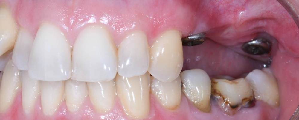
chervoncevdaniil Опубликовано 3 февраля, 2022 Поделиться Опубликовано 3 февраля, 2022 Коллеги,подскажите,пожалуйста,периодически от хирурга приходят пациента с такой ситуацией с мягкими тканями,как в области 27. Разъясните,пожалуйста,мне как ортопеду,есть ситуации где действительно сделать прикрепленку очень сложно и нужно искать какой то компромис?Я не для того,чтобы выснять отношения с хирургом,просто паациентам я всегда в таких ситуациях еще до примерки работы все показываю и разъясняю,но бывают ситуаации когда несмотря на это потом все раавно начинаются вопросы и недоваольства по поводу гигиены и прочего. P.S. Индивидуальные абатменты в данном случае по умолчанию,но они особо не решают проблемы Ссылка на комментарий
АнтонТЛТ Опубликовано 3 февраля, 2022 Поделиться Опубликовано 3 февраля, 2022 Тут без проблем создать прикрепленку Ссылка на комментарий
Женька Опубликовано 3 февраля, 2022 Поделиться Опубликовано 3 февраля, 2022 @chervoncevdaniil видимо придётся выяснять всё-таки отношения) Ссылка на комментарий
Irouil Опубликовано 3 февраля, 2022 Поделиться Опубликовано 3 февраля, 2022 (изменено) Надо бы КТ посмотреть, чтобы понять есть ли объективные сложности, но даже если так - разъяснением этих нюансов заниматься должен хирург, в моем понимании. По крайней мере я в таком виде работы не сдаю на протезку. на верхней челюсти обычно проблем с созданием прикрепления нет, небо рядом все таки, единственная причина, которую я могу себе представить тут - большой рубец пенетрирующий в пазуху вестибулярно, проходящий прямо у шейки импланта, который очень сложно рассечь чтобы сместить с неба лоскут на его место. Но это бывает так редко… у меня таких пациентов было всего 2 за всю мою практику, и то - полоску прикреплённой слизистой создать вокруг импланта получалось, просто гребень выходил с поднутрением P S отвечая на вопрос из ортопедической ветки - установленные формирователи не мешают провести коррекцию слизистой Изменено 3 февраля, 2022 пользователем Irouil Ссылка на комментарий
Карен Аванесов Опубликовано 3 февраля, 2022 Поделиться Опубликовано 3 февраля, 2022 1 час назад, АнтонТЛТ сказал: Тут без проблем создать прикрепленку Поддержу. как два пальца об асфальт. Проблема из ничего. Ссылка на комментарий
pit Опубликовано 3 февраля, 2022 Поделиться Опубликовано 3 февраля, 2022 С хирургической точки зрения - это дополнительный этап, который должен стоить денег, времени и физических страданий пациента Ссылка на комментарий
Карен Аванесов Опубликовано 3 февраля, 2022 Поделиться Опубликовано 3 февраля, 2022 2 часа назад, Женька сказал: @chervoncevdaniil видимо придётся выяснять всё-таки отношения) Крови хочешь Евгений?? Я думаю все хорошо закончится, хирург скажет ортопеду тебе надо, ты и делай. Ссылка на комментарий
chervoncevdaniil Опубликовано 4 февраля, 2022 Автор Поделиться Опубликовано 4 февраля, 2022 10 часов назад, pit сказал: С хирургической точки зрения - это дополнительный этап, который должен стоить денег, времени и физических страданий пациента В этом и вопрос,я понимаю что это достаточно неприятная процедура для пациента плюс стоит доп затрат,а они на временные коронки то на имплантах в случае маленьких работ очень возмущаются. Как вы решаете такие ситуации,пластика всегда и если пациент отказывается то не идете на уступки?или ак это происходит в реальной практике,а не в идеальном мире,где пациент готов несколько раз делать хирургию,оплачивать временные коронки и ждать сколько потребуется для коронки на импланте в области седьмого зуба Ссылка на комментарий
