Перейти к содержанию
Стоматология для всех

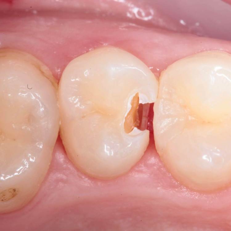
Очень глубоко на премоляре


Гарриевич

Рекомендуемые сообщения

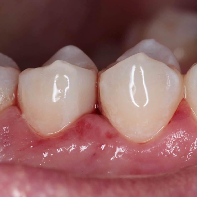
Как часто мы сталкиваемся с такими процессами и как редко пациент сам предъявляет какие то жалобы на такие зубы. Максимум это… застревание пищи. 
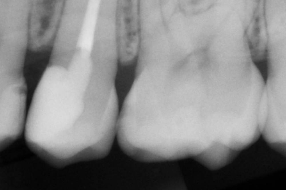
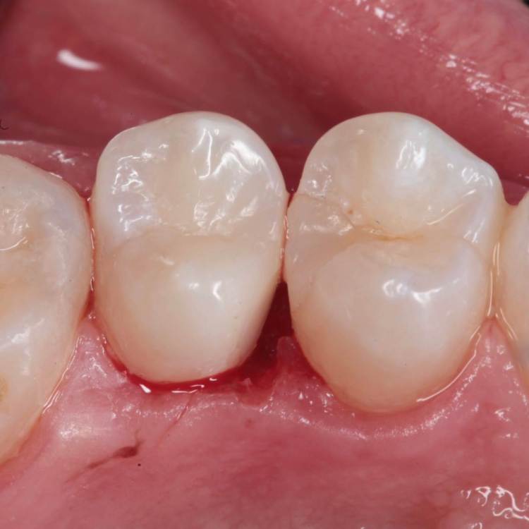
Глубина полости ниже уровня десневого края на 2-3 мм. Коагуляция, ENDO, анатомичный билдап, проверка качества реставрации и отсутсвие нависающего края (интерпроксимальный снимок), рекомендации. 
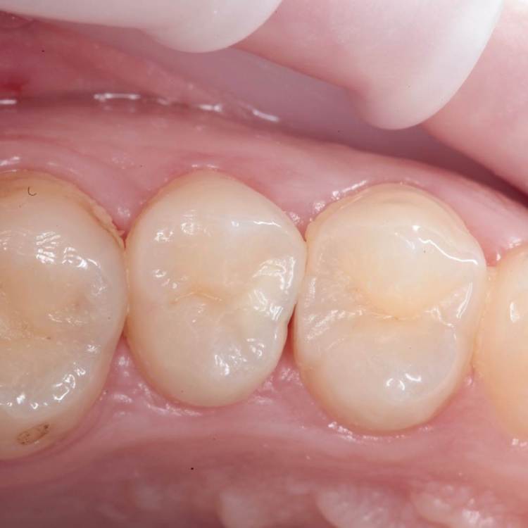
На следующий день никаких жалоб. 

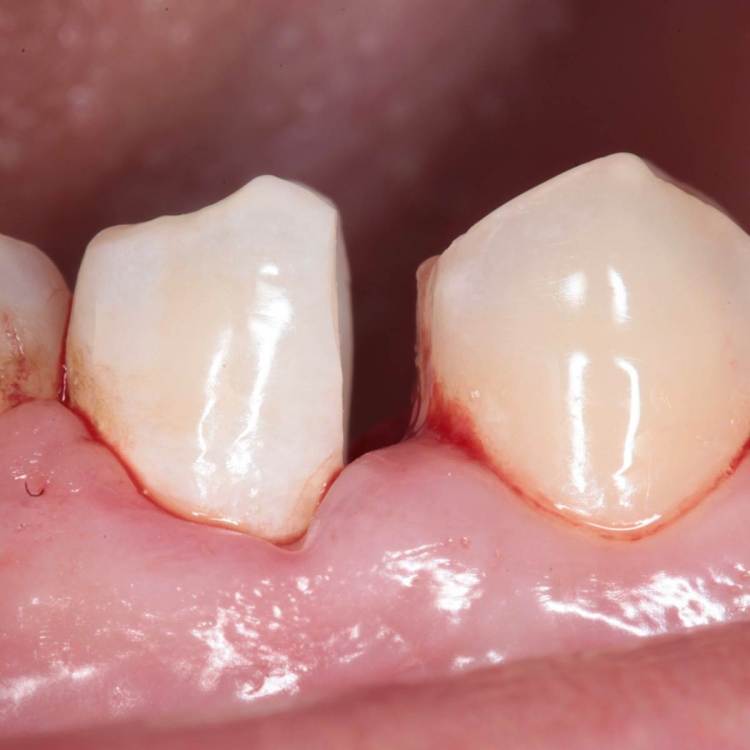
Доступ проводился шаровидным бором, синим финиром и аналогом бора endo z. 
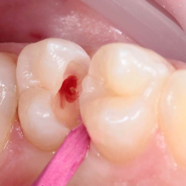
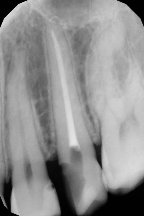
Эндо 25.06, 40.04, 60.02. Обтурация инжекторной техникой. Восстановление гармонайз а3 и желтая текучка от эстелайта (говорят ее сняли с производства, жаль, очень классный материал был)

5963C015-021D-4603-83EB-1B7C4EC2A03A.jpeg

3022FB78-BAAB-42BF-B3AF-0227AB92998E.jpeg

30EF52C5-9C32-4F17-B0D8-11F6C1318CF2.jpeg

94392E5B-F47D-44FA-B68F-9793487FB64F.jpeg

D3FF6326-447F-45C2-B480-A08F133EA19E.jpeg

57445AD6-CE3A-4B46-8299-2756A429260E.jpeg

6D407977-60C0-4763-B8F7-6A02EFB055C2.jpeg

8665933E-801F-40D9-958A-377C69ABCC79.jpeg

3172CEC7-6792-4E11-A876-0F1ACDF3F001.jpeg

54C5A7B5-7A61-41B3-A405-4038DBC13B64.jpeg

58D1CBE6-AA8E-4E50-8C2F-EB68D01241C0.jpeg

C8538986-BBB5-4300-B676-11E54D33FC10.jpeg

  • Like 2
  • Спасибо 2
Ссылка на комментарий

Для публикации сообщений создайте учётную запись или авторизуйтесь

Вы должны быть пользователем, чтобы оставить комментарий

Создать аккаунт

Зарегистрируйте новый аккаунт в нашем сообществе. Это очень просто!

Регистрация нового пользователя

Войти

Уже есть аккаунт? Войти в систему.

Войти
×
×
  • Создать...
Вверх