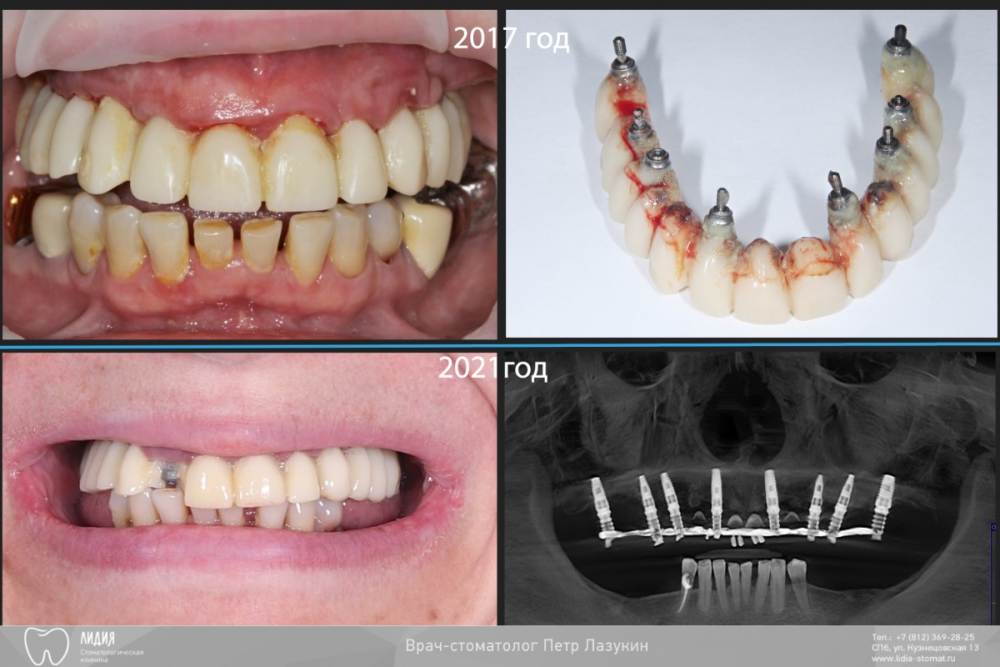
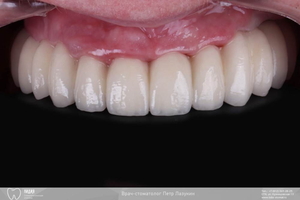
pit Опубликовано 5 октября, 2021 Поделиться Опубликовано 5 октября, 2021 Клинический случай. Старт работ в 2015 году. План простой: Полная дуга, верхняя челюсть. Начали в 2015, закончили в 2021. Какой был план? Зубы в/ч все под удаление. Фронт был временно сохранен для временного протезирования. Установлены импланты с костнопластическими манипуляциями. В качестве временных коронок использованы металлокерамические коронки. Следующим этапом, после интеграции, было открытие имплантов и изготовление временных коронок. И тут пациент пропал на 2 года, а затем еще на четыре)))). Лишь поломка времянок, через 6 лет, сподвигла пациента обратиться за изготовлением постоянных коронок. Протокол и комменты в слайдах. КТ после протезирования. 11.mov 1 2 2 Ссылка на комментарий
Fin Опубликовано 6 октября, 2021 Поделиться Опубликовано 6 октября, 2021 Крутая работа. При переводе в плоскостное оставляете только 1 мм от оснований, остальное спиливаете?В мостах на 2,3 импланта тоже спиливате? Ссылка на комментарий
pit Опубликовано 6 октября, 2021 Автор Поделиться Опубликовано 6 октября, 2021 8 часов назад, Fin сказал: Крутая работа. При переводе в плоскостное оставляете только 1 мм от оснований, остальное спиливаете?В мостах на 2,3 импланта тоже спиливате? Ну где я написал про спиливание???? Зачем додумывать???? Ссылка на комментарий
Fin Опубликовано 6 октября, 2021 Поделиться Опубликовано 6 октября, 2021 (изменено) 45 минут назад, pit сказал: Ну где я написал про спиливание???? Зачем додумывать???? Посмотрев на короткие основания возникает такая мысль. Поэтому уточняю прав я или нет?. Подскажите пожалуйста как Вы это делаете?В данном случае балка сразу выточена с короткими конусами? Изменено 6 октября, 2021 пользователем Fin Ссылка на комментарий
pit Опубликовано 6 октября, 2021 Автор Поделиться Опубликовано 6 октября, 2021 1 минуту назад, Fin сказал: Посмотрев на короткие основания возникает такая мысль. Поэтому уточняю прав я или нет?. Подскажите пожалуйста как Вы это делаете? Плоские основания на конические соединения ХайТека и Нобеля выпускает Сирона. На них я делаю много работ на упомянутых системах Ссылка на комментарий
Fin Опубликовано 6 октября, 2021 Поделиться Опубликовано 6 октября, 2021 9 минут назад, pit сказал: Плоские основания на конические соединения ХайТека и Нобеля выпускает Сирона. На них я делаю много работ на упомянутых системах Не знал, спасибо. Правильно я понимаю что они частично заходят на платформу сверху(как в плоскостных имплантах)? Интересно будут ли отличаться они от оснований с подпиленным конусом. Ссылка на комментарий
pit Опубликовано 6 октября, 2021 Автор Поделиться Опубликовано 6 октября, 2021 9 минут назад, Fin сказал: Не знал, спасибо. Правильно я понимаю что они частично заходят на платформу сверху(как в плоскостных имплантах)? Интересно будут ли отличаться они от оснований с подпиленным конусом. Да. Конечно будут. При сохранении конусов и спиливании индексов, на закручивании винтов Вас ждет характерный скрежет)))) Ссылка на комментарий
