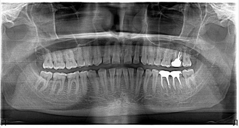
ZubGluposti Опубликовано 30 мая, 2022 Поделиться Опубликовано 30 мая, 2022 Добрый день друзья. Лет 5 назад мне установили коронки. Проблема была в том, что коронки очень скоро разъехались и в них стала забиваться пища и в какой то момент коронка скололась. Была установлена единая коронка на 2 зуба, но и она периодически отваливалась. После последней установки коронки под неё стала забиваться пища и выскочил флюс. Флюс дренировали, но хватило на 2 недели, а теперь я не мог жевать этими коронками. Доктор отказался от лечения мотивируя тем, что зубы очень маленькие и имплант установить не представляется возможным. Предложил длинный мост без гарантии. Сходил сделал снимок и предложили 2 коронки за 200.000р. Прошу у Вас совета как поступить всё таки 200.000р это очень дорого. Ссылка на комментарий
It'sGeorgy Опубликовано 30 мая, 2022 Поделиться Опубликовано 30 мая, 2022 Добрый вечер. Удалите два зуба, подождите 2 мес, сделайте КТ и поставьте 2 имплантата. В чем проблема, или я что-то недопонял? 52 минуты назад, ZubGluposti сказал: Предложил длинный мост без гарантии. Плохая идея. Ссылка на комментарий
ZubGluposti Опубликовано 30 мая, 2022 Автор Поделиться Опубликовано 30 мая, 2022 4 минуты назад, It'sGeorgy сказал: В чем проблема, или я что-то недопонял? Одни стоматологи говорят, что зубы слишком мелкие и импланты не встанут, другие ценник за 2 зуба зарядили 200.000р, что я считаю дорого. Вот и спрашиваю какие есть варианты? Ссылка на комментарий
It'sGeorgy Опубликовано 30 мая, 2022 Поделиться Опубликовано 30 мая, 2022 1 минуту назад, ZubGluposti сказал: Одни стоматологи говорят, что зубы слишком мелкие и импланты не встанут Размер ныне имеющихся зубов, даже если они действительно мелкие(что вряд ли), никаким образом не влияет на будущую имплантацию. Я думаю, у вас с доктором в этом моменте просто возникло недопонимание. Влияет - состояние костной и десневой ткани после, образовавшийся после удаления. Их можно будет оценить по КТ и при внешнем осмотре. ДАЖЕ если какие-то проблемы там будут(что, опять же, очень вряд ли, если вы вовремя займетесь восстановлением удаленных зубов), то они все решаемы. 5 минут назад, ZubGluposti сказал: другие ценник за 2 зуба зарядили 200.000р, Финансовые вопросы мы на форуме не обсуждаем, но Москва - город большой. Наверняка, где-то вам смогут предложить вариант бюджетнее. Ссылка на комментарий
Bier Опубликовано 30 мая, 2022 Поделиться Опубликовано 30 мая, 2022 имплантаты встанут. Удалить 2 зуба, через 2-3 мес поставить 2 имплантата в 140-150 наверное можно уложиться. Ссылка на комментарий
ZubGluposti Опубликовано 31 мая, 2022 Автор Поделиться Опубликовано 31 мая, 2022 Спасибо за ответы, буду думать, я так понимаю времени у меня нет. Отослал в 8 Рязанских клиник снимок: 6 слились с приглашением на приём и 2 обещали ответить. Ссылка на комментарий
It'sGeorgy Опубликовано 31 мая, 2022 Поделиться Опубликовано 31 мая, 2022 @ZubGluposti смотрите, ещё раз: вам прямо сейчас нужно просто удалить два зуба. Имплантаты вам будут ставить потом, ибо, судя по вашим словам, установка в день удаления будет невозможна. Вам виднее конечно, но вы точно считаете ехать в другой город для удаления двух зубов хорошей идеей? Ссылка на комментарий
ZubGluposti Опубликовано 31 мая, 2022 Автор Поделиться Опубликовано 31 мая, 2022 Вы наверное со мной согласитесь, что если делать, то делать у одного специалиста, что бы потом не было "переобувки", что кто то там неправильно сделал, как я сейчас слышу от своих стоматологов. Либо плохо пролечили каналы, либо цемент ушёл и прочее. Для меня на данный момент вопрос цены актуален и если в Рязани цена итоговая будет существенно ниже, то поеду удалять туда, а после устанавливать, но всё в одном месте. Как говорится: скажи что нибудь на стомалогическом? Какие дебилы тебе каналы пломбировали? С Вас 200 тыщ. Ссылка на комментарий
It'sGeorgy Опубликовано 31 мая, 2022 Поделиться Опубликовано 31 мая, 2022 @ZubGluposti вы правы. Если не смущает дорога - лучше делать все в одном месте конечно. Ссылка на комментарий
ZubGluposti Опубликовано 31 мая, 2022 Автор Поделиться Опубликовано 31 мая, 2022 Спасибо за ваши советы. Нашел в своем городе клинику. За импланты объявили 120.000₽ за 2 штуки. И удаление коронок с вкладками и неприятное выскабливание кисты отдал 12.000₽. Импланты говорит ставить будет через 6 месяцев когда кость нарастет. 1 Ссылка на комментарий
Гарриевич Опубликовано 4 июня, 2022 Поделиться Опубликовано 4 июня, 2022 31.05.2022 в 20:07, ZubGluposti сказал: Спасибо за ваши советы. Нашел в своем городе клинику. За импланты объявили 120.000₽ за 2 штуки. И удаление коронок с вкладками и неприятное выскабливание кисты отдал 12.000₽. Импланты говорит ставить будет через 6 месяцев когда кость нарастет. Возможно и не стоит удалять. У вас есть ещё какие нибудь снимки? Ссылка на комментарий
Рекомендуемые сообщения
Для публикации сообщений создайте учётную запись или авторизуйтесь
Вы должны быть пользователем, чтобы оставить комментарий
Создать аккаунт
Зарегистрируйте новый аккаунт в нашем сообществе. Это очень просто!
Регистрация нового пользователяВойти
Уже есть аккаунт? Войти в систему.
Войти