Карен Аванесов Опубликовано 11 февраля, 2022 Поделиться Опубликовано 11 февраля, 2022 все на слайдах. 2 Ссылка на комментарий
Дмитрий Л. Опубликовано 11 февраля, 2022 Поделиться Опубликовано 11 февраля, 2022 Прокомментируете? Ссылка на комментарий
Карен Аванесов Опубликовано 11 февраля, 2022 Автор Поделиться Опубликовано 11 февраля, 2022 10 минут назад, Дмитрий Л. сказал: Прокомментируете? Имею опыт по таким методам "присыпки", результаты хорошие, но не впечатли Ссылка на комментарий
АнтонТЛТ Опубликовано 11 февраля, 2022 Поделиться Опубликовано 11 февраля, 2022 Мембраны под рукой не было? Ссылка на комментарий
Карен Аванесов Опубликовано 11 февраля, 2022 Автор Поделиться Опубликовано 11 февраля, 2022 6 минут назад, АнтонТЛТ сказал: Мембраны под рукой не было? Всегда в запасе. но не в этот раз. Ссылка на комментарий
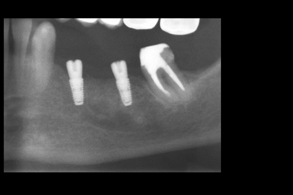
АнтонТЛТ Опубликовано 12 февраля, 2022 Поделиться Опубликовано 12 февраля, 2022 7 часов назад, Карен Аванесов сказал: Всегда в запасе. но не в этот раз. Я при таких сюрпризах делаю мобилизацию язычного лоскута, вестибулярный не мобилизирую, фдм вторым этапом. Что на 4 слайде справа? Ссылка на комментарий
Irouil Опубликовано 12 февраля, 2022 Поделиться Опубликовано 12 февраля, 2022 Кажется, там какой-то алографт на который сверху подсыпан ксено можно ли проследить вывод из работы, что лучше «без», чем «с»? Ссылка на комментарий
Карен Аванесов Опубликовано 12 февраля, 2022 Автор Поделиться Опубликовано 12 февраля, 2022 15 часов назад, АнтонТЛТ сказал: Я при таких сюрпризах делаю мобилизацию язычного лоскута, вестибулярный не мобилизирую, фдм вторым этапом. Что на 4 слайде справа? Делал и так ка ты написал. коллаген 15 часов назад, Irouil сказал: Кажется, там какой-то алографт на который сверху подсыпан ксено можно ли проследить вывод из работы, что лучше «без», чем «с»? Именно! и не только. Полезно смотреть старые работы. только не все пациенты исправно приходят Ссылка на комментарий
Fin Опубликовано 13 февраля, 2022 Поделиться Опубликовано 13 февраля, 2022 23 часа назад, Карен Аванесов сказал: Делал и так ка ты написал. коллаген Именно! и не только. Полезно смотреть старые работы. только не все пациенты исправно приходят Карен. Подскажите пожалуйста. Правильно ли я понял, что в на данный момент в такой ситуации (оголение импланта с вестибулярной стороны на половину) Вы бы обошлись просто установкой импланта + ССТ вестибулярно? Ссылка на комментарий
Bier Опубликовано 14 февраля, 2022 Поделиться Опубликовано 14 февраля, 2022 от подобной присыпки толку обычно нет. Ссылка на комментарий
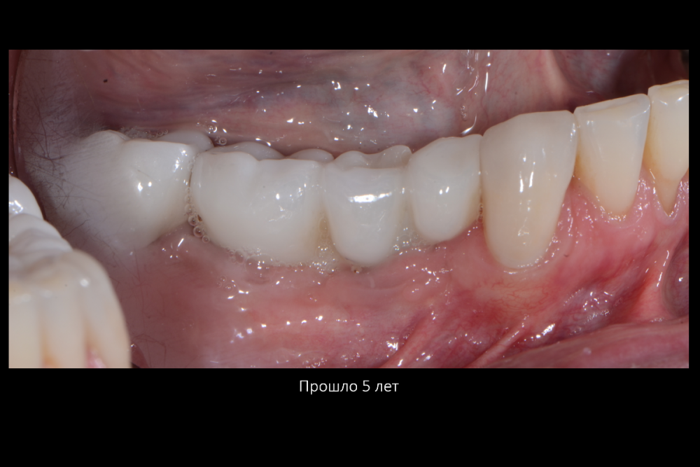