pit Опубликовано 4 февраля, 2022 Поделиться Опубликовано 4 февраля, 2022 3 часа назад, chervoncevdaniil сказал: В этом и вопрос,я понимаю что это достаточно неприятная процедура для пациента плюс стоит доп затрат,а они на временные коронки то на имплантах в случае маленьких работ очень возмущаются. Как вы решаете такие ситуации,пластика всегда и если пациент отказывается то не идете на уступки?или ак это происходит в реальной практике,а не в идеальном мире,где пациент готов несколько раз делать хирургию,оплачивать временные коронки и ждать сколько потребуется для коронки на импланте в области седьмого зуба На временных коронках ничего не вырастает и не кератинизируется. На них всего лишь перераспределяется объем десны, при условии, что Вы отрабатываете трансгингивальную и промежуточную части протеза. Все тоже самое, даже лучше, можно достичь на постоянных коронках сразу. В своей практике я выполнил много следующих работ: 1. Вр коронки при немедленной нагрузке - без какой-либо коррекции 2. постоянные коронки, когда я снимал оттиски в момент открытия имплантов на 2-ом этапе. Естественно, я их наблюдал. При алгоритмичном подходе с техниками, по моделировке трангингивальных и промежуточных частей протезов- никакой разницы в отдаленном периоде нет. Далеко не все соглашаются на десневую пластику, если она выполняется отдельным этапом. А для кератинизированной десны, чаще требуется отделный этап, который сложно (или невозможно) совместить с установкой ФД или выполнить на уже установленных ФД. Чисто технически. Для чего нужна ЗПКД? Только для улучшения (облегчения проведения) личной гигиены, и все. поэтому, если не заниматься десневой пластикой, то: 1. Импланты тишью левел 2. касательная промежуточная часть протеза и черные треугольники у имплантов 3. ДЦ коронки без облицовки. Обычно, если пациент отказывается от десневой пластики, я рекомендую изготовить ДЦ коронки полной формы. Разумеется рассказываю о преимуществах и недостатках 1 Ссылка на комментарий
Женька Опубликовано 4 февраля, 2022 Поделиться Опубликовано 4 февраля, 2022 Поэтому кмк лучший вариант эту пластику делать не отдельным этапом. Обычно планирую сразу и рассказываю о пользе и плюсах процедуры и о послеоперационных ощущениях. Но если не планировали, то в момент имплантации предлагаю и пока ещё никто не отказывался. Правда и стоимость этой процедуры у нас всего 5 тысяч. 3 часа назад, pit сказал: Только для улучшения (облегчения проведения) личной гигиены, и все. Но ведь если гигиена будет страдать, то это может привести и к периимплантиту, так? Ссылка на комментарий
dimmonix Опубликовано 4 февраля, 2022 Поделиться Опубликовано 4 февраля, 2022 Интересно было бы еще узнать на какой глубине имплант.... Ссылка на комментарий
chervoncevdaniil Опубликовано 4 февраля, 2022 Автор Поделиться Опубликовано 4 февраля, 2022 15 минут назад, dimmonix сказал: Интересно было бы еще узнать на какой глубине имплант.... Там ксайф,внутренний шестигранник,но десны над платформой мало,около 1-1.5 миллиметра где то Ссылка на комментарий
Raystom Опубликовано 4 февраля, 2022 Поделиться Опубликовано 4 февраля, 2022 5 часов назад, chervoncevdaniil сказал: Там ксайф,внутренний шестигранник,но десны над платформой мало,около 1-1.5 миллиметра где то Тогда к хирургу Ссылка на комментарий
Рекомендуемые сообщения
Для публикации сообщений создайте учётную запись или авторизуйтесь
Вы должны быть пользователем, чтобы оставить комментарий
Создать аккаунт
Зарегистрируйте новый аккаунт в нашем сообществе. Это очень просто!
Регистрация нового пользователяВойти
Уже есть аккаунт? Войти в систему.
Войти