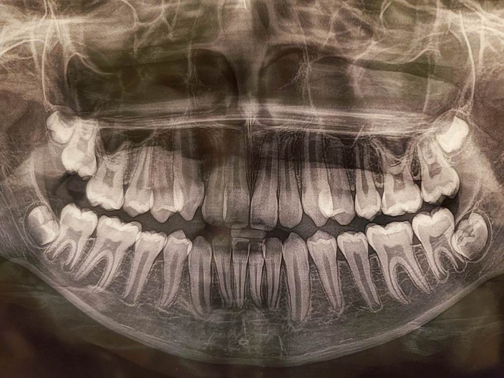
Sapfir Опубликовано 26 августа, 2021 Поделиться Опубликовано 26 августа, 2021 (изменено) Здравствуйте! Ребенку 11 лет, зубы начали налазить друг на друга. Хотим выправить, но брекеты рекомендуют с 13 лет. Что посоветуете в этом случае? Фото прикрепил. Изменено 26 августа, 2021 пользователем Sapfir Добавил дополнительное фото Ссылка на комментарий
St. Опубликовано 26 августа, 2021 Поделиться Опубликовано 26 августа, 2021 Добрый день. Сходите к еще одному ортодонту на консультацию послушать альтернативное мнение. Я бы не откладывала лечение на 2 года, тем более что справа 7 сам без помощи ортодонта не прорежется и после формирования корня вытягивать его будет сложнее. Помимо этого скорее всего нижние зубы мудрости нужно будет удалять не дожидаясь их полного формирования, т.к. они уже упираются в соседей и дальше будет сложнее. Еще обратите внимание на боковые зубы - по снимку там вероятен кариес 16,26 зубов, но нужно посмотреть очно в скольки зубах он есть (не все кариесы видно на снимках) 1 1 Ссылка на комментарий
Sapfir Опубликовано 12 декабря, 2021 Автор Поделиться Опубликовано 12 декабря, 2021 (изменено) @St. Здравствуйте! Спустя время перечитал ваше сообщение и понял, что когда мы были на консультации у ортодонта (повторно, уже у другого), то врач при формировании плана лечения для ребенка ничего не сказала про нижние зубы мудрости, которые упираются в соседние. План лечения составила такой: установка пластины вверху и через небольшой промежуток времени на ночь нужно будет одевать лицевую маску для того, чтобы сформировать верхнюю челюсть, т.к. верх. челюсть (как я понял) меньше и поэтому не правильный прикус. После какого-то промежутка времени оденут брекеты. На данном этапе мы запломбировали все зубы, сделали дополнительно боковые снимки и врач сняла слепки. Вопрос такой: как Вы считаете, в нашем случае нужно удалять нижние зубы мудрости? Это важно сделать сейчас, перед началом лечения, как думаете? Изменено 12 декабря, 2021 пользователем Sapfir Ссылка на комментарий
St. Опубликовано 13 декабря, 2021 Поделиться Опубликовано 13 декабря, 2021 О, то что есть подвижки вперед и уже полечили кариесы - это отлично! По зубам мудрости удалять нужно, но можно позже, пока время есть, ортодонт будет контролировать их положение в процессе лечения. 1 Ссылка на комментарий
Sapfir Опубликовано 14 декабря, 2021 Автор Поделиться Опубликовано 14 декабря, 2021 @St. Спасибо большое за Ваши советы, они очень помогают. 1 Ссылка на комментарий
Рекомендуемые сообщения
Для публикации сообщений создайте учётную запись или авторизуйтесь
Вы должны быть пользователем, чтобы оставить комментарий
Создать аккаунт
Зарегистрируйте новый аккаунт в нашем сообществе. Это очень просто!
Регистрация нового пользователяВойти
Уже есть аккаунт? Войти в систему.
Войти