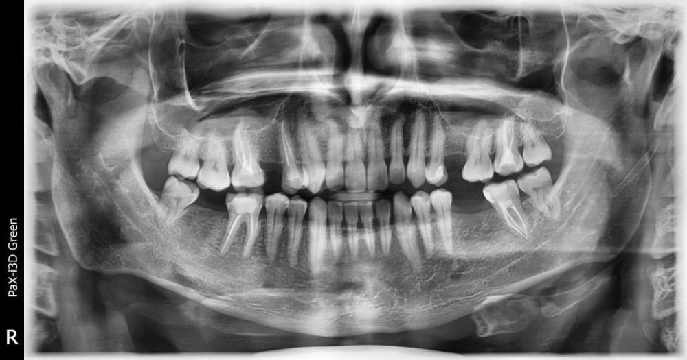
bufc1 Опубликовано 27 января, 2022 Поделиться Опубликовано 27 января, 2022 (изменено) Здравствуйте недавно появилась боль в районе левой верхней семерки,которая была депульпирована 4 года назад.Болит в районе 6-7-8-ого зубов ,больше 6-7. Был у врача ,врач предложил сделать КТ на предмет 4-ого канала в семерке. Cделал КТ Верхней челюсти на томографе Vatech,в другой стоматологии ,там где я делал КТ позже посмотрел врач и по телефону объяснил ,что в левой семерке есть 4 канал и небольшое воспаление,а также в правой шестерке 4 канал и воспаление ,она депульпирована 10 лет назад,но она меня не беспокоит пока. Но на панорамном снимке сделанном около 12 месяцев назад воспаления в правой шестерке не было.Может на КТ артефакт? слишком большое воспаление. Посмотрите пожалуйста КТ на предмет 4-ого канала в 7-ке слева и 6-ке справа ,что делать с этими зубами?,а также если не сложно состояние остальных зубов на ВЧ? Свежий КТ https://disk.yandex.ru/d/bhzap_ENY_BKyg Панорамный снимок около года назад Спасибо. Изменено 27 января, 2022 пользователем bufc1 Ссылка на комментарий
bufc1 Опубликовано 2 февраля, 2022 Автор Поделиться Опубликовано 2 февраля, 2022 (изменено) Посмотрите пожалуйста если есть возможность КТ , зубы 16 и 27 . По поводу 16-ого сказали там киста,странно ,что ее не было год назад на панарамном снимке,зуб депульпирован 10 лет назад. А в 27 зубе 4-ый канал врач не видит. Сейчас лечу 24 зуб ,удалили нерв и будут пломбировать каналы . 1) Что делать с 16 и 27 зубами? 2) Планирую начать имплантацию , установить пока один имплант,врач советует начать с установки в район 36 зуба. Как вы считаете правильно? Изменено 2 февраля, 2022 пользователем bufc1 Ссылка на комментарий
red_butler Опубликовано 2 февраля, 2022 Поделиться Опубликовано 2 февраля, 2022 54 минуты назад, bufc1 сказал: Посмотрите пожалуйста если есть возможность КТ , зубы 16 и 27 . К сожалению не все доктора форума имеют техническую возможность скачать архив Кт, если хотите быстрее получить ответы, выкладывайте срезы Кт Ссылка на комментарий
Рекомендуемые сообщения
Для публикации сообщений создайте учётную запись или авторизуйтесь
Вы должны быть пользователем, чтобы оставить комментарий
Создать аккаунт
Зарегистрируйте новый аккаунт в нашем сообществе. Это очень просто!
Регистрация нового пользователяВойти
Уже есть аккаунт? Войти в систему.
Войти