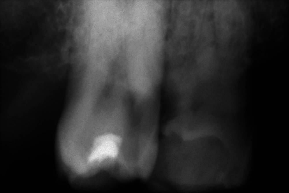
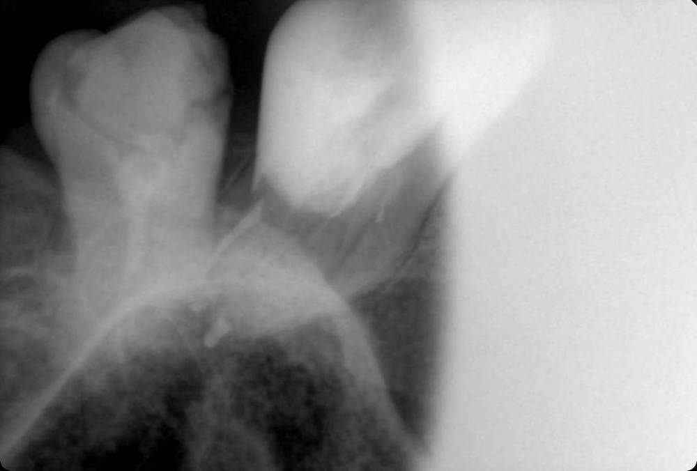
GENRY Опубликовано 6 сентября, 2021 Поделиться Опубликовано 6 сентября, 2021 Здравствуйте! Как лучше восстановить ( пусть частично) 28 зуб? Удаление не желательно т.к. с имплантацией связываться не хочу (синус лифтинг.. возраст 75 лет...) ,а опор для ортопедических конструкций нет. Кроме того боюсь, что в процессе удаления будет разрушена пломба 27 _го. Оптимизма добавляет история 27 го На орто 2012г показан 27 до его восстановления и до вмешательства в 28 зуб с добавлением в него пломбы в 2012г . Канал 28_го (небный ?) был уже запломбирован кем то раньше, скорее всего резорцин-формалиновой пастой) Доктор в 27 - м обнаружил на снимках 3 канала, наполовину прошел небный и полностью прошел дистально- щечный канал с наполнением их горячей гуттаперчей . Поскольку устье 3_го канала обнаружено не было, восстановил 27 зуб 2_мя стекловолоконными штифтами с использованием Build-It . Дистальную стенку сделал, кажется на основе пасты СПЕКТРУМ . К дальнейшей судьбе 27_го доктор отнесся скептически ( не более 2_х лет!), но похоже сработал надежно, пошел уже 10_й год, а 27 все стоит. Но 10 мес. назад выпала пломба 28 _го и он принял вид показанный на снимке. Не беспокоит. Хотелось бы повторить историю с 27_м, т.е. восстановить 28 по типу 27_го .... думаю мне хватит 5_7 лет... Регулировать нагрузки на этой стороне челюсти я научился. Сделал КТ сегмента 27_28 (В Пикассо, Vatech, просмотрщик EZ3D2009 plus ) но не смог найти ( сейчас живу в Феодосии ) терапевта работающего с этой программой. Кто то вообще не использует никакие КТ (но при этом берется за восстановление штифтом без перелечивания каналов) , кто то готов к перелечиванию, но полагается только на свои мануальные навыки, игнорируя КТ или формально глянув на пару проекций. На последней консультации добился 4-х снимков из КТ, но в общем то случайных и скорее всего не показательных.. Выкладываю скриншоты... Понял, что надо выходить за пределы городка и расширять собственное (к сожалению) понимание возможных вариантов лечения и их последствий. Вопросы по 28: 1. Если хотя бы один канал запломбирован (видимый на снимке) то это автоматически означает вскрытие камеры , а значит вскрытие и убитость содержимого (нервов, сосудов) всех остальных каналов , поскольку их устья на дне камеры? (Да, Нет, Другое) 2. Если Да, то нормально ли было пломбировать 28, не найдя и не залечив (с пломбировкой) другие каналы одновременно с небным (я имею ввиду сейчас самую раннюю пломбировку, до представленного орто) 3. Поскольку пломбировки всех каналов (сколько их ?) точно не было, то за эти 10-15 (?) лет (уже сейчас зуб стоит открытым почти год (ковид, консультации..)) должен развится пульпит, периодонтит... ? Или не обязательно? Ничего не болело, никаких выделений не было 4. Есть ли признаки какой либо хроники, воспалений в тканях на снимках? 