mysterious Опубликовано 23 июля, 2021 Поделиться Опубликовано 23 июля, 2021 здравствуйте. такая ситуация. мне 41, мужчина. началось несколько лет назад с небольших пятен. постепенно увеличиваются и темнеют. я почти уверен, что сначала постепенно, поднялись десны у этих проблемных зубов (хотя в одном из мест где я был, на очной консультации мне сказали, что такого быть не может) а затем появились эти (очаги? кариес?). возможно и то и другое началось одновременно - сложно сказать. в одном месте вердикт был вредное воздействие (производство, экология), хотя ничего такого не было. в другом, что причина в неправильном прикусе (не знаю, что ж оно 37 лет было нормально, а потом началось?..). пожалуйста поделитесь своими версиями причин и того что вообще можно сделать чтобы сохранить родные зубы. кажется пломбы ставить смысла нет, так как проблема прогрессирует. спасибо Ссылка на комментарий
art700 Опубликовано 23 июля, 2021 Поделиться Опубликовано 23 июля, 2021 Прикус исправляйте 1 Ссылка на комментарий
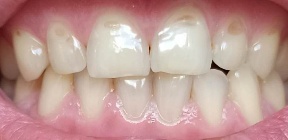
St. Опубликовано 26 июля, 2021 Поделиться Опубликовано 26 июля, 2021 Добрый день. Это не кариес, а стертые\сколотые фрагменты эмали которые прокрасились со временем пищевыми красителями. Причин может быть много, в том числе проблемы с прикусом или привычка сильно стискивать зубы днем или ночью. Ссылка на комментарий
red_butler Опубликовано 27 июля, 2021 Поделиться Опубликовано 27 июля, 2021 похоже на агрессивную чистку зубов с преобладанием горизонтальных движений Ссылка на комментарий
mysterious Опубликовано 28 июля, 2021 Автор Поделиться Опубликовано 28 июля, 2021 23.07.2021 в 22:52, art700 сказал: Прикус исправляйте так дело в прикусе? или прикус исправлять заодно? Ссылка на комментарий
mysterious Опубликовано 28 июля, 2021 Автор Поделиться Опубликовано 28 июля, 2021 14 часов назад, red_butler сказал: похоже на агрессивную чистку зубов с преобладанием горизонтальных движений очевидная версия, правда? но нет, чистка нормальная, мягкой щеткой. и если бы это было так то почему нижние десны и зубы в порядке? Ссылка на комментарий
mysterious Опубликовано 28 июля, 2021 Автор Поделиться Опубликовано 28 июля, 2021 26.07.2021 в 14:10, St. сказал: Добрый день. Это не кариес, а стертые\сколотые фрагменты эмали которые прокрасились со временем пищевыми красителями. Причин может быть много, в том числе проблемы с прикусом или привычка сильно стискивать зубы днем или ночью. здравствуйте. простите, а как бруксизм может повлиять именно на эти места и не повлиять на места непосредственного контакта зубов друг с другом? и тем более вызвать подъём десен и сколы эмали в этих местах? Ссылка на комментарий
art700 Опубликовано 28 июля, 2021 Поделиться Опубликовано 28 июля, 2021 19 часов назад, red_butler сказал: похоже на агрессивную чистку зубов с преобладанием горизонтальных движений ))) 5 часов назад, mysterious сказал: так дело в прикусе? или прикус исправлять заодно? Дело в смыкание скорее всего, в окклюзионной схеме. Ищите ортопеда, делайте диагностику и план лечения, затем уже ортодонт Ссылка на комментарий
St. Опубликовано 29 июля, 2021 Поделиться Опубликовано 29 июля, 2021 28.07.2021 в 08:07, mysterious сказал: простите, а как бруксизм может повлиять именно на эти места и не повлиять на места непосредственного контакта зубов друг с другом? и тем более вызвать подъём десен и сколы эмали в этих местах? Может, еще как) Есть своя физика движений, зон растяжения и сжатия в зубах. если интересно погуглите Ссылка на комментарий
Рекомендуемые сообщения
Для публикации сообщений создайте учётную запись или авторизуйтесь
Вы должны быть пользователем, чтобы оставить комментарий
Создать аккаунт
Зарегистрируйте новый аккаунт в нашем сообществе. Это очень просто!
Регистрация нового пользователяВойти
Уже есть аккаунт? Войти в систему.
Войти