chervoncevdaniil Опубликовано 16 мая, 2022 Поделиться Опубликовано 16 мая, 2022 коллеги,можете пояснить,пожалуйста,как вы принимаете решение когда в боковом отделе можно удалить и сразу поставить имплант,удалить+костная пластика и сраазу имплантация,а когда идете отсрочено после удаления?какие основные критерии? Ссылка на комментарий
Женька Опубликовано 16 мая, 2022 Поделиться Опубликовано 16 мая, 2022 Для меня основное это смогу ли я получить первичную стабильность имплантата. Смотрю на перегородку. На верхней челюсти иногда одномоментно с синусом можно при широкой септе. На нижней если тонкая перегородка, то смотрю на наличие кости за апексами до НАН. Ну и если тоненькая септа, то сразу думаю, что будут сложности. И пациента предупреждаю. Что планируем имплантацию сразу, но при малейшем подозрении у меня, что лучше отсрочить установку-поступаем именно так. С НКР в боковом ни разу не имплантировал пока и пожалуй не стал бы (одно чудо за один раз?) ). Очень интересно мнение более опытных коллег Ссылка на комментарий
chervoncevdaniil Опубликовано 16 мая, 2022 Автор Поделиться Опубликовано 16 мая, 2022 Понял,спасибо,толщину септы можно на КТ определить еще до удаления зуба или только в процессе после удаления? Ссылка на комментарий
Irouil Опубликовано 16 мая, 2022 Поделиться Опубликовано 16 мая, 2022 Для меня все зависит от целей При ШИКАРНЫХ условиях для одномоментной почти всегда такие же шикарные условия для отсроченной - значит, вопрос стоит в лишнем месяце ожидания и проведении двух маленьких и относительно лёгких вмешательств вместо одного более длительного и технического более сложного. В общем-то, эти факторы уже идут явно на усмотрение пациента Если условия для одномоментной хорошие (есть где фиксировать винт в ортопедически адекватной позиции), но с высокими рисками резорбции одной или другой стенки - это прямые показания. Если условия сложные - нет большого количества стенок лунки, нет возможности стабилизировать имплант в ортопедически верной позиции, присутствуют очень большие диструктивные/воспалительные одонтогенные процессы в проекции планируемой позиции имплантата - то это отсроченная 3 1 Ссылка на комментарий
Женька Опубликовано 16 мая, 2022 Поделиться Опубликовано 16 мая, 2022 @chervoncevdaniil на кт всё видно до вмешательства. Ссылка на комментарий
Большой Зеленый Опубликовано 19 мая, 2022 Поделиться Опубликовано 19 мая, 2022 По кт конечно. И очень важно атравматично удалить зуб не сломав перегородку. Я после рассечения корней прохожу пилотом .Если есть шаблон то еще лучше ,не соскользнет сверло. Сверху закрываю PRF мембранками 1 Ссылка на комментарий
chervoncevdaniil Опубликовано 20 мая, 2022 Автор Поделиться Опубликовано 20 мая, 2022 Условно из 100 человек с удалением зубов в боковом отделе,какое в среднем количество одномоментных имплантаций у вас?Я так понимааю,в отличие от фронта,эта процедура все таки редкая и особо большого смысла не имеет,каака писали выше Ссылка на комментарий
Большой Зеленый Опубликовано 20 мая, 2022 Поделиться Опубликовано 20 мая, 2022 Примерно 80 процентов . Просто не всегда удается сохранить перегородку . Она вроде бы есть ,а на деле все выгнило. Очень часто это не просто трещины корня, это огромные дефекты . Смысла нет толкать имплант в гной.. Ссылка на комментарий
Irouil Опубликовано 20 мая, 2022 Поделиться Опубликовано 20 мая, 2022 7 часов назад, chervoncevdaniil сказал: Условно из 100 человек с удалением зубов в боковом отделе,какое в среднем количество одномоментных имплантаций у вас?Я так понимааю,в отличие от фронта,эта процедура все таки редкая и особо большого смысла не имеет,каака писали выше 50/50 Любая имплантация проходит через ортопеда, один из них ярый противник одномоментных, поэтому отговаривает пациентов, два других - не отговаривают, в большинстве случаев протокол такой Из описанных мной вариантов (по условиям и целям), я бы сказал что примерно 25% относятся к первому, примерно 50% - ко второму и примерно 25% к третьему Ссылка на комментарий
pit Опубликовано 26 мая, 2022 Поделиться Опубликовано 26 мая, 2022 16.05.2022 в 08:01, chervoncevdaniil сказал: коллеги,можете пояснить,пожалуйста,как вы принимаете решение когда в боковом отделе можно удалить и сразу поставить имплант,удалить+костная пластика и сраазу имплантация,а когда идете отсрочено после удаления?какие основные критерии? 1. Отсутствие острого процесса 2. Достаточное количество мягких тканей 3. Возможность стабилизации импланта с расстоянием до вестибулярной стенки не менее 2 мм. Костная пластика (IDR), чаще НКР при утрате или повреждении вестибулярной стенки, но с сохранением мягких тканей. Ссылка на комментарий
