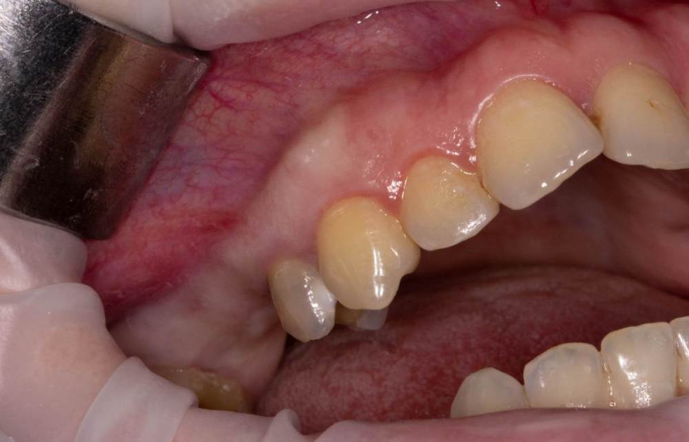
Женька Опубликовано 19 января, 2022 Поделиться Опубликовано 19 января, 2022 (изменено) Коллеги, поздравьте. Наконец-то свершилось, спустя 3 года после начала установки имплантатов (всего то я поставил 50 за это время) я сделал ОСЛ. В общем интересна критика как и всегда. Фото делал ассистент, который возможно первый раз держал в руках фотоаппарат, тем более с макро объективом Планирование Скрытый текст Сканы сразу после Скрытый текст И пара фотографий. К сожалению ни паковку материала, ни имплантацию уже не сняли, так что неполный кейс получается . Перфорацию перекрыл коллагеновой губкой, поверх окна уложил мембрану и завёл под нёбный лоскут. Заняло всё около 2.30 часов из которых минут 30 если не больше ушло на ушивание (иглодержатели МСТ ужасные изделия, Казань куда лучше) Скрытый текст От себя добавлю: как всегда #акеллапромахнулся, хотелось бы ставить более близко к планируемому и глубить как нужно. + кисту убрать не удалось, аспирировали почему-то очень скудное количество, при попытке удаления оболочка разорвалась и потерялась в пазухе...Ну и медиально воздуха больше чем графта конечно Изменено 19 января, 2022 пользователем Женька 5 1 Ссылка на комментарий
АнтонТЛТ Опубликовано 19 января, 2022 Поделиться Опубликовано 19 января, 2022 С почином) думаю всё нормально будет Ссылка на комментарий
Irouil Опубликовано 19 января, 2022 Поделиться Опубликовано 19 января, 2022 Все выглядит отлично, на мой взгляд только дистальный имплант чуток дистальнее еще бы поставить и, в принципе, незачем в таких ситуациях импланты длиннее 8 мм крутить 1 Ссылка на комментарий
pit Опубликовано 19 января, 2022 Поделиться Опубликовано 19 января, 2022 Супер! Все должно быть хорошо! 1 Ссылка на комментарий
Женька Опубликовано 19 января, 2022 Автор Поделиться Опубликовано 19 января, 2022 Спасибо, коллеги я же правильно понимаю, что раз мы разрушили частично оболочку кисты и аспирировали содержимое шанс рецидива достаточно мал? 1 Ссылка на комментарий
plot Опубликовано 20 января, 2022 Поделиться Опубликовано 20 января, 2022 Лиха беда начало. Поздравляю. Свой первый ОСЛ делал владельцу клиники..... 2 Ссылка на комментарий
Карен Аванесов Опубликовано 20 января, 2022 Поделиться Опубликовано 20 января, 2022 Ядах сейчас где-то рыдает от счастья крокодильими слезами! круто для первого раза! еще один осл и можно читать курс)))) 1 Ссылка на комментарий
Irouil Опубликовано 20 января, 2022 Поделиться Опубликовано 20 января, 2022 2 часа назад, Карен Аванесов сказал: Ядах сейчас где-то рыдает от счастья крокодильими слезами! круто для первого раза! еще один осл и можно читать курс)))) Крокодильими глазами, тогда уж)) Ссылка на комментарий
Женька Опубликовано 21 января, 2022 Автор Поделиться Опубликовано 21 января, 2022 @Карен Аванесов спасибо, Карен Ссылка на комментарий
annda Опубликовано 22 января, 2022 Поделиться Опубликовано 22 января, 2022 Вы же в Башкирии вроде планированием и шаблонами баловались, а тут как? Это я про вопрос с Акелой:) Ссылка на комментарий
