Карен Аванесов Опубликовано 31 января, 2022 Поделиться Опубликовано 31 января, 2022 Сразу после уна начал работать "каризьмой", потом филтеки, шмилтеки, эстетиксы (материал супер), градии, че там еще то? керровская продукция, керамейдж, но вот сейчас снова вернулся к "каризьме", очень живучая и вообще, но их столько развелось и "брилиантовая" и жемчужная, кто работает "каризьмой" и какой отпишитесь, какя лучше и для чего. потом покажу как градия состаривается. 1 2 Ссылка на комментарий
Александр23712 Опубликовано 31 января, 2022 Поделиться Опубликовано 31 января, 2022 (изменено) @Карен Аванесов Это смарт или классик (зеленая или красная), или еще какая? Покажите пожалуйста градию, я как раз ей отдал предпочтение, мануально больше понравилась - харизма сухая какая-то ? Изменено 31 января, 2022 пользователем Александр23712 Ссылка на комментарий
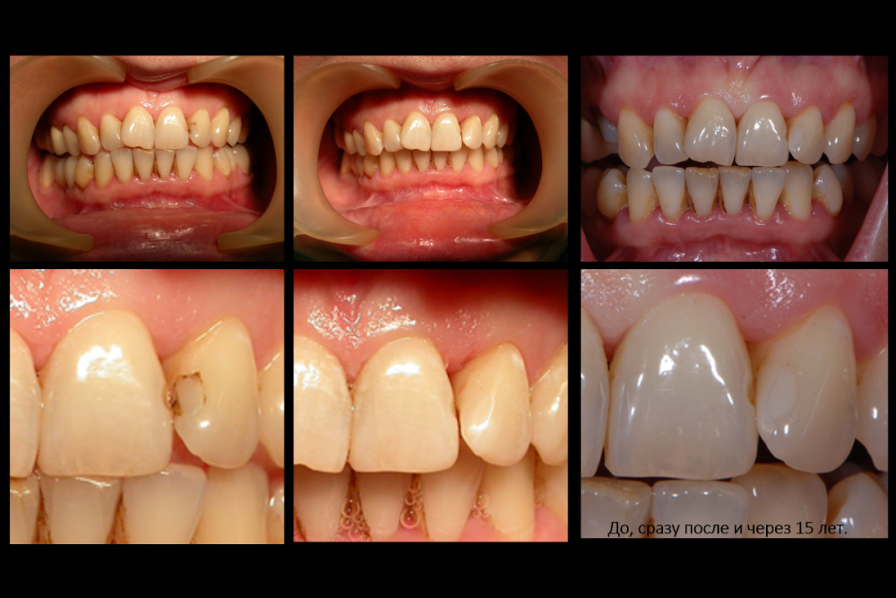
Дмитрий Л. Опубликовано 1 февраля, 2022 Поделиться Опубликовано 1 февраля, 2022 Краевое прилегание отличное, ну поменялся цвет за 15 лет, неважно это. Меня больше удивляет то, что была оставлена апроксимальная пигментация на 2.1 и она не прогрессировала. Ссылка на комментарий
Карен Аванесов Опубликовано 1 февраля, 2022 Автор Поделиться Опубликовано 1 февраля, 2022 21 час назад, Александр23712 сказал: @Карен Аванесов Это смарт или классик (зеленая или красная), или еще какая? Покажите пожалуйста градию, я как раз ей отдал предпочтение, мануально больше понравилась - харизма сухая какая-то ? Да классик, а градия дайрект джи си, моделировать ее легко было, но мягкая, стирается быстро. 5 часов назад, Дмитрий Л. сказал: Краевое прилегание отличное, ну поменялся цвет за 15 лет, неважно это. Меня больше удивляет то, что была оставлена апроксимальная пигментация на 2.1 и она не прогрессировала. Эта пигментация, от предыдущего доктора, он неаккуратно задел резец во время препарирования, пациентка трогать это не захотела, уговаривать утомляет. нравится - пусть так и ходит. Ссылка на комментарий
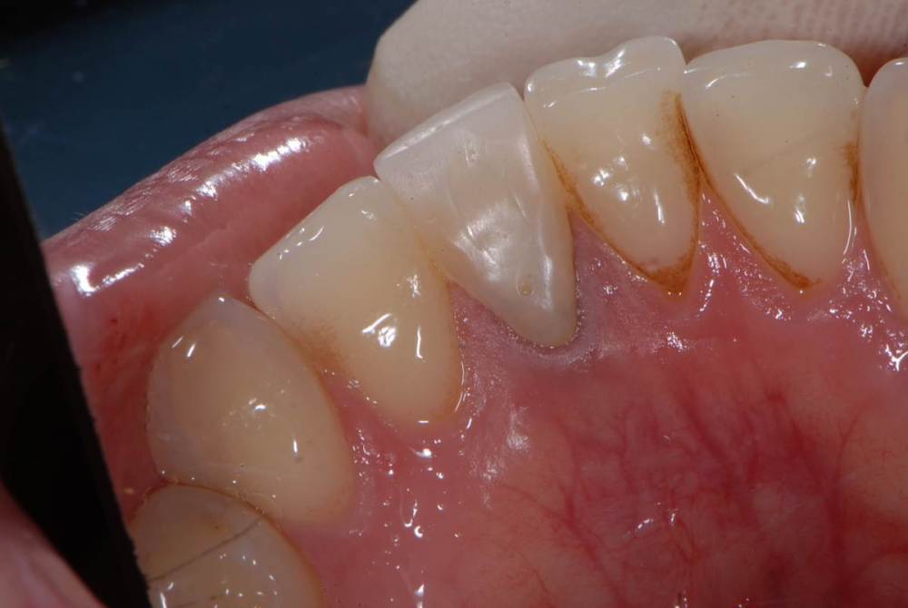