Карен Аванесов Опубликовано 15 февраля, 2022 Автор Поделиться Опубликовано 15 февраля, 2022 13.02.2022 в 22:56, Fin сказал: Карен. Подскажите пожалуйста. Правильно ли я понял, что в на данный момент в такой ситуации (оголение импланта с вестибулярной стороны на половину) Вы бы обошлись просто установкой импланта + ССТ вестибулярно? Да, именно так. 14.02.2022 в 10:33, Bier сказал: от подобной присыпки толку обычно нет. Олег, помнишь аник "темно здесь..." Вот только не начинай про полужесткие сосиски)))) Но ты прав или делпать по отработанной технологии или никак 1 Ссылка на комментарий
Карен Аванесов Опубликовано 15 февраля, 2022 Автор Поделиться Опубликовано 15 февраля, 2022 13.02.2022 в 22:56, Fin сказал: Карен. Подскажите пожалуйста. Правильно ли я понял, что в на данный момент в такой ситуации (оголение импланта с вестибулярной стороны на половину) Вы бы обошлись просто установкой импланта + ССТ вестибулярно? Это как вариант не на каждый случай конечно , но когда по делу все работает. Ссылка на комментарий
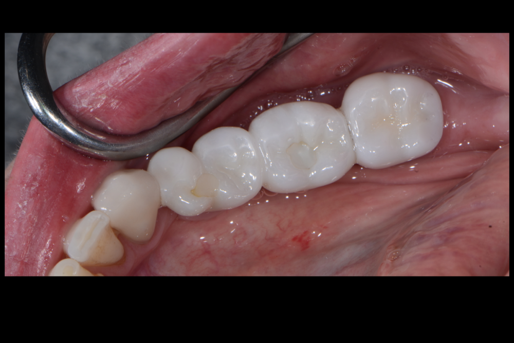
Fin Опубликовано 17 февраля, 2022 Поделиться Опубликовано 17 февраля, 2022 15.02.2022 в 15:30, Карен Аванесов сказал: Это как вариант не на каждый случай конечно , но когда по делу все работает. Понял. Выглядит очень экстремально. Ссылка на комментарий
Карен Аванесов Опубликовано 17 февраля, 2022 Автор Поделиться Опубликовано 17 февраля, 2022 3 часа назад, Fin сказал: Понял. Выглядит очень экстремально. Могу себе это позволить. Ссылка на комментарий
TIGER Опубликовано 19 февраля, 2022 Поделиться Опубликовано 19 февраля, 2022 @Карен Аванесов Карэн у меня созревает подобный эксперимент,посмотрим ??У тебя норм сработало) Ссылка на комментарий
Карен Аванесов Опубликовано 19 февраля, 2022 Автор Поделиться Опубликовано 19 февраля, 2022 4 часа назад, TIGER сказал: @Карен Аванесов Карэн у меня созревает подобный эксперимент,посмотрим ??У тебя норм сработало) Дофига уже материала накопилось, думаю мож курс замутить, за стописяттыщ за билет, это сейчас модно)))))) 1 2 Ссылка на комментарий
Fin Опубликовано 19 февраля, 2022 Поделиться Опубликовано 19 февраля, 2022 27 минут назад, Карен Аванесов сказал: Дофига уже материала накопилось, думаю мож курс замутить, за стописяттыщ за билет, это сейчас модно)))))) Я бы посетил Ваш курс?. Ссылка на комментарий
TIGER Опубликовано 20 февраля, 2022 Поделиться Опубликовано 20 февраля, 2022 @Карен Аванесов надо мутить?авторский курс) 2 Ссылка на комментарий
Рекомендуемые сообщения
Для публикации сообщений создайте учётную запись или авторизуйтесь
Вы должны быть пользователем, чтобы оставить комментарий
Создать аккаунт
Зарегистрируйте новый аккаунт в нашем сообществе. Это очень просто!
Регистрация нового пользователяВойти
Уже есть аккаунт? Войти в систему.
Войти