Kolchanov Опубликовано 22 декабря, 2021 Поделиться Опубликовано 22 декабря, 2021 12 лет. Что делать? Есть ли еще шансы прорезывания семерок на место шестых при удалении? Или лечить? Ссылка на комментарий
АнтонТЛТ Опубликовано 22 декабря, 2021 Поделиться Опубликовано 22 декабря, 2021 Лечить 3 Ссылка на комментарий
Kolchanov Опубликовано 22 декабря, 2021 Автор Поделиться Опубликовано 22 декабря, 2021 Что бы сделал? Накладки, коронки? На смыкус, я так думаю, можно не смотреть сейчас? Восстанавливать в исходную анатомию. Что не устаканится, то ортодонт поправит. Ссылка на комментарий
Александр23712 Опубликовано 22 декабря, 2021 Поделиться Опубликовано 22 декабря, 2021 ? Иногда такие же приходят, не знаю, на кого ругаться, на родителей или детей( А за коронку начинаешь, тебе в ответ - "а это как, как у бабулей что-ли? Да вы что доктор, в таком-то возрасте, ну вы чтооо!" Я лечу. Анкер+/-, композитный оверлей прямым способом с перекрытием всех бугров. Тут низкие коронковые, поживет думаю. Контроль, протезирование в дальнейшем. Но такая выживаемость уже зависит не только от меня. Ссылка на комментарий
Kolchanov Опубликовано 22 декабря, 2021 Автор Поделиться Опубликовано 22 декабря, 2021 Тут, если поторопиться, то есть шансы витальными вытянуть. На холод реагируют, случаев болей пока не было. Закомпозитить могу, но, при том, что это будет только по паре зубов в контактах, чую, не надолго. Надо уж сделать, так чтобы лет семь хоть отходило и без потерь по высоте. А композит в этом плане тухлый номер. 1 1 Ссылка на комментарий
St. Опубликовано 23 декабря, 2021 Поделиться Опубликовано 23 декабря, 2021 У нас как то на подобную крастоту литые коронки без облицовки ставили. уже года 2-3 точно прошло, все норм. Меня в таких случаях больше беспокоит возможность качественно обезоблить низ у детей, не всегда получается(( 2 1 Ссылка на комментарий
dentikl Опубликовано 23 декабря, 2021 Поделиться Опубликовано 23 декабря, 2021 13 часов назад, Kolchanov сказал: Закомпозитить могу,. раньше были стандартные ортодонтические коронки.Становились без препарирования.(0,12 толщина).Если сейчас нет модно взять орто кольцо.Сфигачить (или оставить) трубки ,и верх -композит.И ортодонту удобно и зуб целый.Становится без препа. 1 Ссылка на комментарий
Kolchanov Опубликовано 23 декабря, 2021 Автор Поделиться Опубликовано 23 декабря, 2021 Да не. Литые не пойдёт. Оно надёжно, но это ж дети. Сразу кликуху навесят. "Стальной зуб" там... или еще чего. Короче, тут надо после обработки посмотреть, что получится. Если опульпитятся, то сделать эндокоронки, если нет, то оверлеи имакс. До ортодонта тут еще неизвестно сколько. И будет ли вообще. 2 1 Ссылка на комментарий
Карен Аванесов Опубликовано 23 декабря, 2021 Поделиться Опубликовано 23 декабря, 2021 (изменено) 22 часа назад, Kolchanov сказал: 12 лет. Что делать? Есть ли еще шансы прорезывания семерок на место шестых при удалении? Или лечить? Константин! Тебе в Дубне надо памятник при жизни поставить! И с твоими руками все получится, но пациенты конечно, подкидывают головоломки) Изменено 23 декабря, 2021 пользователем Карен Аванесов Ссылка на комментарий