Карен Аванесов Опубликовано 1 февраля, 2022 Автор Поделиться Опубликовано 1 февраля, 2022 вот она градиа дайрект джи си, фото без предворительных ласк, как то полировка и подмазка композита, чем грешет композитные шаманы лектора. Опять же плюс С.В. Радлинскому, который честно показывает отдаленые результаты работы с композитом. Самый живыучий материал по моим личным наблюдениям эстетикс. 2 1 Ссылка на комментарий
Александр23712 Опубликовано 1 февраля, 2022 Поделиться Опубликовано 1 февраля, 2022 @Карен Аванесов Ну, как на меня для 14 лет довольно неплохо сохранилась. Я в какой-то книжке вообще читал исследования, что срок жизни пломбы в среднем 5 лет. 21 травмы не было? Это режущий подстерся так, но + и зенит ушел? Ссылка на комментарий
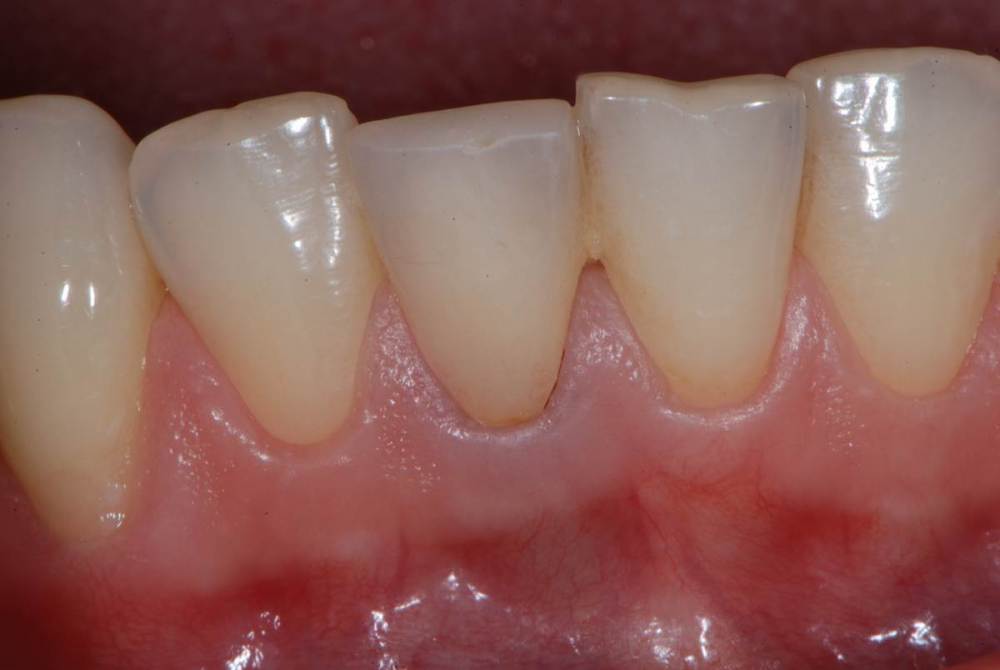
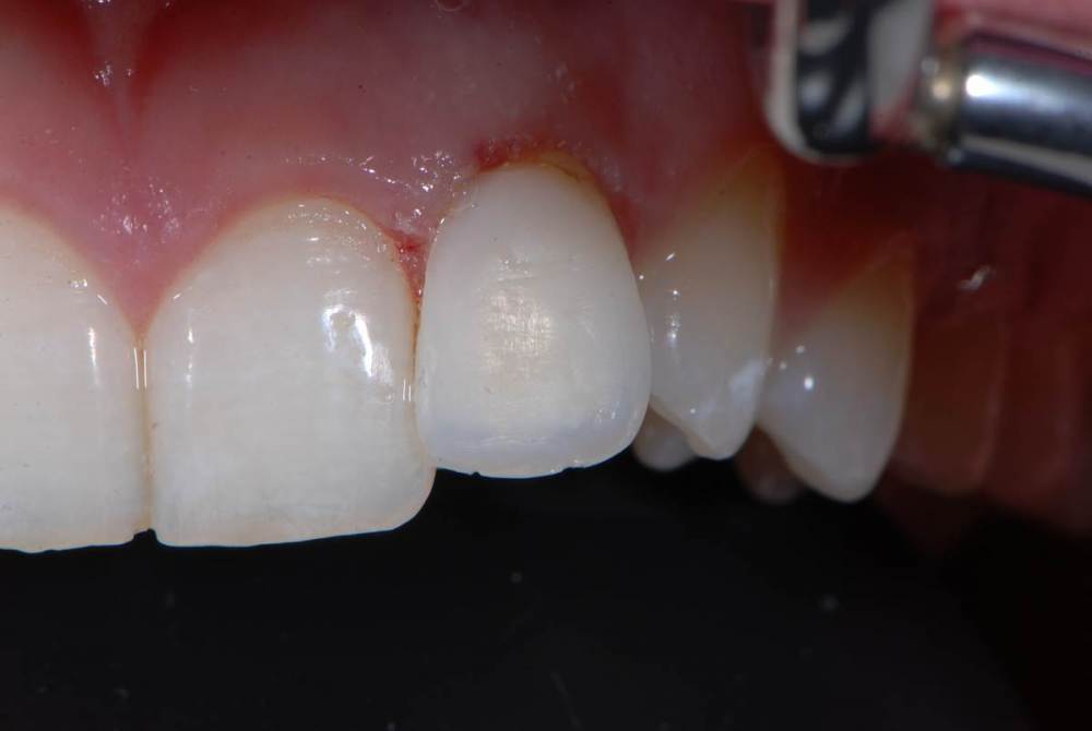
Карен Аванесов Опубликовано 2 февраля, 2022 Автор Поделиться Опубликовано 2 февраля, 2022 стандарт 5 лет был бы неплох, но он не вписывается в менталитет пациентов, да и врачей тоже, особо если проводить аналогию с телефонами, сотку на новый тел не жалко, а пару тысяч на новую пломбу ну знаете ли это слишком))) При всей унылости композита, мне доставляет что пародонту я не навредил. травм со слов пациентки не было, очевидно активно использовала зуб, ну и градия самый мягкий композит из тех что я применял вот тоже градия плюс гласс конектор мичерум и краски керр и конечно же пришлось все вписывать дугй в имеющиеся окклюзионные условия) Ссылка на комментарий
Карен Аванесов Опубликовано 2 февраля, 2022 Автор Поделиться Опубликовано 2 февраля, 2022 фото 3 2 Ссылка на комментарий
Александр23712 Опубликовано 3 февраля, 2022 Поделиться Опубликовано 3 февраля, 2022 @Карен Аванесов Красиво! Это тоже, как я понимаю, до, сразу после и через некоторое время? Гигиена кажется немного страдает у пациента. Вестибулярную поверхность всю перекрываете? Меня тоже в ступор иногда вводит отношение - один пришел, говорит, свои зубы не нравятся, давайте мне сейчас здоровые поудаляем, я потом себе импланты поставлю, другой - я зубы щеткой не чищу, только ополаскивателем пользуюсь (Листерином!) ? С коронками та же петрушка - от зуба 1 или 1,5 стенки осталось, "А можно мне пломбу, на коронку денег нет пока что". Я просто сижу, смотрю на это и не знаю, что делать. Ссылка на комментарий