Большой Зеленый Опубликовано 26 мая, 2022 Поделиться Опубликовано 26 мая, 2022 11 минут назад, pit сказал: . Возможность стабилизации импланта с расстоянием до вестибулярной стенки не менее 2 мм. А если стенки вестибулярной нет не будешь ставить? Ссылка на комментарий
pit Опубликовано 26 мая, 2022 Поделиться Опубликовано 26 мая, 2022 8 часов назад, Большой Зеленый сказал: А если стенки вестибулярной нет не будешь ставить? Буду и создам ее с помощью НКР или ИДР) Ссылка на комментарий
Большой Зеленый Опубликовано 27 мая, 2022 Поделиться Опубликовано 27 мая, 2022 Аналогично..) 4 1 Ссылка на комментарий
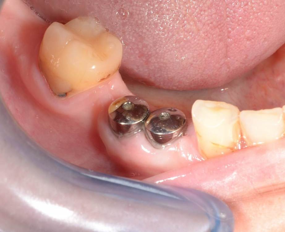
Большой Зеленый Опубликовано 27 мая, 2022 Поделиться Опубликовано 27 мая, 2022 Через 9 лет. Есть немного рецессии.. 2 Ссылка на комментарий
pit Опубликовано 27 мая, 2022 Поделиться Опубликовано 27 мая, 2022 4 часа назад, Большой Зеленый сказал: Через 9 лет. Есть немного рецессии.. Это связано исключительно с вестибулярной позицией импланта. Это как раз к вопросу про те минимальные 2мм до вестиболярной стенки, вне зависимости есть она или ты ее создаешь. Ссылка на комментарий
alboard Опубликовано 27 мая, 2022 Поделиться Опубликовано 27 мая, 2022 20.05.2022 в 08:28, Большой Зеленый сказал: Примерно 80 процентов . Просто не всегда удается сохранить перегородку . Она вроде бы есть ,а на деле все выгнило. Очень часто это не просто трещины корня, это огромные дефекты . Смысла нет толкать имплант в гной.. А в чем смысл ее сохранности, если препарируя под имплантат вы все равно ее в большинстве случаев сносите? Ссылка на комментарий
Большой Зеленый Опубликовано 27 мая, 2022 Поделиться Опубликовано 27 мая, 2022 4 часа назад, pit сказал: Это связано исключительно с вестибулярной позицией импланта. Это как раз к вопросу про те минимальные 2мм до вестиболярной стенки, вне зависимости есть она или ты ее создаешь. С тех пор я стал хитрее умнее и опытнее ))) 1 час назад, alboard сказал: А в чем смысл ее сохранности, если препарируя под имплантат вы все равно ее в большинстве случаев сносите? Первичная стабильность импланта зачастую достигается только перегородкой.. Ссылка на комментарий
Женька Опубликовано 27 мая, 2022 Поделиться Опубликовано 27 мая, 2022 @Большой Зеленый это вроде ваш старый кейс? напомните пожалуйста, тут присыпка+мембранинг вестибулярно и вестибулярным лоскутом слегка послабленным всё закрыли? Ссылка на комментарий
Большой Зеленый Опубликовано 28 мая, 2022 Поделиться Опубликовано 28 мая, 2022 12 часов назад, Женька сказал: @Большой Зеленый это вроде ваш старый кейс? напомните пожалуйста, тут присыпка+мембранинг вестибулярно и вестибулярным лоскутом слегка послабленным всё закрыли? Да все так и есть как Вы и описали. Работе почти 10 лет. Присыпка мп3 от остеобила сверху "ильгамовская" губка . Считаю что результат вполне удовлетворительный. Рецессия обусловлена как уже сказали выше вестибулярным положением импланта ,ну и недозаглублен чуток. Ссылка на комментарий
kriokov Опубликовано 3 июня, 2022 Поделиться Опубликовано 3 июня, 2022 26.05.2022 в 11:41, pit сказал: 2. Достаточное количество мягких тканей при тонком фенотипе пойдете на одномоментную? Ссылка на комментарий
pit Опубликовано 5 июня, 2022 Поделиться Опубликовано 5 июня, 2022 03.06.2022 в 15:06, kriokov сказал: при тонком фенотипе пойдете на одномоментную? Да, с десневой пластикой 2 Ссылка на комментарий
колесников Опубликовано 17 июня, 2022 Поделиться Опубликовано 17 июня, 2022 20.05.2022 в 07:25, chervoncevdaniil сказал: Условно из 100 человек с удалением зубов в боковом отделе,какое в среднем количество одномоментных имплантаций у вас?Я так понимааю,в отличие от фронта,эта процедура все таки редкая и особо большого смысла не имеет,каака писали выше 99 Ссылка на комментарий
Рекомендуемые сообщения
Для публикации сообщений создайте учётную запись или авторизуйтесь
Вы должны быть пользователем, чтобы оставить комментарий
Создать аккаунт
Зарегистрируйте новый аккаунт в нашем сообществе. Это очень просто!
Регистрация нового пользователяВойти
Уже есть аккаунт? Войти в систему.
Войти