Женька Опубликовано 22 января, 2022 Автор Поделиться Опубликовано 22 января, 2022 @annda ключевое слово "баловался". Тк все шаблоны были под пилоты (но, да скорее всего в этом случае это хоть как-то бы помогло). По факту сейчас это даже сложнее, тк сканера под рукой нет, надо отправлять "куда-то", это плюс к стоимости и время на транспортировку ну и тд. Жду когда уже тришейп поставят в клинику и можно будет стл-ки получать прямо у кресла. С другой стороны, пациентка миниатюрная женщина, мне без шаблона было сложно короткую дентиумовскую фрезу разместить между зубами, а с шаблоном это наверное было почти не реально Ссылка на комментарий
alboard Опубликовано 26 января, 2022 Поделиться Опубликовано 26 января, 2022 @Женька с почином! До сих пор есть недопонимания в одномоментной установке конусных имплантатов с ОСЛ в таких небольших объемах кости (я про дистальный). Вроде и заглубить нужно, и зафиксировать имплантат и не передавить. Ссылка на комментарий
Женька Опубликовано 26 января, 2022 Автор Поделиться Опубликовано 26 января, 2022 @alboard спасибо! безусловно у меня такие же чувства... но увы, плоскостных соединений в клинике нет погрузил на 0.5 -1 мм максимум, хотя на снимке и не скажешь так. Будем растить десну вертикально, межальвеолярная высота позволяет. Надо сказать, смотрю я сейчас на контроль и снова в самоедство начинаю... медиальный бы глубже и нёбнее поставить. (впрочем, это опять про то что я промахиваюсь постоянно, "самый кривой глаз на диком Урале" ) Ссылка на комментарий
Борис80 Опубликовано 26 января, 2022 Поделиться Опубликовано 26 января, 2022 19.01.2022 в 21:00, Женька сказал: иглодержатели МСТ ужасные изделия указанные изделия в Корее на стом выставке продаются чуть ли не на вес, то есть стоят немаленькие коробки с ножницами\иглодержателями\прочими элеваторами , где нужно рыться и набирать требуемое в свой мешок, но стоимость пару лет назад была рублей по 500-700-1000 за позицию по поводу темы с почином, главное не останавливаться 1 Ссылка на комментарий
Женька Опубликовано 26 января, 2022 Автор Поделиться Опубликовано 26 января, 2022 @Борис80 спасибо. Ну денталмаркет их толкает по 7-8 тысяч) Ссылка на комментарий
Борис80 Опубликовано 26 января, 2022 Поделиться Опубликовано 26 января, 2022 2 минуты назад, Женька сказал: денталмаркет не реклама, mct есть немного, а также hlw- недорого и удовлетворительно по качеству и хью-фриди купленный у американского товарища на ебее. ничего не рекламирую, каждый выбирает сам где и что как себе покупать Ссылка на комментарий
Евгений Ходыкин Опубликовано 11 февраля, 2022 Поделиться Опубликовано 11 февраля, 2022 26.01.2022 в 16:21, Женька сказал: @alboard спасибо! безусловно у меня такие же чувства... но увы, плоскостных соединений в клинике нет погрузил на 0.5 -1 мм максимум, хотя на снимке и не скажешь так. Будем растить десну вертикально, межальвеолярная высота позволяет. Надо сказать, смотрю я сейчас на контроль и снова в самоедство начинаю... медиальный бы глубже и нёбнее поставить. (впрочем, это опять про то что я промахиваюсь постоянно, "самый кривой глаз на диком Урале" ) Конечно глубже. Ещё и лизис вертикальный скорее всего произойдёт. Дистальный отсроченно нужно было по хорошему. Ссылка на комментарий
