Faggott Опубликовано 30 апреля, 2022 Поделиться Опубликовано 30 апреля, 2022 Здравствуйте! 14 декабря прошлого года мне удалили 2 полностью ретинированные 8-ки слева. После операции левая часть моего языка онемела, и стоматолог сказал, что это пройдёт в срок до полугода, а для ускорения выздоровления можно пропить Мильгамма Композитум и/или посоветоваться с неврологом. В остальном всё было хорошо: боли почти не было, швы сняли планово, дёсны быстро зажили, отёка почти не было, синяк на нижней десне прошёл через пару недель. В общем, тогда: левая часть языка полностью онемела, вкусов не чувствовалось вообще. Сейчас: онемение почти прошло, вкусы чувствуются, но прикосновения к левой части языка похожи на надавливание на иголки через толстый слой ваты и язык очень остро реагирует на изменение температуры. Сейчас мне нужно удалить 2 полностью ретинированные 8-ки справа. 1. Есть ли справа какой-то нерв, при повреждении которого ситуация с языком может повториться? 2. Если есть, то: 2.1) что можно сделать для минимизации повреждений? (перед первым удалением мне сделали КТ, но это как-то не помогло уберечь нерв) 2.2) выше вероятность того, что случайный врач, выбранный по хорошим отзывам (хотя хорошие отзывы в прошлый раз тоже не помогли), повредит нерв с какой-то средней степенью вероятности, или того, что прежний хирург не повредит нерв во 2 раз? 3. Стоит ли менять хирурга? (я владею полными и достоверными данными только о собственном случае, поэтому статистически могу предсказать только 100% провал 2 операции, но вдрууууг у того врача всё чаще проходит удачно и он будет внимательнее (?) из-за чувства вины (?)/вдруг миф о бомбе, которая не попадает в одно место дважды, в стоматологии не миф. да и в незнакомое место к незнакомым людям очень страшно идти. а ещё придётся съездить в старую клинику и доплатить за запись КТ на диск, чтобы получить на руки результаты КТ) //я никого ни в чём не виню, я просто хочу остаться с языком. честно говоря, я бы лучше сломала руку, чем пережила бы онемение языка во второй раз Ссылка на комментарий
сирена Опубликовано 1 мая, 2022 Поделиться Опубликовано 1 мая, 2022 К прежнему хирургу идите.Он будет аккуратен. Язычного нерва на КТ не видно,он просто проходит в мягких тканях в зоне оперции . 1 1 Ссылка на комментарий
Faggott Опубликовано 1 мая, 2022 Автор Поделиться Опубликовано 1 мая, 2022 (изменено) А при удалении нижней 8-ки с правой стороны риск онемения языка такой же, как при удалении слева? Изменено 1 мая, 2022 пользователем Faggott Ссылка на комментарий
Faggott Опубликовано 1 мая, 2022 Автор Поделиться Опубликовано 1 мая, 2022 Беспорядочный поиск информации в интернете показал, что нервы в разных частях нижней челюсти расположены симметрично, а случаи парестезии с правой стороны встречаются в отзывах с такой же периодичностью, как парестезии после удаления слева. А было бы классно, если бы нервы лежали только слева(((( Я надеялась на этот исход. Если так подумать, то нужный момент для брекетов прошёл ещё в детстве, поэтому сейчас можно их не ставить и оставшиеся 8-ки сейчас не удалять. Вот когда они вырастут (правда под наклоном), тогда можно будет и удалить, да и вдруг вообще не вырастут. Вообще-то мне до слёз страшно возвращаться к предыдущему врачу. Наверное, я проконсультируюсь с неврологом по поводу способов поиска расположения нервов и максимально оттяну следующий визит к хирургу. Если на консультации с прежним врачом тоже будет страшно, то сменю клинику и хирурга. Ссылка на комментарий
Irouil Опубликовано 1 мая, 2022 Поделиться Опубликовано 1 мая, 2022 Покажите КТ Ссылка на комментарий
Faggott Опубликовано 1 мая, 2022 Автор Поделиться Опубликовано 1 мая, 2022 @Irouil, это действительно необходимо? Просто: 23 часа назад, Faggott сказал: придётся съездить в старую клинику и доплатить за запись КТ на диск, чтобы получить на руки результаты КТ Ссылка на комментарий
Faggott Опубликовано 1 мая, 2022 Автор Поделиться Опубликовано 1 мая, 2022 @Irouil, если результаты КТ действительно нужны для ответа на вопросы 2 и 3, то я загружу их 3 мая, когда выкуплю диск и найду дисковод. Если КТ необходимо для общей оценки ситуации (?), то, может быть, вы согласитесь дать более абстрактный совет? ? Ссылка на комментарий
