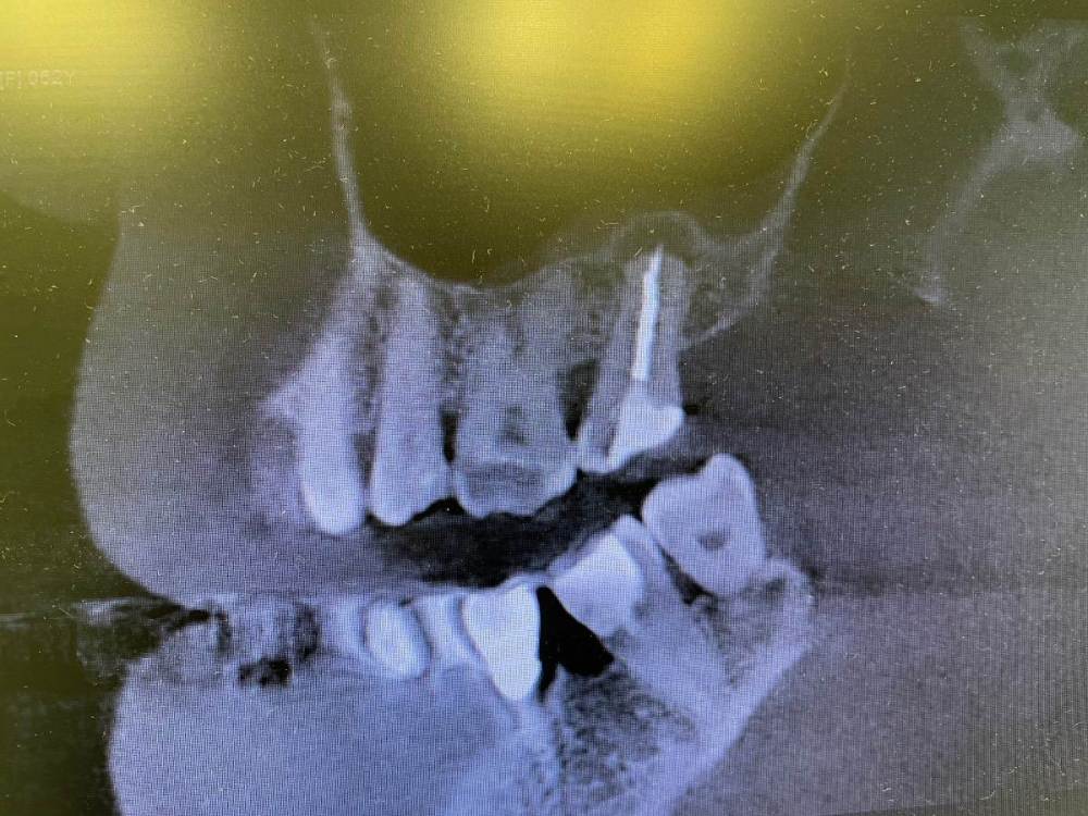
Кирилл Якимов Опубликовано 5 мая, 2022 Поделиться Опубликовано 5 мая, 2022 Добрый день, дорогие коллеги! Я начинающий врач, очень нужна конструктивная критика) 2.7 зуб, каналы лечили несколько лет назад(пациентка точно не помнит). Зуб не беспокоит. Сделал прицельные снимки + КТ. Есть очаг перирадикулярной деструкции+гуттаперча за апексом+резорбция. Принял решение зуб перелечить. Убрал старую пломбу и кариес, гутта в каналах мягкая, распломбировал довольно быстро Profile 25.06 25.04 и желтый Mtwo со стеночек+активация гипохлорита 3% U-file 15 стальным. Из-за апекса гуттаперчу вытащил H-file. В первый визит расширил до 70 K-file. Длина обеих каналов 18мм. Оставил кальций на 2 недели. Коллега микроскопист говорит, что нужно делать пробку МТА, дальше обтурация гибридной методикой, затем коронка и контрольное КТ через 6 мес. Подскажите пожалуйста, как и чем все таки лучше пломбировать такой зуб и какой наиболее вероятный прогноз? Кто что думает, в чем может быть причина такой резорбции? Ссылка на комментарий
Гарриевич Опубликовано 7 мая, 2022 Поделиться Опубликовано 7 мая, 2022 Упор нарезать удалось вам? Ссылка на комментарий
Кирилл Якимов Опубликовано 8 мая, 2022 Автор Поделиться Опубликовано 8 мая, 2022 Удалось, но апекс же широкий и резорбция. Такой апекс можно обтурировать гуттой? Ссылка на комментарий
Гарриевич Опубликовано 14 мая, 2022 Поделиться Опубликовано 14 мая, 2022 08.05.2022 в 20:54, Кирилл Якимов сказал: Удалось, но апекс же широкий и резорбция. Такой апекс можно обтурировать гуттой? Если есть упор, то не имеет значения какого он диаметра. Хоть 20, хоть 120. Модно закрывать гуттой. она сработает как пробка 1 1 Ссылка на комментарий
Кирилл Якимов Опубликовано 15 мая, 2022 Автор Поделиться Опубликовано 15 мая, 2022 Спасибо большое) Ссылка на комментарий
Рекомендуемые сообщения
Для публикации сообщений создайте учётную запись или авторизуйтесь
Вы должны быть пользователем, чтобы оставить комментарий
Создать аккаунт
Зарегистрируйте новый аккаунт в нашем сообществе. Это очень просто!
Регистрация нового пользователяВойти
Уже есть аккаунт? Войти в систему.
Войти