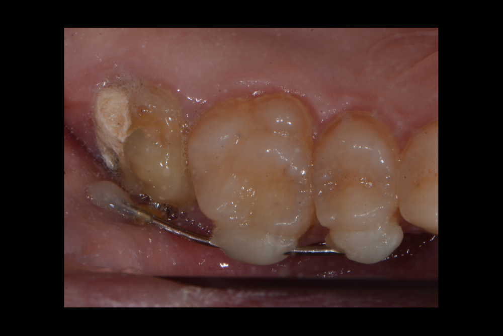
Карен Аванесов Опубликовано 20 сентября, 2021 Поделиться Опубликовано 20 сентября, 2021 (изменено) одномоментной установки имплантата, без вторжения в верхнечелюстной синус, регионарная мягкотканная пластика, выгодная ортопедическая ангуляция, не выгодной небной лунки. Пустоты заполнены губкой дигестол, дополнительная герметизация ликвидам. Мой только хирургический протокол, пациент реферативный. Время работы от удаления до имплантации 40 минут, ожидание до протезирования 3 месяца. Кейс посвящаю одноглазому и зеленому хулигану, любителю пива и девок, не знаю куда он делся, но пусть не грустит, все будет хорошо! Изменено 20 сентября, 2021 пользователем Карен Аванесов 10 1 1 Ссылка на комментарий
сирена Опубликовано 22 сентября, 2021 Поделиться Опубликовано 22 сентября, 2021 Красота. А рентгена нет? 1 Ссылка на комментарий
Карен Аванесов Опубликовано 22 сентября, 2021 Автор Поделиться Опубликовано 22 сентября, 2021 10 минут назад, сирена сказал: Красота. А рентгена нет? Мерси) есть, но тогда, красоту испорчу) Этой работе 4 года, пациент все никак на контроль, перед ковидом собирался и локдаун... как придет покажу. Ссылка на комментарий
сирена Опубликовано 22 сентября, 2021 Поделиться Опубликовано 22 сентября, 2021 Ок) Бум ждать. А длина импланта какая? Ссылка на комментарий
Большой Зеленый Опубликовано 22 сентября, 2021 Поделиться Опубликовано 22 сентября, 2021 Польщён, Карен. Я никуда не делся, я в засаде. Просто некогда писать. Только читаю. Два года назад открыл свою клинику и времени осталось только на сон.. Ссылка на комментарий
Карен Аванесов Опубликовано 25 сентября, 2021 Автор Поделиться Опубликовано 25 сентября, 2021 22.09.2021 в 18:52, сирена сказал: Ок) Бум ждать. А длина импланта какая? 10х4.5 1 Ссылка на комментарий
Карен Аванесов Опубликовано 25 сентября, 2021 Автор Поделиться Опубликовано 25 сентября, 2021 22.09.2021 в 21:30, Большой Зеленый сказал: Польщён, Карен. Я никуда не делся, я в засаде. Просто некогда писать. Только читаю. Два года назад открыл свою клинику и времени осталось только на сон.. Замечательно! Тыж охотник. У тебя года два назад, должнв были уши гореть. Вспомнил "ведерную" болезнь, у пациента, случайно обнаружил и извлек пульку пластиковую из губы, была там года три. Взрослые мальчики играли в пистолетики стреляли в друг друга, ну и попала пулька в губу и зароста, не документировал. Говорит не мешала, а этот участок он просто подсасывал, типо пирсинга. 1 1 Ссылка на комментарий
Рекомендуемые сообщения
Для публикации сообщений создайте учётную запись или авторизуйтесь
Вы должны быть пользователем, чтобы оставить комментарий
Создать аккаунт
Зарегистрируйте новый аккаунт в нашем сообществе. Это очень просто!
Регистрация нового пользователяВойти
Уже есть аккаунт? Войти в систему.
Войти