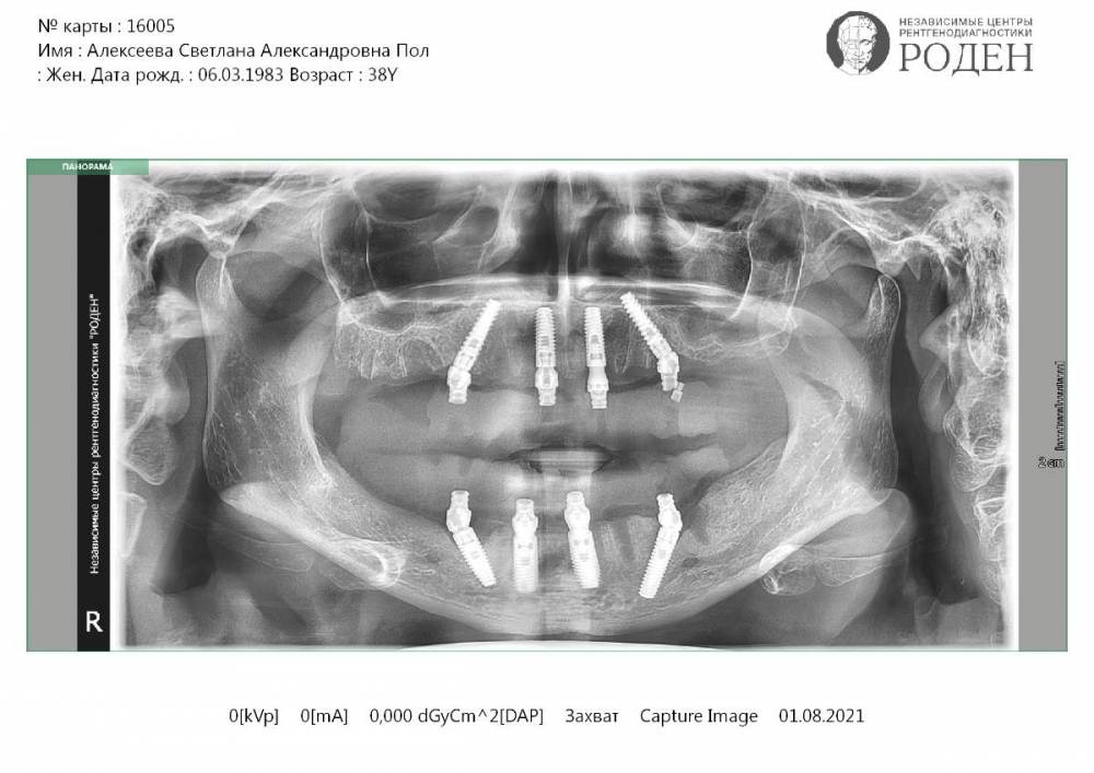
stoliza Опубликовано 2 августа, 2021 Поделиться Опубликовано 2 августа, 2021 Добрый день уважаемые специалисты! Очень прошу Вас помочь с консультацией. По собственной глупости и жадности вляпалась в неприятную историю с полной имплантацией на обе челюсти. Операция была 10 июня. По плану наверху должно быть 6 имплантов, внизу 4. Временный протез предусмотрен не был, обещали сразу ставить постоянный (в плане лечения временный протез тоже отсутствует). Слепки сняли только 4 день, сняли плохо. на 5ый день вызвали переделывать. После операции, дома, я обнаружила, что наверху не 6 заглушек торчит, а всего 4. Я позвонила в клинику, мне ответили, что все нормально, 2 импланта не выведены и находятся в состоянии покоя. На 7 день мне установили протез. протез оказался неудобным, прикус поднят очень высоко, очень большие пустоты между деснами и зубами. Я сообщила об этом доктору, мне сказали терпеть, что через 6 месяцев сделают другой протез, все так и должно быть. Лучше мне не становилось, полторы недели назад у меня началась острая боль снизу слева где-то в глубине десны, болело не постоянно, а только если сомкнуть зубы. Я обратилась в клинику, мне сказали терпеть и приходить через 2 дня, когда будет зубной техник. Я пришла через 2 дня, мне сняли нижний протез. Доктор осмотрела внешние ткани, сказала, что все нормально, вероятно болит костная пластика, снимок делать не нужно, так как с момента установки имплантов прошло очень мало времени и мы ни чего не увидим. 31 числа боль стала постоянной, я не выдержала и пошла делать панорамный снимок самостоятельно. Я не ожидала увидеть там что-то, поскольку не разбираюсь в снимках. Но когда получила результаты исследования оказалось, что наверху стоит не 6 имплантов, наличие которых стоит по плану и по словам врача они просто не выведены, а всего 4, и с одним из них визуально что-то не так. Сегодня, я с этим снимком пойду выяснять, где еще 2 импланта и почему болит снизу слева. но я боюсь, что меня опять обманут, скажут что все хорошо, а по факту просто не сообщат о проблеме (как и о том, что не установили 2 имплантата, что протеза будет 2 и т.д.). Речь уже не просто о деньгах, а о моем здоровье. Я боюсь! Пожалуйста, прокомментируйте снимок. Очень прошу, посмотрите, что с имплантами, может быть Вы по снимку сможете понять, что болит слева снизу. Правильно ли импланты установлены? Что бы придя к врачу я хотя бы понимала, на что нужно обратить внимание, в каком направлении действовать и что вообще происходит. Ссылка на комментарий
Irouil Опубликовано 2 августа, 2021 Поделиться Опубликовано 2 августа, 2021 На представленном снимке действительно по 4 импланта установлено на верхней и нижней челюстях. Явных признаков нарушения протокола все-на-4 я не вижу В качестве дополнительной меры исследования области, которая Вас беспокоит, я могу посоветовать КТ челюстей Ссылка на комментарий
red_butler Опубликовано 2 августа, 2021 Поделиться Опубликовано 2 августа, 2021 по снимку с имплантами проблем не увидел, в одном импланте раскрутился фиксирующий винт, с квитанцией доктор наверное ошибся Ссылка на комментарий
stoliza Опубликовано 2 августа, 2021 Автор Поделиться Опубликовано 2 августа, 2021 Только что, Irouil сказал: На представленном снимке действительно по 4 импланта установлено на верхней и нижней челюстях. Явных признаков нарушения протокола все-на-4 я не вижу В качестве дополнительной меры исследования области, которая Вас беспокоит, я могу посоветовать КТ челюстей Огромное Вам спасибо! Ссылка на комментарий
stoliza Опубликовано 2 августа, 2021 Автор Поделиться Опубликовано 2 августа, 2021 4 минуты назад, red_butler сказал: по снимку с имплантами проблем не увидел, в одном импланте раскрутился фиксирующий винт, с квитанцией доктор наверное ошибся Спасибо большое!!! Ссылка на комментарий
Рекомендуемые сообщения
Для публикации сообщений создайте учётную запись или авторизуйтесь
Вы должны быть пользователем, чтобы оставить комментарий
Создать аккаунт
Зарегистрируйте новый аккаунт в нашем сообществе. Это очень просто!
Регистрация нового пользователяВойти
Уже есть аккаунт? Войти в систему.
Войти