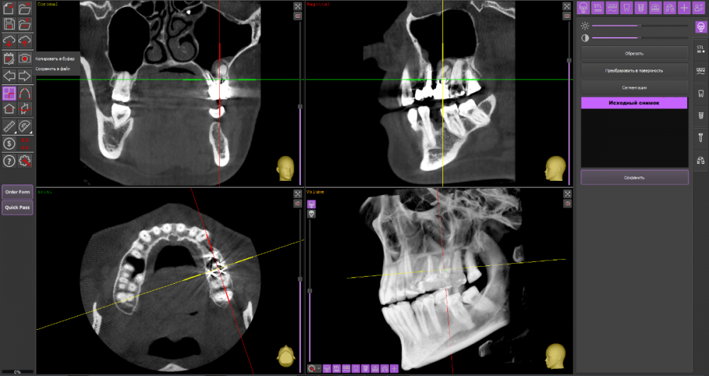
DeLaMer Опубликовано 11 августа, 2021 Поделиться Опубликовано 11 августа, 2021 (изменено) Добрый день уважаемым докторам-участникам форума. Хотелось бы, по возможности, получить экспертное мнение по поводу моей проблемы. На верхней челюсти есть мост, объединяющий 6й, 5й и отсутствующий 4 зубы (если я правильно понимаю нумерацию, это должны быть 24, 25, 26). В начале июня на десне открылся свищ с гноем (абсцесс, но, видимо, не острый, кроме периодического надувания гнойного шарика ничего больше не происходило). По этом поводу мой лечащий врач поднял КТ, которое было сделано осенью до того по другому поводу и обнаружила воспаление одного из корней 6-го зуба. При этом она высказала соображение, что может быть здесь поможет резекция верхушки того самого корня. Один из хирургов, с которым я консультировалась по этому поводу, сказал, что на его взгляд резекция возможна. Другой - что воспаление проявляется не только на одном корне, а на двух и по его мнению сделать тут ничего нельзя, только распиливать коронку и удалять 6й зуб. Я была бы крайне благодарна, если бы уважаемые специалисты высказали свое мнение по этому поводу, потому что при равноценных двух противоположных мнениях мне даже не понятно с чего начинать. Прикрепляю ссылку на файл КТ на своем дропбоксе. Огромное спасибо за помощь https://www.dropbox.com/s/fkv8cvqqq6grgpe/Sergeeva A..zip?dl=0 Изменено 11 августа, 2021 пользователем DeLaMer Ссылка на комментарий
wladdX Опубликовано 12 августа, 2021 Поделиться Опубликовано 12 августа, 2021 Мне кажется,что зуб 26 стоит удалить 1 Ссылка на комментарий
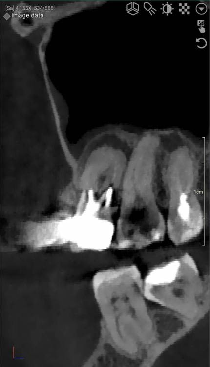
Irouil Опубликовано 12 августа, 2021 Поделиться Опубликовано 12 августа, 2021 На мой взгляд тут резекция верхушки корня не поможет так как верхушка корня - далеко не единственная проблема этого зуба Ссылка на комментарий
DeLaMer Опубликовано 12 августа, 2021 Автор Поделиться Опубликовано 12 августа, 2021 @wladdX , большое спасибо за Ваше мнение, уважаемый @Irouil , Вы не могли бы подсказать, что еще не так с этим зубом? Мост стоит около 10 лет и все это время с ним не было никаких проблем, ни боли, ни воспалений в этой области. Ссылка на комментарий
Irouil Опубликовано 12 августа, 2021 Поделиться Опубликовано 12 августа, 2021 По представленным средам создаётся впечатление, что у зуба фактически разрушено соединение между корнями. Риски того, что он под нагрузкой раскроется в любой момент, достаточно высоки Ссылка на комментарий
DeLaMer Опубликовано 12 августа, 2021 Автор Поделиться Опубликовано 12 августа, 2021 @Irouil , большое спасибо за объяснение! Ссылка на комментарий
АнтонТЛТ Опубликовано 13 августа, 2021 Поделиться Опубликовано 13 августа, 2021 (изменено) Там всё ок с фуркацией и вкладка коротконогая. Просто на КТ очень много артефактов. Изменено 13 августа, 2021 пользователем АнтонТЛТ Ссылка на комментарий
Рекомендуемые сообщения
Для публикации сообщений создайте учётную запись или авторизуйтесь
Вы должны быть пользователем, чтобы оставить комментарий
Создать аккаунт
Зарегистрируйте новый аккаунт в нашем сообществе. Это очень просто!
Регистрация нового пользователяВойти
Уже есть аккаунт? Войти в систему.
Войти