Карен Аванесов Опубликовано 3 февраля, 2022 Автор Поделиться Опубликовано 3 февраля, 2022 Хронологию сейчас не вспомню точно. Прямое композитное восстановление обладает выраженным гипнотическим действием на пациентов с оч сильной привязкой, мои личные наблюдения. Конечно если рядом нет нормального техника, то такой подход выручает. Если от зуба пости ничего не осталость я могу восстановить, НО!!! никаких свш, только титан или татюнь как штифт. Про финансы понять как бы можно и если начать играть в правильного врача, ровного такого, как на некоторых курсах дартаньяны разные учат, то можно остаться без работы. Вот Вы говорите не знаете что делать, делайте, но покажите пациенту как это потом будет выглядеть, что бы к Вам потом не лезли. Ссылка на комментарий
Карен Аванесов Опубликовано 3 февраля, 2022 Автор Поделиться Опубликовано 3 февраля, 2022 4 часа назад, Александр23712 сказал: @Карен Аванесов Красиво! Это тоже, как я понимаю, до, сразу после и через некоторое время? Гигиена кажется немного страдает у пациента. Вестибулярную поверхность всю перекрываете? Меня тоже в ступор иногда вводит отношение - один пришел, говорит, свои зубы не нравятся, давайте мне сейчас здоровые поудаляем, я потом себе импланты поставлю, другой - я зубы щеткой не чищу, только ополаскивателем пользуюсь (Листерином!) ? С коронками та же петрушка - от зуба 1 или 1,5 стенки осталось, "А можно мне пломбу, на коронку денег нет пока что". Я просто сижу, смотрю на это и не знаю, что делать. я применяю такие рестоврации как скорюю помошь, без каких либо гарантий и требований к эстетике и тд при этом пациент получает сразу то что хочет, за чем и пришел, разумеется моделировать прозрачку и тд на таких работах смысла не вижу, а тренить можно на модели Ссылка на комментарий
Карен Аванесов Опубликовано 3 февраля, 2022 Автор Поделиться Опубликовано 3 февраля, 2022 Это "упражнение" по моделировке зуба назвал гусиная лапка))) не знаю чему там учат на курсах, но за 15 минут слепить можно все что хочешь, надо только понимать материал сккоторыи работаешь. по поводу полировки, время только тратить, даже самую отличнюю полировку пациент уничтожит щеткой через неделю, а вот если не наполировывать, эффект будет то что надо, пациент сам все дополирует, и тут соответтсвие цены и времязатрат Ссылка на комментарий