5. Если ткани зуба и около него в порядке, то может не обязательно перелечивать все каналы, чтобы не ослаблять зуб? А только те, в которые будут вставлены штифты? Вкладка, похоже исключается т.к. феррул не замкнут на стыке с 27 зубом. 6. Есть ли какие либо оценки минимального количества требуемых штифтов ? 7 . Поскольку за 4 консультации я так и не получил ответов и снимков срезов (по КТ )показывающих количество и топологию корней и каналов, то придется добывать эту информацию самому. Буду благодарен за ссылки на материалы показывающих как это делается т.е. в каких из 3 проекций, при каком положении осей и.т.п. Я нашел только хороший ролик Ервандяна А.Г., но мне недостаточно, не хватает знания топологии зубов. Спасибо за внимание. Ссылка на комментарий
red_butler Опубликовано 6 сентября, 2021 Поделиться Опубликовано 6 сентября, 2021 восьмой удалять 1 Ссылка на комментарий
dentikl Опубликовано 6 сентября, 2021 Поделиться Опубликовано 6 сентября, 2021 (изменено) Зачем?(сохранять).Вызовет суставную патологию.Найдите ортопеда(плюс хирурга- имплантолога) и проведите нормальную протетику остальных. Изменено 6 сентября, 2021 пользователем dentikl 1 Ссылка на комментарий
GENRY Опубликовано 6 сентября, 2021 Автор Поделиться Опубликовано 6 сентября, 2021 1 час назад, dentikl сказал: Зачем?Вызовет суставную патологию. Т.е. кроме рисков, обычно связанных с удалением, отсутствие 28 зуба нарушит правильную "механику" функционирования верхн. и нижних челюстей? 1 час назад, dentikl сказал: Найдите ортопеда(плюс хирурга- имплантолога) и проведите нормальную протетику остальных. Если можно чуть подробнее... новый для меня термин "протетика" и что значит "остальных"? Спасибо за отклик! Ссылка на комментарий
dentikl Опубликовано 6 сентября, 2021 Поделиться Опубликовано 6 сентября, 2021 (изменено) нет.Присутствие "вылеченного" 28 зуба может привести к суставной патологии.Зуб нужно удалять. Во рту отсутствует 7 зубов.Несколько депульпированных восстановлены пломбами.Прийдите на очный прием к ортопеду-он составит план реабилитации. Изменено 6 сентября, 2021 пользователем dentikl Ссылка на комментарий
GENRY Опубликовано 6 сентября, 2021 Автор Поделиться Опубликовано 6 сентября, 2021 Поясню свое стремление сохранить 28-ой, похоже здесь "возрастное" непонимание. Мне 75 т.е. согласно статистике для мужчин из РФ, в среднем осталось жить лет 6. Зубы еще год назад как то работали (пусть и с патологиями, нарушениями механики и.т.п.)..приспособился. Если бы такое состояние продолжилось еще 6 лет _ меня бы устроило.. Т.е вопрос для меня не в том, чтобы все в этом углу соответствовало стоматологическим канонам, а можно ли вернуться к состоянию : год назад? В 2012 был снят кусок 28 _го, примыкающий к 27 _му (наверное мешал реставрации 27_го) и заменен пломбой. Каналы не трогались. Вряд ли они были герметизированы этой пломбой от среды, кроме одного _запломбированного. Но зуб простоял 9 лет. 10 мес. назад эта пломба выпала. Возможно за эти годы в системе среда _каналы_кость ничего не изменилось и простое добавление пломбы (со штифтами или без) вернет зуб в прежнее состояние и я спокойно уйду с ним в мир иной. Меня это устроит. И не надо мне в этом случае ни удаления. ни имплантов, ни ортопедов. А может в системе среда _каналы_кость уже произошли изменения (инфицирование, хроника, воспаления и.