Fin Опубликовано 8 октября, 2021 Поделиться Опубликовано 8 октября, 2021 06.10.2021 в 23:21, pit сказал: Да. Конечно будут. При сохранении конусов и спиливании индексов, на закручивании винтов Вас ждет характерный скрежет)))) Имел ввиду оставить только 0.5-1мм от всего конуса а остальные спилить. Ниразу не слышал. Наверное потому что полную дугу с уровня имплантов ниразу не делал.На 2х-3х имплантах таких проблем не было. Ссылка на комментарий
pit Опубликовано 8 октября, 2021 Автор Поделиться Опубликовано 8 октября, 2021 Только что, Fin сказал: Имел ввиду оставить только 0.5-1мм от всего конуса а остальные спилить. Ниразу не слышал. Наверное потому что полную дугу с уровня имплантов ниразу не делал.На 2х-3х имплантах таких проблем не было. Спиливание=кустарщина! Сохранение конуса в мостах с винтовой фиксацией приводит или к нарушению пассивности, или к избыточной нагрузке на винты. Если нет возможности заказать основания, которые переведут конусное соединение в плоскостное, то или МЮ, или цементная фиксация. Ссылка на комментарий
Fin Опубликовано 8 октября, 2021 Поделиться Опубликовано 8 октября, 2021 (изменено) 49 минут назад, pit сказал: Спиливание=кустарщина Понимаю что кустарщина, но надо искать варианты. Если МК можно же сделать цементно-витовую фиксацию с фиксацией в полости рта, тем самым снять напряжение и получить возможность почистить цемент. На диоксиде вариантов особо нет.Но проблем особо не было.Правда больше двух имплантов не делаю. Естественно везде основания без шестигранников. Изменено 8 октября, 2021 пользователем Fin Ссылка на комментарий
pit Опубликовано 8 октября, 2021 Автор Поделиться Опубликовано 8 октября, 2021 4 минуты назад, Fin сказал: 4 минуты назад, Fin сказал: Понимаю что кустарщина, но надо искать варианты. Уже все найдено. Нужно или поменять систему имплантов, или для Вашей любимой системы спроектировать решение и заказать у производителя) 6 минут назад, Fin сказал: Если МК можно же сделать цементно-витовую фиксацию с фиксацией в полости рта, тем самым снять напряжение и получить возможность почистить цемент. Поясните, а лучше приведите пример в фотках Ссылка на комментарий
Fin Опубликовано 8 октября, 2021 Поделиться Опубликовано 8 октября, 2021 (изменено) Поясните, а лучше приведите пример в фотках В фотографиях не могу показать, данный процесс мне незачем фотографировать. Делаем классическую цементную фиксацию МК заводских абатментах без шестигранников или с укороченными шестигранниками. Уступ располагаю примерно на 0.5 мм ниже уровня десны. На месте выхода шахты прошу техника сделать отверстие. После изготовления примеряю и проверяю в полости рта. Коронки позиционируют позицию абатментов как абатмент чек. После примерки. Фиксирую абатменты на 15-20 н/см, шахты закрываю ватой,или фумкой. Далее классическим методом фиксирую коронки в полости рта, в процессе затвердевания цемента H-файлом вытаскиваю вату что-бы освободить шахту от цемента. После затвердевания цемента, выкручиваю коронки, убираю до конца цемент. Промываю, прочищаю все и фиксирую на 30н/см, закрываю шахты. Изменено 8 октября, 2021 пользователем Fin Ссылка на комментарий
Рекомендуемые сообщения
Для публикации сообщений создайте учётную запись или авторизуйтесь
Вы должны быть пользователем, чтобы оставить комментарий
Создать аккаунт
Зарегистрируйте новый аккаунт в нашем сообществе. Это очень просто!
Регистрация нового пользователяВойти
Уже есть аккаунт? Войти в систему.
Войти