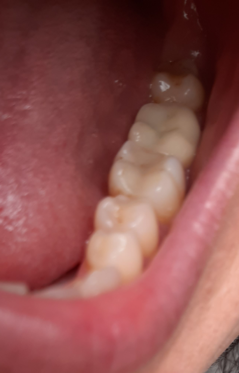
Лана-Лана Опубликовано 1 октября, 2021 Поделиться Опубликовано 1 октября, 2021 Добрый день уважаемые врачи, это опять я с продолжением темы, не знаю как лучше продолжать старую или начать новую тема( заранее извиняюсь) . Поставили мне коронку ( 7ка), при примерке я сразу обратила внимание что коронка ниже чем мои зубы, вернее бугры очень низкие и плоские , зуб практически как пенек, но ортопед сказал что у меня так и был свой видимо низкий , посмотрела на слепки и там все хорошо с этой коронкой. Я доверилась врачу, установили. Но дома я положила на зуб тонкую атласную ленту закрыла рот и она вытащилась ..ещё более менее на контакте с шестеркой а на контакте с восьмым зубом ну практически около десны..и теперь при жевании твердого немного больно десну в той области где коронка совсем низкая. Сказать что я расстроилась ничего не сказать, коронка цирконевая дорогая, что за криворукие техники... Что теперь делать? Может зуб чуть поднимется? Оцените если можно по фото...прилагаю так же снимки до депульпации зуба и после ,видно что он практически одного размера по высоте с другими зубами. И ещё момент в моем случае так неизбежна была вкладка? Почему врач всегда настаивает на вкладке? У меня что сильное разрушение зуба? Штифт ни как не хочет ставить. Цена то в два раза дороже выходит . Ссылка на комментарий
dentikl Опубликовано 1 октября, 2021 Поделиться Опубликовано 1 октября, 2021 Благодарю вас за ответ! Вообщем поняла что я придираюсь) это из Вашего поста за февраль... Ссылка на комментарий
Лана-Лана Опубликовано 1 октября, 2021 Автор Поделиться Опубликовано 1 октября, 2021 (изменено) Это другой был зуб...так контакта нет с соседнем зубом и пища набивается, форма да не нравилась но я с этим смирилась и благо не в зоне улыбки!!! здесь другая проблема нет контакта с верхними зубами, и очень низкий и больно десну когда что то твердое попадает.. Как бы за 30 т за коронку ждёшь более лучшего результата и более точного исполнения ... Изменено 1 октября, 2021 пользователем Лана-Лана Ссылка на комментарий
Лана-Лана Опубликовано 1 октября, 2021 Автор Поделиться Опубликовано 1 октября, 2021 Ещё вопрос второй, по моим фото - это вообще коронка CAD/CAM стоит? Почитала что такие коронки вытачивает компьютер и очень точно , и что то я засомневалась теперь те ли коронки мне поставили..даже анотомических бугорков нет, это все врач в течении часа во рту после установки там подпиливала что бы она не была пеньком... Ссылка на комментарий
Рекомендуемые сообщения
Для публикации сообщений создайте учётную запись или авторизуйтесь
Вы должны быть пользователем, чтобы оставить комментарий
Создать аккаунт
Зарегистрируйте новый аккаунт в нашем сообществе. Это очень просто!
Регистрация нового пользователяВойти
Уже есть аккаунт? Войти в систему.
Войти