Перейти к содержанию
Стоматология для всех

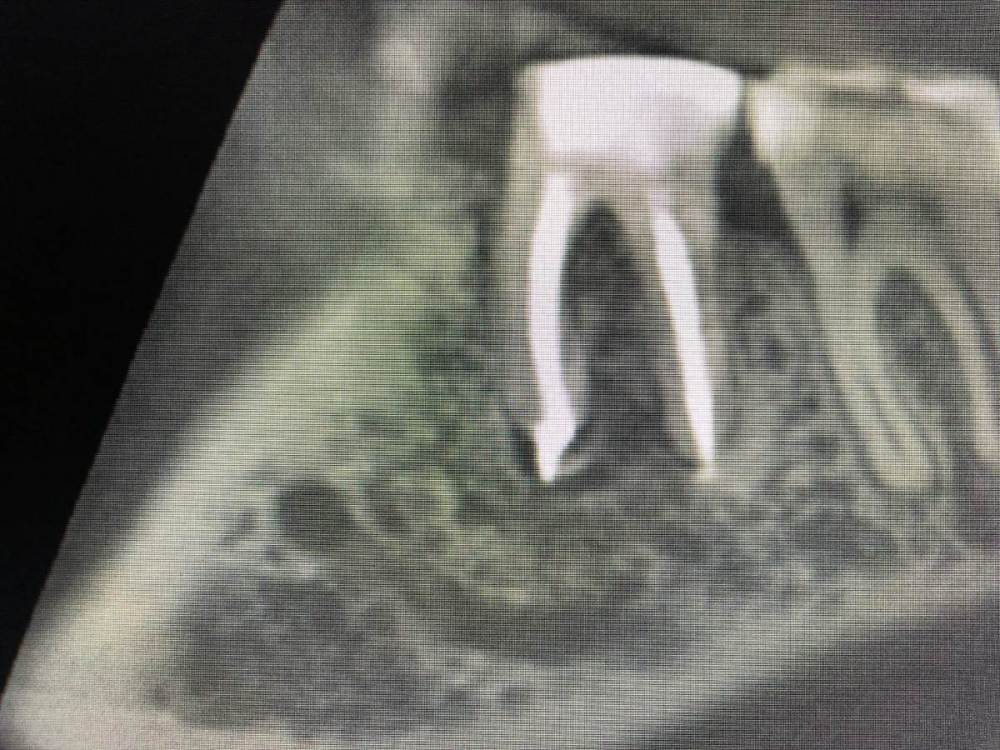
Вторичная эндодонтия 3.6 с лизисом кортикальной пластинки щечно


Борис Филиппов

Рекомендуемые сообщения

Для публикации сообщений создайте учётную запись или авторизуйтесь

Вы должны быть пользователем, чтобы оставить комментарий

Создать аккаунт

Зарегистрируйте новый аккаунт в нашем сообществе. Это очень просто!

Регистрация нового пользователя

Войти

Уже есть аккаунт? Войти в систему.

Войти
×
×
  • Создать...
Вверх