Карен Аванесов Опубликовано 3 февраля, 2022 Автор Поделиться Опубликовано 3 февраля, 2022 после нескольких неудачных попыток сделать коронку и видя постепенно нарастание кипения у пациента, делпъаю прямую реставрацию прям на вкладку, до их пор пациент с ней ходит это до сих пор длится уже 11 год, но теперь если что, то скорее всего имплп=антат. вобщем навыки прямой работы с композитом выручили. Двеи нижние фото композит вкладку закрасил опауом из материала керамейдж Ссылка на комментарий
Александр23712 Опубликовано 3 февраля, 2022 Поделиться Опубликовано 3 февраля, 2022 @Карен Аванесов Да, у меня как раз этот вопрос в голове - вроде хочется делать качественно и надежно, но оказывается не у всех есть на это деньги. А по факту, при плохом стечении обстоятельств, им придется платить еще больше, чем если бы нормально сразу. Мне тогда интересно, по поводу скорой помощи - а как это технически происходит, вот пац в кресле сидит, я ему напрямую сразу вопрос задаю - "Вам подешевле и побыстрее или покрасивее и покачественней?" или я по ботинкам должен смотреть или еще как? Ссылка на комментарий
Карен Аванесов Опубликовано 3 февраля, 2022 Автор Поделиться Опубликовано 3 февраля, 2022 Только что, Александр23712 сказал: @Карен Аванесов Да, у меня как раз этот вопрос в голове - вроде хочется делать качественно и надежно, но оказывается не у всех есть на это деньги. А по факту, при плохом стечении обстоятельств, им придется платить еще больше, чем если бы нормально сразу. Мне тогда интересно, по поводу скорой помощи - а как это технически происходит, вот пац в кресле сидит, я ему напрямую сразу вопрос задаю - "Вам подешевле и побыстрее или покрасивее и покачественней?" или я по ботинкам должен смотреть или еще как? Все дискутабельно и пусть в меня кудают камни, на все воля Божья, каждый получает то что заслуживает. а про выбор вариантов лечения, я гдето прочитал, америаканский подход, вариант лечения предлагается исходя из того....... в какой обуви пришел пациент)))) работает, проверено как практика показывает, надежно и красиво это не всем надо, а на каждого пациента страраться да еще и без адекватной оплаты, это путь к проф деформации и неврозам, зачем? Ссылка на комментарий
