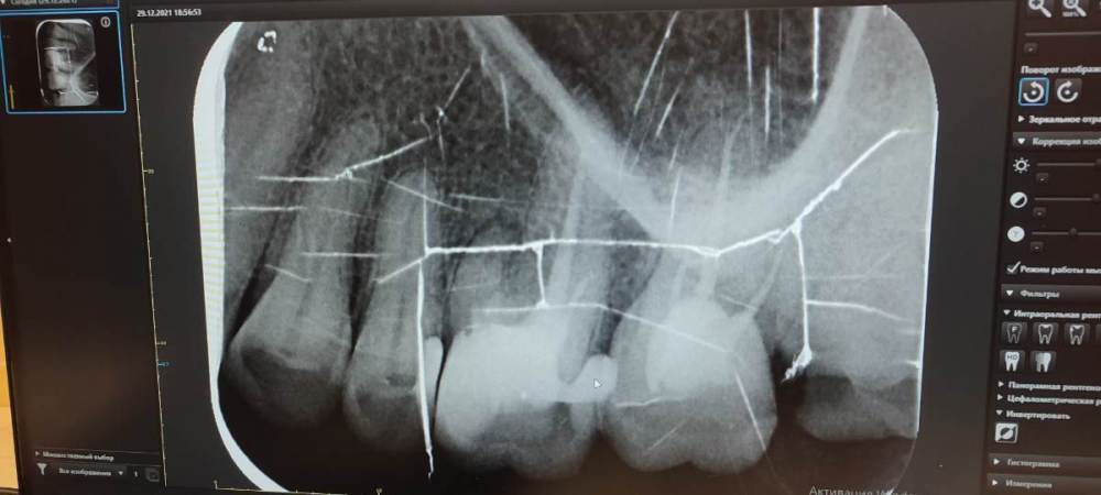
Люлякебаб Опубликовано 30 декабря, 2021 Поделиться Опубликовано 30 декабря, 2021 Здравствуйте, уважаемые специалисты! Зуб шестёрка верхняя. Были прочищены каналы. Поставлена пломба. Лет 10 назад. Сколько-то лет назад на десне в районе зуба появился бугорок в диаметре около 5 мм. В последнее время зуб реагирует на горячее и холодное. Иногда болит, но проходит. По снимку врач увидела, что не всё каналы прочищались. Советует найти специалиста по прочистке каналов под микроскопом. Другая врач общей практики считает разумным только удаление и последующую имплантацию. Я в замешательстве. Первый вариант невероятно дорог. Второй рискован, впрочем, как и первый. Что делать? Ещё между пятёркой и шестёркой этой я зубочисткой нащупываю неровности с резкой болью и запах (извините за подробности). Ссылка на комментарий
Люлякебаб Опубликовано 18 января, 2022 Автор Поделиться Опубликовано 18 января, 2022 Так и нет ответов(? Ссылка на комментарий
It'sGeorgy Опубликовано 18 января, 2022 Поделиться Опубликовано 18 января, 2022 (изменено) Добрый день. 30.12.2021 в 20:32, Люлякебаб сказал: Что делать? Начните с КТ. И для диагностики, и для возможного перелечивания, и для возможной имплантации вам она все равно потребуется. 30.12.2021 в 20:32, Люлякебаб сказал: Ещё между пятёркой и шестёркой этой я зубочисткой нащупываю неровности с резкой болью и запах (извините за подробности). Судя по предоставленному снимку с пятеркой тоже могут быть проблемы. Не исключено, что беспокоит вас именно она. Изменено 18 января, 2022 пользователем It'sGeorgy 1 Ссылка на комментарий
dentikl Опубликовано 18 января, 2022 Поделиться Опубликовано 18 января, 2022 снимок тертый,но мне видится выпавшая пломба в 8 1 Ссылка на комментарий
Pavel-Pskov Опубликовано 19 января, 2022 Поделиться Опубликовано 19 января, 2022 Кмк хорошая работа с микро будет вряд ли сильно дешевле импланта и к тому же без гарантии. 1 Ссылка на комментарий
Irouil Опубликовано 19 января, 2022 Поделиться Опубликовано 19 января, 2022 Сделайте КТ, будет больше пищи для обсуждения пока что те жалобы, что Вы предъявляете, более характерны для живых зубов, а таких подозреваемых 2 - соседняя 5-ка и 8-ка 1 Ссылка на комментарий
Люлякебаб Опубликовано 26 января, 2022 Автор Поделиться Опубликовано 26 января, 2022 Добрый день, уважаемые специалисты! Прикрепила результаты КТ. Зуб теперь невыносимо болит и я сижу на пенталгине и ибупрофене, пока не выбрала, что предпринять. Врачи дружно, но неуверенно говорят о возможности спасения зуба перелечиванием каналов под микроскопом. И кажется, сами в успех этой операции не верят. Я вынуждена принять нелегкое решение ...и видимо оно будет в пользу вырывания и последующей имплантации. Наверное, я буду жалеть утраченный зуб(((((( Прошу вас прокомментировать скорее, что мне делать. Я очень боюсь ошибиться и терпеть больше тоже не могу - Очень больно. 572747376_.zip Ссылка на комментарий
Люлякебаб Опубликовано 27 января, 2022 Автор Поделиться Опубликовано 27 января, 2022 Добрый день, уважаемые специалисты! Прикрепила результаты КТ. Зуб теперь невыносимо болит и я сижу на пенталгине и ибупрофене, пока не выбрала, что предпринять. Врачи дружно, но неуверенно говорят о возможности спасения зуба перелечиванием каналов под микроскопом. И кажется, сами в успех этой операции не верят. Я вынуждена принять нелегкое решение ...и видимо оно будет в пользу вырывания и последующей имплантации. Наверное, я буду жалеть утраченный зуб(((((( Прошу вас прокомментировать скорее, что мне делать. Я очень боюсь ошибиться и терпеть больше тоже не могу - Очень больно. https://dropmefiles.net/ru/hQ5w9axRC Ссылка на комментарий
Irouil Опубликовано 27 января, 2022 Поделиться Опубликовано 27 января, 2022 @Люлякебаб Я бы попробовал перелечить Прогноз успешности будет понятен на ранних этапах лечения, если зуб удастся распломбировать - скорее всего дальше лечение будет успешным я бы попробовал 1 1 Ссылка на комментарий
Рекомендуемые сообщения
Для публикации сообщений создайте учётную запись или авторизуйтесь
Вы должны быть пользователем, чтобы оставить комментарий
Создать аккаунт
Зарегистрируйте новый аккаунт в нашем сообществе. Это очень просто!
Регистрация нового пользователяВойти
Уже есть аккаунт? Войти в систему.
Войти