Jo Malone Опубликовано 13 февраля, 2022 Поделиться Опубликовано 13 февраля, 2022 @Irouilподскажите пожалуйста, а почему в таких ситуациях незачем импланты более 8 мм крутить? Ссылка на комментарий
Irouil Опубликовано 13 февраля, 2022 Поделиться Опубликовано 13 февраля, 2022 6 часов назад, Jo Malone сказал: @Irouilподскажите пожалуйста, а почему в таких ситуациях незачем импланты более 8 мм крутить? А зачем более 8 мм крутить? Статистической разницы в выживаемости винтов 8 м в сравнении с более длинными нет, зато проблем в случае крестальных осложнений будет гораздо больше. Чем меньше - тем лучше. 1 Ссылка на комментарий
Jo Malone Опубликовано 13 февраля, 2022 Поделиться Опубликовано 13 февраля, 2022 (изменено) 19.01.2022 в 22:25, Irouil сказал: Все выглядит отлично, на мой взгляд только дистальный имплант чуток дистальнее еще бы поставить и, в принципе, незачем в таких ситуациях импланты длиннее 8 мм крутить А если соотношение к надкостной части получается более, чем 1:1, это проблем не вызывает в последующем функционировании? Изменено 13 февраля, 2022 пользователем Jo Malone Ссылка на комментарий
Irouil Опубликовано 13 февраля, 2022 Поделиться Опубликовано 13 февраля, 2022 6 часов назад, Jo Malone сказал: А если соотношение к надкостной части получается более, чем 1:1, это проблем не вызывает в последующем функционировании? В таких ситуациях, как представлена, речи о соотношении более чем 1:1 не идёт А если говорит абстрактно - это скорее вопрос к ортопедам, но, насколько мне известно, никакого влияния на стабильность интегрированного импланта все, что находится апикальнее 8 мм длины, не имеет. Импланты длиннее имеют два преимущества 1) абсолютное - выше первичная стабильность, больше возможностей для непосредственной нагрузки 2) относительное - при крестальной атрофии будет длина «про запас» в апикальный части (что можно рассматривать и как недостаток, в зависимости от жизненной позиции) Ссылка на комментарий
Jo Malone Опубликовано 13 февраля, 2022 Поделиться Опубликовано 13 февраля, 2022 @Irouil Спасибо☺️ 1 Ссылка на комментарий
Женька Опубликовано 14 февраля, 2022 Автор Поделиться Опубликовано 14 февраля, 2022 @Jo Malone есть исследование в котором говорится, что "работают" лишь первые 4мм имплантата. У Рауфа Алиева ролик был как раз об этом. Ссылка на комментарий
Raystom Опубликовано 14 февраля, 2022 Поделиться Опубликовано 14 февраля, 2022 (изменено) @Irouil не знаю насколько верно поступаю, но в тех редких случаях, когда есть возможность поставить отсроченно 14 мм имплантат в жевательную область обхожусь 8-9 мм, т.к. сомневаюсь, что они будут пожизненно стоять и рано или поздно начнутся проблемы, но так, по моему разумению, останется больше нативной кости. Возможно заблуждаюсь. Изменено 14 февраля, 2022 пользователем Raystom 1 Ссылка на комментарий
Рекомендуемые сообщения
Для публикации сообщений создайте учётную запись или авторизуйтесь
Вы должны быть пользователем, чтобы оставить комментарий
Создать аккаунт
Зарегистрируйте новый аккаунт в нашем сообществе. Это очень просто!
Регистрация нового пользователяВойти
Уже есть аккаунт? Войти в систему.
Войти