т.п ) и такой вариант не прокатит? И это уже видно по снимкам? Тогда другое дело...здесь и возникают удаления. импланты, ортопеды. А может еще этих изменений нет, но они могут возникнуть при препарации...прохождении каналов (может они зацементировались сами?, а мы их вскроем)... и.т.п. Тогда как снизить риски такого развития событий? Для выяснения , какая ситуация имеет место, и нацелены мои вопросы.. Ссылка на комментарий
dentikl Опубликовано 6 сентября, 2021 Поделиться Опубликовано 6 сентября, 2021 Если мы рассматриваем Ваш клинический случай с не врачебной точки зрения ,то стоит ли слушать советы врачей? 2 Ссылка на комментарий
GENRY Опубликовано 7 сентября, 2021 Автор Поделиться Опубликовано 7 сентября, 2021 21 час назад, dentikl сказал: Если мы рассматриваем Ваш клинический случай с не врачебной точки зрения .... А где я это утверждаю? Общаюсь вежливо и уважительно.... выложил свои надежды и аргументы под них... надеясь получить конкретный отклик.... ( указание на конкретное заблуждение, оценку состояния тканей.... и.т.п.... (все изложено выше в вопросах и постах)).... У ортопеда, конечно, уже бывал : вердикт : ... при таком отсутствии зубов _ надежным будет только съемное протезирование. И совет попытаться спасти 28 зуб , если съемные протезы пугают меня больше , чем состояние до выпадения пломбы... Что я и пытаюсь слелать... Ссылка на комментарий
dentikl Опубликовано 7 сентября, 2021 Поделиться Опубликовано 7 сентября, 2021 покажите плз фото нижних и верхних передних зубов.Можно телефоном.Верхние-чтобы увидеть режущий край (если он сохранен) Ссылка на комментарий
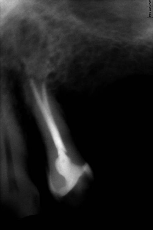
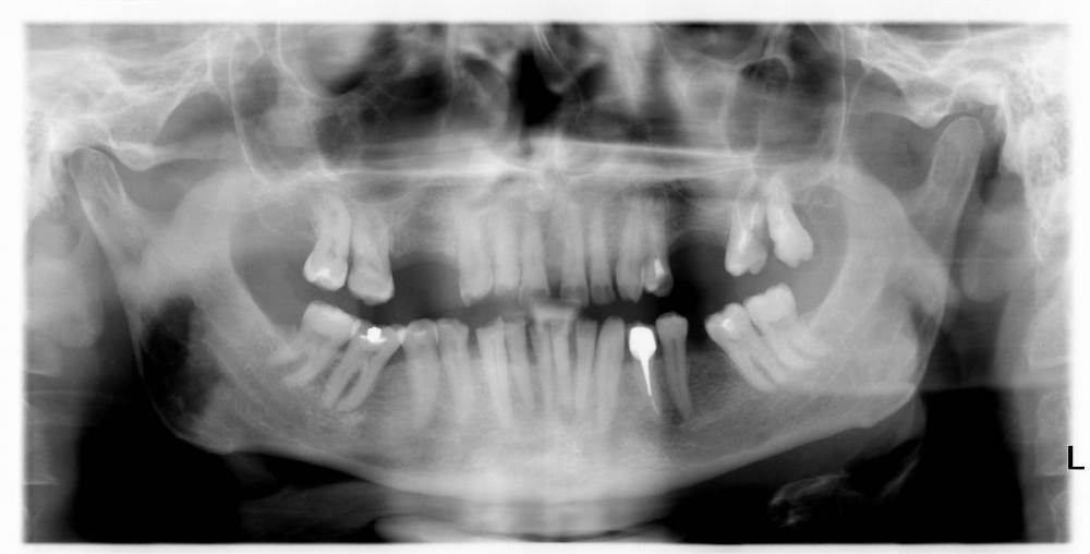
GENRY Опубликовано 8 сентября, 2021 Автор Поделиться Опубликовано 8 сентября, 2021 12 часов назад, dentikl сказал: покажите плз фото нижних и верхних передних зубов.Можно телефоном.Верхние-чтобы увидеть режущий край (если он сохранен) Представленная раньше орто сделана в 2012г. Произошли изменения: 11,21,22 - живые с коронками; 12 - коронка на вкладке; 24 - был треснут, эндопролечен (фото прилагается), восстановлен; 13,23 - живые, но сильно стерты, особенно у десны . Займусь ими после разборки с 28 (и 18). они стоят открытые, На 17 одета металлическая коронка. 18 лишился пломбы 2 мес. назад. На след. неделе еду на его лечение. Снимок 17,18 перед лечением в 2013 _ прилагаю Ссылка на комментарий
Рекомендуемые сообщения
Для публикации сообщений создайте учётную запись или авторизуйтесь
Вы должны быть пользователем, чтобы оставить комментарий
Создать аккаунт
Зарегистрируйте новый аккаунт в нашем сообществе. Это очень просто!
Регистрация нового пользователяВойти
Уже есть аккаунт? Войти в систему.
Войти