Перейти к содержанию
Стоматология для всех

Перфорация. Симметрия каналов. Периодонтит


Гарриевич

Рекомендуемые сообщения

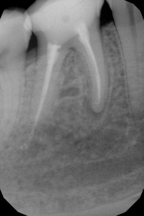
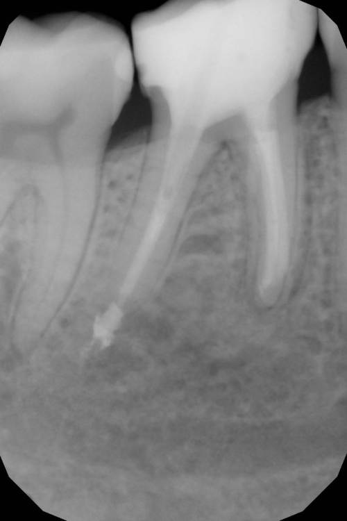
Как эта перфорация образовалась история умалчивает, оно и не важно, и так видно. Асимметричное расположение корневых каналов всегда наводит на мысли о неправильно раскрытом устье. 
Перфорация закрыта триоксиденом, очень классный материал, и главное – наш!))

Для того чтобы при паковке триокси не провалился в каналы, они закрываются фторопластом

кальцием пафнуло дистально

 

52AC68A1-BED8-4BC5-8921-65BB66D838D2.jpeg

91B7BDAE-6A8E-46AF-8947-A4BF1AE897F3.jpeg

4635AAD0-94D1-4B14-8CC6-554FA6A113C6.jpeg

7A9F4A6D-1D0F-43DC-BB64-4B4B23F513F2.jpeg

44E2B6AB-BF21-4AD5-A2D3-09B88FE2669A.jpeg

F8EDF6DF-D7A0-4A6F-A286-7F1EF2B49909.jpeg

FFF556B3-9CE4-469F-9EC3-46A6253D2D9C.jpeg

88F4EB27-00E0-4A26-BB18-FFCC1229BD19.jpeg

Изменено пользователем Гарриевич
  • Like 3
  • Спасибо 3
  • Поддерживаю 1
Ссылка на комментарий
  • 2 месяца спустя...

Для публикации сообщений создайте учётную запись или авторизуйтесь

Вы должны быть пользователем, чтобы оставить комментарий

Создать аккаунт

Зарегистрируйте новый аккаунт в нашем сообществе. Это очень просто!

Регистрация нового пользователя

Войти

Уже есть аккаунт? Войти в систему.

Войти
×
×
  • Создать...
Вверх