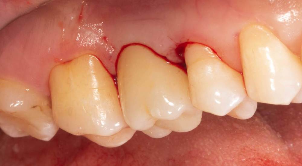
Женька Опубликовано 23 июля, 2022 Автор Поделиться Опубликовано 23 июля, 2022 (изменено) Кончилось вот так в общем. Сразу после фиксации. Коллеги, обойтись без разрезов на постоянных коронках можно только посредством временных? Изменено 23 июля, 2022 пользователем Женька 4 Ссылка на комментарий
Aquarius Опубликовано 23 июля, 2022 Поделиться Опубликовано 23 июля, 2022 (изменено) Женька, на мой взгляд , получилось более чем достойно. Вменяемый техник, приличное заглубление, что еще для счастья надо. Про разрезы не понял? Если надо, то давите постоянными на каком -нибудь временном цементе, типа Цем -имплант. Кстати почему его на постсоветском пространстве окрестили постоянным? Изменено 23 июля, 2022 пользователем Aquarius Ссылка на комментарий
Женька Опубликовано 23 июля, 2022 Автор Поделиться Опубликовано 23 июля, 2022 (изменено) @Aquarius спасибо время покажет, как говорится. У меня есть некоторые вопросы, на которые именно время мне и даст ответ) Изменено 23 июля, 2022 пользователем Женька Ссылка на комментарий
Женька Опубликовано 23 июля, 2022 Автор Поделиться Опубликовано 23 июля, 2022 @Aquarius это винтовая фикса) разрезы потому что коронка намного шире формика у меня (конечно же попросил техника отдавить немного десну) Ссылка на комментарий
Aquarius Опубликовано 23 июля, 2022 Поделиться Опубликовано 23 июля, 2022 (изменено) Ну это же шоколад для ортопеда. Дави не хочу. И шахту прилично заопачили. Респект. Она обычно колхозно светится Изменено 23 июля, 2022 пользователем Aquarius Ссылка на комментарий
Aquarius Опубликовано 23 июля, 2022 Поделиться Опубликовано 23 июля, 2022 У Вас работы приходят с мягкой или жесткой маской? Ссылка на комментарий
Женька Опубликовано 23 июля, 2022 Автор Поделиться Опубликовано 23 июля, 2022 @Aquarius вариант без маски где?) Ссылка на комментарий
Aquarius Опубликовано 23 июля, 2022 Поделиться Опубликовано 23 июля, 2022 Такого быть не должно быть по определению))) Женька, серьезно, зеленая Жермак приходит?? Ссылка на комментарий
Женька Опубликовано 23 июля, 2022 Автор Поделиться Опубликовано 23 июля, 2022 @Aquarius не, там точно специальная жермаковская десна но ригид или мягкая я честно говоря не знаю но правда, техник присылает без десны как правило Ссылка на комментарий
TIGER Опубликовано 23 июля, 2022 Поделиться Опубликовано 23 июля, 2022 @Женька отлично? Ссылка на комментарий
Рекомендуемые сообщения
Для публикации сообщений создайте учётную запись или авторизуйтесь
Вы должны быть пользователем, чтобы оставить комментарий
Создать аккаунт
Зарегистрируйте новый аккаунт в нашем сообществе. Это очень просто!
Регистрация нового пользователяВойти
Уже есть аккаунт? Войти в систему.
Войти