Карен Аванесов Опубликовано 3 февраля, 2022 Автор Поделиться Опубликовано 3 февраля, 2022 4 минуты назад, Александр23712 сказал: @Карен Аванесов Да, у меня как раз этот вопрос в голове - вроде хочется делать качественно и надежно, но оказывается не у всех есть на это деньги. А по факту, при плохом стечении обстоятельств, им придется платить еще больше, чем если бы нормально сразу. Мне тогда интересно, по поводу скорой помощи - а как это технически происходит, вот пац в кресле сидит, я ему напрямую сразу вопрос задаю - "Вам подешевле и побыстрее или покрасивее и покачественней?" или я по ботинкам должен смотреть или еще как? самое главное Вы хотите делать хорошо и стремитесь к этому, а значит так и будет. Ссылка на комментарий
Карен Аванесов Опубликовано 3 февраля, 2022 Автор Поделиться Опубликовано 3 февраля, 2022 а пациенты разные будут приходить Ссылка на комментарий
Александр23712 Опубликовано 3 февраля, 2022 Поделиться Опубликовано 3 февраля, 2022 @Карен Аванесов Я вас услышал. Спасибо) 20 минут назад, Карен Аванесов сказал: после нескольких неудачных попыток сделать коронку и видя постепенно нарастание кипения у пациента, делпъаю прямую реставрацию прям на вкладку, до их пор пациент с ней ходит это до сих пор длится уже 11 год, но теперь если что, то скорее всего имплп=антат. вобщем навыки прямой работы с композитом выручили. Двеи нижние фото композит вкладку закрасил опауом из материала керамейдж А в чем была сложность с коронкой? Явных проблем как будто не видно Ссылка на комментарий
Карен Аванесов Опубликовано 3 февраля, 2022 Автор Поделиться Опубликовано 3 февраля, 2022 2 минуты назад, Александр23712 сказал: @Карен Аванесов Я вас услышал. Спасибо) А в чем была сложность с коронкой? Явных проблем как будто не видно оттенок не подходил абсолютно, прилегание никакое Ссылка на комментарий
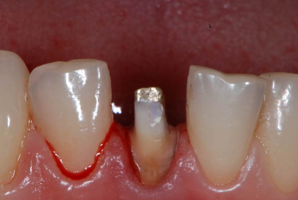
Карен Аванесов Опубликовано 3 февраля, 2022 Автор Поделиться Опубликовано 3 февраля, 2022 еще пример скорой помощи, травма. 12 лет назад, фото до полировки, все выглядит неплохо, но с эндо возникли некие сложности, проследить хронологию не удалось. Как гридся хорошпя мысля приходит апосля, я вот смотрю сейчас и думаю, сделал бы эндо, отжал мягкие и осколок бы вклеил, но тогда не дошло Ссылка на комментарий
