Карен Аванесов Опубликовано 2 февраля, 2022 Поделиться Опубликовано 2 февраля, 2022 Достал меня тогда этот акробат (пациент связывает парафункциональную активность с акробатикой), пломбы приносил в руках стабильно через каждый месяц, тяжелое испытание переделывать по гарантии стабильно и бесконечно. Ну подвернулись мне под руку парапульпарные штифты и думаю почему бы и нет? Пломба "стоит" до сих пор. Периодически, в особо "сложных" ситуациях применяю, но крайне осторожно. 2 1 Ссылка на комментарий
Карен Аванесов Опубликовано 2 февраля, 2022 Автор Поделиться Опубликовано 2 февраля, 2022 болею делать нечего бомблю кейцами 3 1 Ссылка на комментарий
Doc Опубликовано 2 февраля, 2022 Поделиться Опубликовано 2 февраля, 2022 Прикольно :))) 1 Ссылка на комментарий
Карен Аванесов Опубликовано 2 февраля, 2022 Автор Поделиться Опубликовано 2 февраля, 2022 1 час назад, Doc сказал: Прикольно :))) Мотивация.... выпала пломба или нет, показатель качества работы стоматолога. 1 Ссылка на комментарий
Большой Зеленый Опубликовано 3 февраля, 2022 Поделиться Опубликовано 3 февраля, 2022 Карен,ты же понимаешь что пломбами здесь не помочь. Надо к ортодонтам .. Ссылка на комментарий
red_butler Опубликовано 3 февраля, 2022 Поделиться Опубликовано 3 февраля, 2022 3 часа назад, Большой Зеленый сказал: Карен,ты же понимаешь что пломбами здесь не помочь. Надо к ортодонтам .. Не всех нужно и можно уговаривать на ортодонтию, я после того как первая жена пролечилась на брекетах, перестал всех поголовно с неправильным прикусом уговаривать на коррекцию ))) 2 Ссылка на комментарий
Женька Опубликовано 3 февраля, 2022 Поделиться Опубликовано 3 февраля, 2022 @red_butler слишком красивая стала?)))) 2 1 Ссылка на комментарий
Карен Аванесов Опубликовано 3 февраля, 2022 Автор Поделиться Опубликовано 3 февраля, 2022 4 часа назад, Женька сказал: @red_butler слишком красивая стала?)))) Женька ты дошутишься, Женька ты доскачешься. До поры до времени, а потом спохватишся. Женька ты дошутишься, Женька ты доскачешься. Камушком под горочку полетишь, покатишься.)))))))))))))))))))))))))))))))))) 6 часов назад, red_butler сказал: Не всех нужно и можно уговаривать на ортодонтию, я после того как первая жена пролечилась на брекетах, перестал всех поголовно с неправильным прикусом уговаривать на коррекцию ))) Долго ждать потом возвращения, а некоторые и не выдерживают долгой разлуки и после ортодонтии уже ничего не хотят, любовь проходит. 1 Ссылка на комментарий
Карен Аванесов Опубликовано 3 февраля, 2022 Автор Поделиться Опубликовано 3 февраля, 2022 9 часов назад, Большой Зеленый сказал: Карен,ты же понимаешь что пломбами здесь не помочь. Надо к ортодонтам .. Андрей, в ортодонтах на данной работе смысла не вижу, именно пломбы и коррекция гигиенических привычек. Ссылка на комментарий
