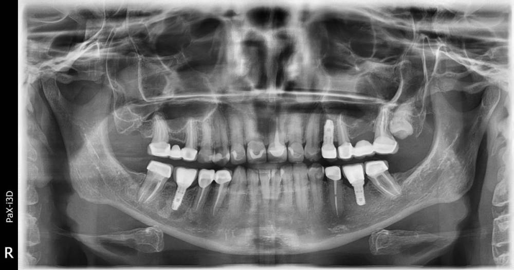
vse32 Опубликовано 7 апреля, 2022 Поделиться Опубликовано 7 апреля, 2022 Здравствуйте коллеги, прошу помощи. Имеем: пациентка 45 лет, заметное увеличение объема в районе угла н.ч. справа. Болей нет, вредных привычек нет, жует на обеих сторонах. Беспокоит только эстетика. При пальпации, как мне кажется, гипертрофия m. masseter справа. Фото и ОПТГ прилагаю. Посоветуйте - нужны ли какие-нибудь еще исследования? Цель - исключить "бяку". Какие есть способы коррекции? Ссылка на комментарий
wladdX Опубликовано 8 апреля, 2022 Поделиться Опубликовано 8 апреля, 2022 (изменено) Не удалось посмотреть картинки: просит куда-то войти, ну нет у меня аккаунта в Гоголе. Что у пациентки в анамнезе? Давно заметили? Скорость роста? Были подобные пациенты разного возраста и пола: гемангиома в области m. masseter. Кто-то оперирован ЧЛХ и онкологами, одна дама на динамическом наблюдении. Изменено 8 апреля, 2022 пользователем wladdX Ссылка на комментарий
vse32 Опубликовано 8 апреля, 2022 Автор Поделиться Опубликовано 8 апреля, 2022 Так фото видны? Ссылка на комментарий
vse32 Опубликовано 8 апреля, 2022 Автор Поделиться Опубликовано 8 апреля, 2022 2 минуты назад, wladdX сказал: Не удалось посмотреть картинки: просит куда-то войти, ну нет у меня аккаунта в Гоголе. Что у пациентки в анамнезе? Давно заметили? Скорость роста? Были подобные пациенты разного возраста и пола: гемангиома в области m. masseter. Кто-то оперирован ЧЛХ и онкологами, одна дама на динамическом наблюдении. Ее подруга заметила, не очень давно. Вроде о увеличении пока речи нет. Что конкретно по анамнезу? Ссылка на комментарий
wladdX Опубликовано 8 апреля, 2022 Поделиться Опубликовано 8 апреля, 2022 Видны. Угол рта справа приопущен. Не неврология ли? Ссылка на комментарий
vse32 Опубликовано 8 апреля, 2022 Автор Поделиться Опубликовано 8 апреля, 2022 4 минуты назад, wladdX сказал: гемангиома в области m. masseter. Как ее диагностируют? Узи? КТ с контрастами. Подскажите? Пальпаторно это можно заподозрить? 1 минуту назад, wladdX сказал: Видны. Угол рта справа приопущен. Не неврология ли? Да. По фото правая половина как уехавшая. Тоже была мысль. Ссылка на комментарий
wladdX Опубликовано 8 апреля, 2022 Поделиться Опубликовано 8 апреля, 2022 На мой взгляд стоит обследовать у онко и ЧЛХ. По картинкам большего не узреть. Да и Вы амбулаторно вряд ли что-то ещё найдёте. Ссылка на комментарий
vse32 Опубликовано 8 апреля, 2022 Автор Поделиться Опубликовано 8 апреля, 2022 В анамнезе есть смерть мужа, совсем недавно. Стресс есть, пол и возраст для неврологии подходящий. Что если ее предположить? Какие действия? Ссылка на комментарий
wladdX Опубликовано 8 апреля, 2022 Поделиться Опубликовано 8 апреля, 2022 М.тканные образования - МРТ, пункция и тп. Невролога тоже подключить 1 Ссылка на комментарий
vse32 Опубликовано 8 апреля, 2022 Автор Поделиться Опубликовано 8 апреля, 2022 1 минуту назад, wladdX сказал: М.тканные образования - МРТ, пункция и тп. Невролога тоже подключить Спасибо. Ссылка на комментарий
wladdX Опубликовано 9 апреля, 2022 Поделиться Опубликовано 9 апреля, 2022 Ещё можно предположить объёмный процесс в околоушной слюнной железе. В любом случае, направить к онкологу и ЧЛХ, неврологу 1 Ссылка на комментарий
annda Опубликовано 23 апреля, 2022 Поделиться Опубликовано 23 апреля, 2022 Видно,что прикус снижен.Видно,что бруксизм .Видно,что центр лица смещен,нос через 21й зуб проходит.Видно,что ветви нижней челюсти разные по длине.Видно,что гипертрофия жевательных мышц неравномерная на фоне всего этого.И угол нижней челюсти справа более выражен,куда мышцы крепятся.Как тут асимметрии лица не будет.У Савинова Алексея,царствие небесное, только такие и были на потоке,вот с такой асимметрией. Ссылка на комментарий
vse32 Опубликовано 23 апреля, 2022 Автор Поделиться Опубликовано 23 апреля, 2022 12 часов назад, annda сказал: Видно,что прикус снижен.Видно,что бруксизм .Видно,что центр лица смещен,нос через 21й зуб проходит.Видно,что ветви нижней челюсти разные по длине.Видно,что гипертрофия жевательных мышц неравномерная на фоне всего этого.И угол нижней челюсти справа более выражен,куда мышцы крепятся.Как тут асимметрии лица не будет.У Савинова Алексея,царствие небесное, только такие и были на потоке,вот с такой асимметрией. А делать то что? Какие дальнейшие рекомендации? Ссылка на комментарий
1586Doc Опубликовано 23 апреля, 2022 Поделиться Опубликовано 23 апреля, 2022 35 минут назад, vse32 сказал: А делать то что? Какие дальнейшие рекомендации? Узи уже делали? Если будет понятно, что это мышца - направляйте к гнатологу. Ссылка на комментарий
vse32 Опубликовано 23 апреля, 2022 Автор Поделиться Опубликовано 23 апреля, 2022 2 минуты назад, 1586Doc сказал: Узи уже делали? Если будет понятно, что это мышца - направляйте к гнатологу. Еще нет. Для начала надо понять где это делают. Ссылка на комментарий
1586Doc Опубликовано 23 апреля, 2022 Поделиться Опубликовано 23 апреля, 2022 55 минут назад, vse32 сказал: Еще нет. Для начала надо понять где это делают. в ЦНИИС точно делают 1 Ссылка на комментарий
annda Опубликовано 25 апреля, 2022 Поделиться Опубликовано 25 апреля, 2022 (изменено) Так реконструкцию прикуса надо делать. Если стресс еще на пике, надо его купировать как- то. Бруксизм не наш диагноз, неврологов. Безусловно, не отменяет необходимости исключить все вышеперечисленное. А потом заниматься этим. Изменено 25 апреля, 2022 пользователем annda Ссылка на комментарий
Рекомендуемые сообщения
Для публикации сообщений создайте учётную запись или авторизуйтесь
Вы должны быть пользователем, чтобы оставить комментарий
Создать аккаунт
Зарегистрируйте новый аккаунт в нашем сообществе. Это очень просто!
Регистрация нового пользователяВойти
Уже есть аккаунт? Войти в систему.
Войти