Александр23712 Опубликовано 3 февраля, 2022 Поделиться Опубликовано 3 февраля, 2022 (изменено) @Карен Аванесов Как-то тут не очень понятно, осколок на этапе эндо припасовали, а потом убрали? Двойка после реставрации вывалилась из дуги. Анкер перекрыть что бы? Или потому что скорая помощь? Изменено 3 февраля, 2022 пользователем Александр23712 Ссылка на комментарий
Карен Аванесов Опубликовано 3 февраля, 2022 Автор Поделиться Опубликовано 3 февраля, 2022 3 минуты назад, Александр23712 сказал: @Карен Аванесов Как-то тут не очень понятно, осколок на этапе эндо припасовали, а потом убрали? Двойка после реставрации вывалилась из дуги. Анкер перекрыть что бы? Или потому что скорая помощь? Двойка изначально так и была, нет фото где обломой прижат. С эндо чистое извращение, понял это, сделал без коффера. Ссылка на комментарий
Александр23712 Опубликовано 3 февраля, 2022 Поделиться Опубликовано 3 февраля, 2022 (изменено) @Карен Аванесов А. Хех. Понял) Штифты кстати не люблю еще потому, что без него пломба бы уже давно вывалилась, и пациент пришел бы на замену, а анкер ее до последнего в зубе держит, там краевое прилегание самой пломбы уже никакое, но вроде же держится, зачем идти, еще постоит немного. А потом с острым пт уже приходят Изменено 3 февраля, 2022 пользователем Александр23712 Ссылка на комментарий
Карен Аванесов Опубликовано 3 февраля, 2022 Автор Поделиться Опубликовано 3 февраля, 2022 6 минут назад, Александр23712 сказал: @Карен Аванесов А. Хех. Понял) Штифты кстати не люблю еще потому, что без него пломба бы уже давно вывалилась, и пациент пришел бы на замену, а анкер ее до последнего в зубе держит, там краевое прилегание самой пломбы уже никакое, но вроде же держится, зачем идти, еще постоит немного. А потом с острым пт уже приходят игибитор))))))))) Ссылка на комментарий
Рекомендуемые сообщения
Для публикации сообщений создайте учётную запись или авторизуйтесь
Вы должны быть пользователем, чтобы оставить комментарий
Создать аккаунт
Зарегистрируйте новый аккаунт в нашем сообществе. Это очень просто!
Регистрация нового пользователяВойти
Уже есть аккаунт? Войти в систему.
Войти