Карен Аванесов Опубликовано 3 февраля, 2022 Автор Поделиться Опубликовано 3 февраля, 2022 10 часов назад, Большой Зеленый сказал: Карен,ты же понимаешь что пломбами здесь не помочь. Надо к ортодонтам .. И большие повреждения, в данной ситуации вызваны ятрогенией со стороны терапевтов, которые ошибочно вгрызались внутрь зуба. я и сам так делал после учебы, потом переучился. Ссылка на комментарий
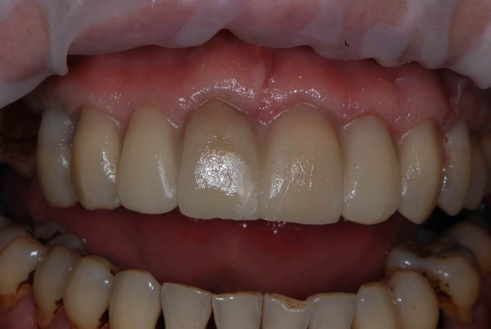
Карен Аванесов Опубликовано 3 февраля, 2022 Автор Поделиться Опубликовано 3 февраля, 2022 11 часов назад, Большой Зеленый сказал: Карен,ты же понимаешь что пломбами здесь не помочь. Надо к ортодонтам .. Андрей! а эту куда?)))) у нее мама стоматолог, лечится таки не стала, так и ходит, а планы были на нее ого го!!)))) Ссылка на комментарий
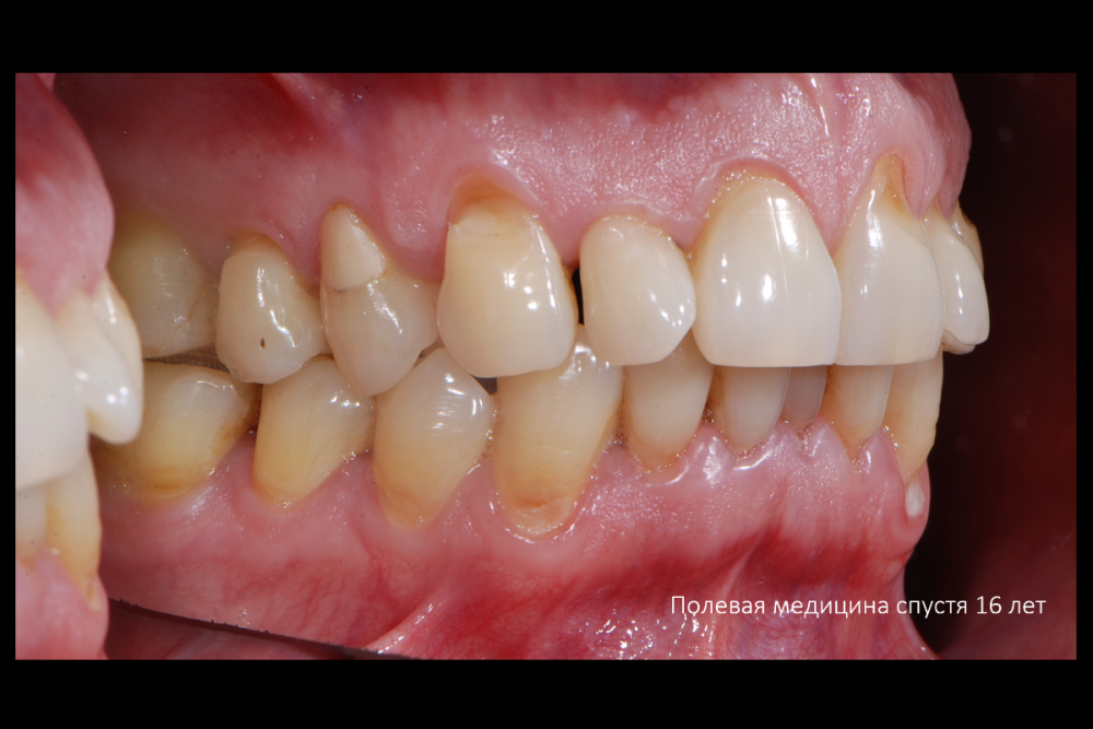
Карен Аванесов Опубликовано 3 февраля, 2022 Автор Поделиться Опубликовано 3 февраля, 2022 Зубы стабильны, линия улыбки низкая, ну почемубы не сделать зубы чуть больше, как у лошади например?)))) Это мокам верх. Подумала, финансово прикинула, что можно и так походит, ну и ходит наверное, это ее выбор Ссылка на комментарий
Марья Моревна Опубликовано 3 февраля, 2022 Поделиться Опубликовано 3 февраля, 2022 15 часов назад, red_butler сказал: Не всех нужно и можно уговаривать на ортодонтию, я после того как первая жена пролечилась на брекетах, перестал всех поголовно с неправильным прикусом уговаривать на коррекцию ))) А что случилось ( если не секрет)? Ссылка на комментарий
Дмитрий Л. Опубликовано 14 февраля, 2022 Поделиться Опубликовано 14 февраля, 2022 Клиновидные жидким делаете или пакуемым? Ссылка на комментарий
Карен Аванесов Опубликовано 15 февраля, 2022 Автор Поделиться Опубликовано 15 февраля, 2022 18 часов назад, Дмитрий Л. сказал: Клиновидные жидким делаете или пакуемым? В зависимости от объема дефекта, если много ткани потерянно пакуемый, жидкотекучий удобно, но мягковат и усадка дает о себе знать. Ссылка на комментарий
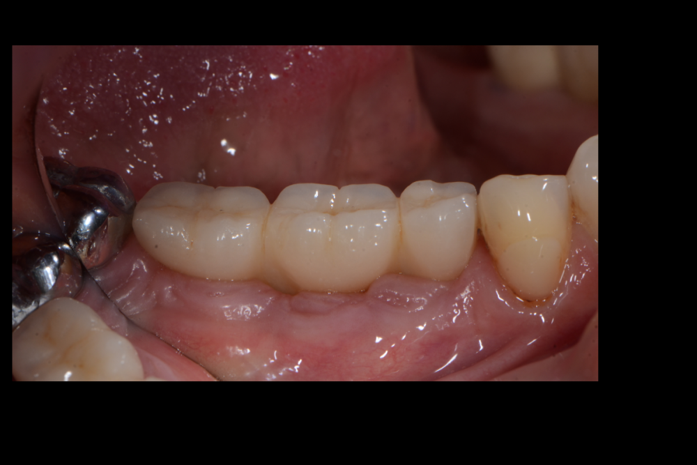
Карен Аванесов Опубликовано 15 февраля, 2022 Автор Поделиться Опубликовано 15 февраля, 2022 Это каризма паста, до импантатов эта пломба держала кламер бюгеля, сейчас 13 год службы идет. фото сразу после лечения и полировки, а начальной ситуации нет,но была эрозия. Ссылка на комментарий
Karqusha Опубликовано 22 марта, 2023 Поделиться Опубликовано 22 марта, 2023 @Большой Зеленый Не всё решает ортодонт На сколько мне известно, для появления клиновидных дефектов нужны как минимум два условия из трёх: Абразия, Абфракция, Эрозия 1 Ссылка на комментарий
Рекомендуемые сообщения
Для публикации сообщений создайте учётную запись или авторизуйтесь
Вы должны быть пользователем, чтобы оставить комментарий
Создать аккаунт
Зарегистрируйте новый аккаунт в нашем сообществе. Это очень просто!
Регистрация нового пользователяВойти
Уже есть аккаунт? Войти в систему.
Войти