Kolchanov Опубликовано 23 декабря, 2021 Автор Поделиться Опубликовано 23 декабря, 2021 Точно, напротив Ильича как раз место свободное есть. Там Сталин стоял, но его убрали лет 60 назад. 2 Ссылка на комментарий
Карен Аванесов Опубликовано 23 декабря, 2021 Поделиться Опубликовано 23 декабря, 2021 46 минут назад, Kolchanov сказал: Точно, напротив Ильича как раз место свободное есть. Там Сталин стоял, но его убрали лет 60 назад. Синхрофазатрон ваш местный открыли для посещений? Ссылка на комментарий
Kolchanov Опубликовано 23 декабря, 2021 Автор Поделиться Опубликовано 23 декабря, 2021 Не знаю. Я даже не представляю где тут что. Названия улиц основных за 10 лет так и не выучил. Ссылка на комментарий
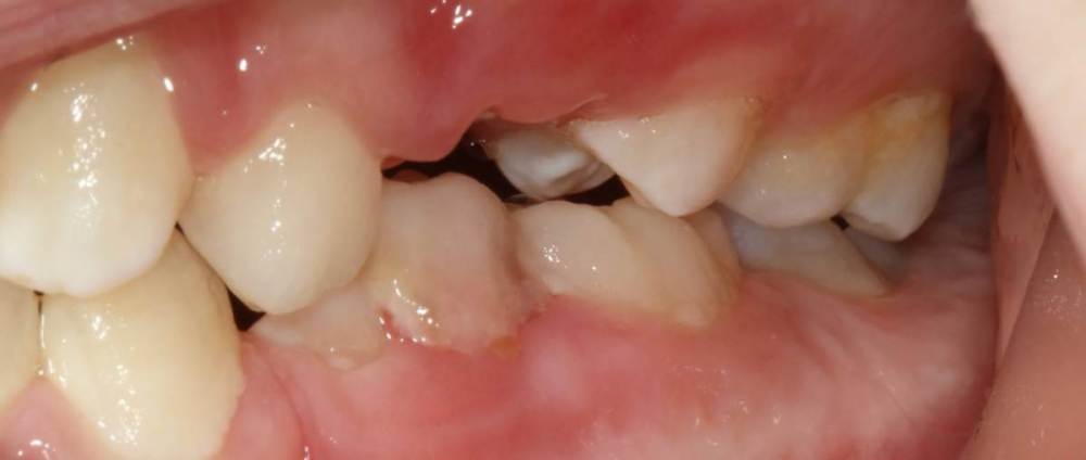
Kolchanov Опубликовано 2 июля, 2024 Автор Поделиться Опубликовано 2 июля, 2024 (изменено) Тут появился этот пациент. Добьём тему. Значит, тогда всё обошлось вот так: А это через два года с лишним: Изменено 2 июля, 2024 пользователем Kolchanov 4 1 Ссылка на комментарий
Kolchanov Опубликовано 2 июля, 2024 Автор Поделиться Опубликовано 2 июля, 2024 3 1 1 Ссылка на комментарий
Женька Опубликовано 2 июля, 2024 Поделиться Опубликовано 2 июля, 2024 Вот и 7 подошла к такому же исходу) Ссылка на комментарий
Kolchanov Опубликовано 3 июля, 2024 Автор Поделиться Опубликовано 3 июля, 2024 Да, никто не учится. Хоть дорого, хоть дёшево. Семерка ещё успела с композитным вариантом. Ссылка на комментарий
Carioznik Опубликовано 3 июля, 2024 Поделиться Опубликовано 3 июля, 2024 (изменено) В 02.07.2024 в 18:50, Kolchanov сказал: тогда всё обошлось вот так: Расскажите, пожалуйста, поподробнее. Преп , я так понял, обошёлся без вскрытия , дно было плотное, с крепитацией? Что за накладка -композит или керамика? Эмали почти нет, неужели за счёт ретенционного пункта так зафиксировалась? Или ещё был песок+силан+короткий срок между препом с пломировкой и фиксацией? Адгезивный протокол после препа какой был? И композит двойного отверждения использовали (на этапе восстановления полости) Изменено 3 июля, 2024 пользователем Carioznik Ссылка на комментарий
Kolchanov Опубликовано 4 июля, 2024 Автор Поделиться Опубликовано 4 июля, 2024 Преп был долгий и нудный. Вначале бором, а потом экскаватором до плотного, как Рикуччи шкрябает. E.max. Песок всегда, силан только на имакс. Имакс приклеенный к композиту хоть через какой срок, при наличии пескоструйки, фиг отдерёшь. Приходилось порой спиливать свои работы. К композиту фиксация всегда была намертво. Адгезивный протокол после препарирования полости обычный: песок, протравка, Prime Bond NT. Композит estelite sigma (BW). 4 Ссылка на комментарий
сирена Опубликовано 8 июля, 2024 Поделиться Опубликовано 8 июля, 2024 Афигеть. Ещё и живой остался. Ссылка на комментарий
Рекомендуемые сообщения
Для публикации сообщений создайте учётную запись или авторизуйтесь
Вы должны быть пользователем, чтобы оставить комментарий
Создать аккаунт
Зарегистрируйте новый аккаунт в нашем сообществе. Это очень просто!
Регистрация нового пользователяВойти
Уже есть аккаунт? Войти в систему.
Войти