваю СДТ и затягияваю швы. Получается что СДТ уже стабилен и остается только пришивать края. 17 часов назад, It'sGeorgy сказал: Как только попробуете, в тот же час забудете, что когда-то фиксировали швами. Это очень сильно время экономить будет. Единственный минус - если глубоко фиксируетесь, надо так же глубоко отслаиваться, чтобы винт этот убрать. Но тут вопрос в том, всегда ли нужно их убирать в принципе... Спасибо за инфу, уже давно хочу, даже наконечник купил.Только пины никак не закажу... 11 часов назад, АнтонТЛТ сказал: Да, нужно длинные безударные пины купить и тоже переходить на такую фиксацию сдт) Согласен. А то фиксацию СДТ называю уже курсом кройки и шитья)) Ссылка на комментарий
Женька Опубликовано 23 июня, 2022 Поделиться Опубликовано 23 июня, 2022 @АнтонТЛТ на апикально лоскут всё равно швами подшиваем? а вот сдт просто припиниваем и всё. Ссылка на комментарий
Fin Опубликовано 23 июня, 2022 Автор Поделиться Опубликовано 23 июня, 2022 (изменено) 1 час назад, Женька сказал: @АнтонТЛТ на апикально лоскут всё равно швами подшиваем? а вот сдт просто припиниваем и всё. 20.06.2022 в 20:50, Женька сказал: @Fin апикально лоскут не фиксировали вообще? Кстати Женька Ваш вопрос ранее я видимо не понял, если вы имели ввиду расщепленный лоскут а не СДТ как на фото. То я его не подшивал а отрезал ножницами что болталось и оставил так. 17.06.2022 в 22:40, Fin сказал: Изменено 23 июня, 2022 пользователем Fin Ссылка на комментарий
Женька Опубликовано 23 июня, 2022 Поделиться Опубликовано 23 июня, 2022 @Fin да, я это имел ввиду) Ссылка на комментарий
It'sGeorgy Опубликовано 23 июня, 2022 Поделиться Опубликовано 23 июня, 2022 16 минут назад, Fin сказал: Спасибо за инфу, уже давно хочу, даже наконечник купил.Только пины никак не закажу... если в клинике есть винты конметовские, самонарезающие, то можете ими попробовать. Тоже самое. Единственный минус, как выше упоминал, они иногда врастают под смещенную надкостницу в процессе заживления. С пинами у меня такого не было. 1 Ссылка на комментарий
Рекомендуемые сообщения
Для публикации сообщений создайте учётную запись или авторизуйтесь
Вы должны быть пользователем, чтобы оставить комментарий
Создать аккаунт
Зарегистрируйте новый аккаунт в нашем сообществе. Это очень просто!
Регистрация нового пользователяВойти
Уже есть аккаунт? Войти в систему.
Войти