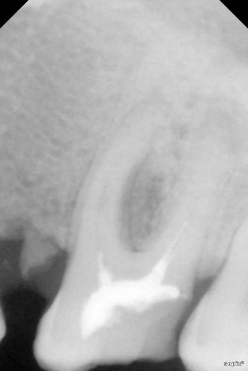
Siegfrid Опубликовано 29 июля, 2021 Поделиться Опубликовано 29 июля, 2021 Был у нескольких врачей в разных клиниках и мнения разошлись. В двух клиниках нашли проблемы сумма оказалась большой сходил в недорогую клинику, там проблемы не видят.. 2.6 и 2.7 Зуб со свищем 2 разных врача берутся лечить с шансом примерно 40% на успех, 1 врач говорит что только удаление. Ссылка на комментарий
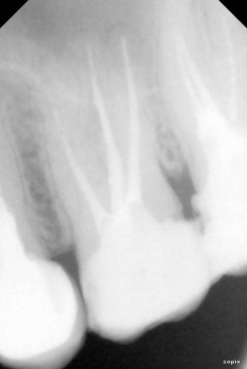
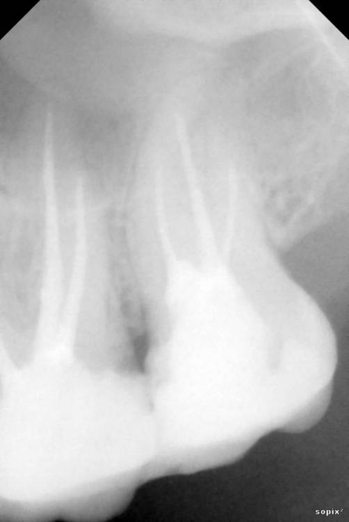
Siegfrid Опубликовано 30 июля, 2021 Автор Поделиться Опубликовано 30 июля, 2021 Между зубами 2.6 и 2.7 набивается еда и гниет, когда я пошел в клинику на консультацию когда сделали снимок нашли что также плохо полечены каналы и для полного лечения двух зубов оказалась большая сумма которой у меня нету, я об этом сказал тогда мне предложили перепломбировать чтобы не набивалась еда, предупредив что непролеченные каналы со временем приведут к потере зубов. Я сходил в другую клинику, врач нашел кариес на одном из этих зубов но так как уходил в отпуск записал к другому врачу этого же заведения, я дожался своей очереди и вот он не видит проблем с зубами кроме того что со свищем. Что мне делать дальше? Ссылка на комментарий
St. Опубликовано 30 июля, 2021 Поделиться Опубликовано 30 июля, 2021 Добрый день. В верхних зубах есть большие пломбы с кариесом между зубами. Нужно покрыть их коронками, предварительно перелечив каналы. Если финансово пока не готовы к этому, то возможно временно откорректировать пломбы или сделать временные пластмассовые коронки. С нижним зубом рекомендации такие же - перелечить каналы и покрыть коронкой 1 Ссылка на комментарий
Рекомендуемые сообщения
Для публикации сообщений создайте учётную запись или авторизуйтесь
Вы должны быть пользователем, чтобы оставить комментарий
Создать аккаунт
Зарегистрируйте новый аккаунт в нашем сообществе. Это очень просто!
Регистрация нового пользователяВойти
Уже есть аккаунт? Войти в систему.
Войти