Irouil Опубликовано 1 мая, 2022 Поделиться Опубликовано 1 мая, 2022 59 минут назад, Faggott сказал: @Irouil, если результаты КТ действительно нужны для ответа на вопросы 2 и 3, то я загружу их 3 мая, когда выкуплю диск и найду дисковод. Если КТ необходимо для общей оценки ситуации (?), то, может быть, вы согласитесь дать более абстрактный совет? ? КТ позволяет оценить расположение зуба относительно возможного расположения язычного нерва. Сам нерв на КТ не виден, но существует примерная вероятность его расположения в определённых областях в проекции местоположения нижнего зуба мудрости. Таким образом, КТ позволяет оценить насколько высока вероятность повреждения нерва при удалении нижнего зуба мудрости. Наличие положительной динамики в Вашем случае - очень хороший знак, вероятнее всего повреждение тракционное, то есть нерв просто растянут, но не нарушена его целостность. 1 Ссылка на комментарий
Irouil Опубликовано 1 мая, 2022 Поделиться Опубликовано 1 мая, 2022 Вообще говоря, если во всем остальном удаление прошло успешно, то я бы считал продолжение лечения у того же хирурга самым безопасным вариантом - от подобного осложнения не застрахован никто, но опыта конкретно Вашей анатомии у него сейчас больше всех в мире 1 Ссылка на комментарий
Faggott Опубликовано 2 мая, 2022 Автор Поделиться Опубликовано 2 мая, 2022 @Irouil, спасибо за ответ! Ссылка на комментарий
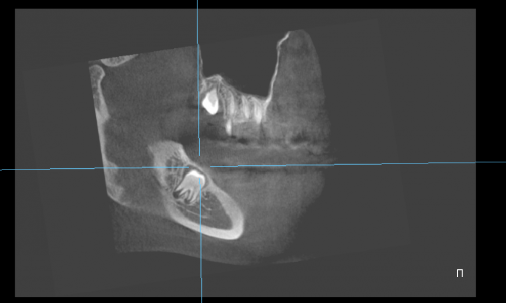
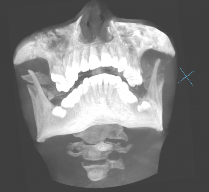
Faggott Опубликовано 3 мая, 2022 Автор Поделиться Опубликовано 3 мая, 2022 01.05.2022 в 21:50, Irouil сказал: Покажите КТ @Irouil, ссылка на DICOM-файлы из КТ: https://drive.google.com/file/d/1zzESnhJBWdFfQzYsPNaK6rfdAGsnEAcu/view?usp=sharing А это скрины 8-к (хотя я не уверена, что это нужные скрины) //было бы так хорошо, если бы мне кто-то раньше сказал, что КТ бесплатно высылают на почту (и высылают образ диска с программами и файлами, а не "файлы, которые вы сами открыть не сможете") и что на факультете, где есть ЭВМ и древние компы с линуксом, нет компов с дисководами //зато теперь у меня есть диск, который мне, к сожалению, некуда вставлять Ссылка на комментарий
Faggott Опубликовано 6 мая, 2022 Автор Поделиться Опубликовано 6 мая, 2022 @Irouil, @сирена, простите, пожалуйста, за беспокойство. Я буду очень благодарна, если вы подскажете, стоит ли вообще удалять правые 8-ки ?????????????????? Они вроде бы растут почти ровно, и с правой стороны прикус лучше, чем с левой, и место им вроде бы найдётся. Чем больше зубов, тем лучше, а 30 больше, чем 28, правда же? Или в этом случае отсутствие симметрии повредит сильнее уменьшения количества зубов? Ссылка на комментарий
Irouil Опубликовано 8 мая, 2022 Поделиться Опубликовано 8 мая, 2022 @Faggott простите, я сейчас в отпуске и просто не имею доступа к компьютеру, позволяющему посмотреть Ваш снимок Ссылка на комментарий
Faggott Опубликовано 9 мая, 2022 Автор Поделиться Опубликовано 9 мая, 2022 @Irouil, ничего страшного) Спасибо за помощь и хорошего Вам отпуска! 1 Ссылка на комментарий
Faggott Опубликовано 9 мая, 2022 Автор Поделиться Опубликовано 9 мая, 2022 В среду я иду на консультацию со своим хирургом, поэтому проблема решена и, думаю, тему можно закрывать. Ещё раз спасибо огромное всем ответившим ? Ссылка на комментарий
Faggott Опубликовано 2 июля, 2022 Автор Поделиться Опубликовано 2 июля, 2022 Сегодня мне удалили 8-ки. На это ушло 40 минут, примерно 10 (у меня сбито ощущение времени без часов, так что это очень приблизительный срок) из которых мы ждали действия анестезии. Анестезия уже отошла, и с языком всё просто прекрасно. Как и с остальными частями лица. Даже ничего не болит (из-за пакетика Нимесила, возможно). //а ещё мне дали классный кусок льда в синей грелке. не знаю, сильно ли это поможет, но я прикладываю его на 15 минут с промежутком в час. очень увлекательное занятие Вот и они: 3 Ссылка на комментарий
Рекомендуемые сообщения
Для публикации сообщений создайте учётную запись или авторизуйтесь
Вы должны быть пользователем, чтобы оставить комментарий
Создать аккаунт
Зарегистрируйте новый аккаунт в нашем сообществе. Это очень просто!
Регистрация нового пользователяВойти
Уже есть аккаунт? Войти в систему.
Войти