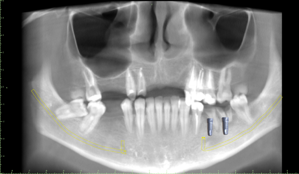
Женька Опубликовано 19 июля, 2021 Поделиться Опубликовано 19 июля, 2021 Коллеги, как решали бы ситуацию с толщиной? и решали бы вообще? Будет шаблон под пилотное сверление. 2.5 и 2.6 на ортоинтрузии в данный момент. Верх скорее всего бюгель будет. 4.8 удалю, 4.7 хотим апрайтинг сделать. Ссылка на комментарий
Евгений Ходыкин Опубликовано 19 июля, 2021 Поделиться Опубликовано 19 июля, 2021 "Топить" глубже и всё. Уверены, что верх интрудировать получится? Ссылка на комментарий
Irouil Опубликовано 19 июля, 2021 Поделиться Опубликовано 19 июля, 2021 По предоставленным снимкам отличные условия для имплантации Ссылка на комментарий
Женька Опубликовано 19 июля, 2021 Автор Поделиться Опубликовано 19 июля, 2021 @Евгений Ходыкин Глубже этого "перешейка" тонкого? планирую вот так Ссылка на комментарий
Женька Опубликовано 19 июля, 2021 Автор Поделиться Опубликовано 19 июля, 2021 @Евгений Ходыкин не уверен, но это сделали в другой клинике, тк на данный момент мы не располагаем ортодонтом и знаниями по установке ортовинтов) Ссылка на комментарий
Женька Опубликовано 20 июля, 2021 Автор Поделиться Опубликовано 20 июля, 2021 @Irouil хотите сказать, что и решать тут ничего не надо? просто ставить и всё? Ссылка на комментарий
Irouil Опубликовано 20 июля, 2021 Поделиться Опубликовано 20 июля, 2021 Нет, решать есть чего, но не по хирургии, в основном. Решайте что с окклюзией будет, а костные условия предполагают «малоинвазивность») Только мягких тканей не забыть Ссылка на комментарий
Женька Опубликовано 20 июля, 2021 Автор Поделиться Опубликовано 20 июля, 2021 @Irouil а что по утоплению? ставить ещё глубже, или по планируемому срезу достаточно? Ссылка на комментарий
Irouil Опубликовано 20 июля, 2021 Поделиться Опубликовано 20 июля, 2021 Ставить по ортопедии Ссылка на комментарий
Евгений Ходыкин Опубликовано 22 июля, 2021 Поделиться Опубликовано 22 июля, 2021 20.07.2021 в 18:31, Женька сказал: @Irouil а что по утоплению? ставить ещё глубже, или по планируемому срезу достаточно? Ещё глубже Ссылка на комментарий
annda Опубликовано 22 июля, 2021 Поделиться Опубликовано 22 июля, 2021 А просто прикус поднять,нет? 25м пробить дно ГП-это серьезная заявка. Ссылка на комментарий
Женька Опубликовано 22 июля, 2021 Автор Поделиться Опубликовано 22 июля, 2021 @annda ортодонта пациент увидит только в сентябре. Вот пусть и решает дальше. Я к сожалению в этом плане бессилен. Если получится так, что задвинуть не получилось - будем поднимать коронками. Но правильно ли я понимаю, что все зубы придётся нарядить? то бишь тотал сделать? @Евгений Ходыкин Но шейка же окажется в самом узком месте тогда. Не станет ли это причиной неудачи в последствии (при прочих условных идеалах)? Ссылка на комментарий
annda Опубликовано 22 июля, 2021 Поделиться Опубликовано 22 июля, 2021 А все-это какие?Там от всех нижний фронт остался,который небо жует,ну или чуть-чуть и жевать начнет...Все остальное так и так надо короновать,так или иначе.Конечно,по ОПТГ тяжело судить-рядить,я потому и через вопрос предположила.Но интрудировать депульпированный премоляр и моляр ,упирающиеся в ГП-смелое решение,удачи.Главное ,смысл в данной клинической ситуации.Может,модели посмотрим и смыслы развидим,все возможно. Ссылка на комментарий
Евгений Ходыкин Опубликовано 23 июля, 2021 Поделиться Опубликовано 23 июля, 2021 @Женька шейка ниже жёлтой линии, которую нарисовали. 1 Ссылка на комментарий
Женька Опубликовано 23 июля, 2021 Автор Поделиться Опубликовано 23 июля, 2021 @Евгений Ходыкин Ого как глубоко… а как потом это проснять, и кость формиком не раздавить? Ссылка на комментарий
Евгений Ходыкин Опубликовано 24 июля, 2021 Поделиться Опубликовано 24 июля, 2021 10 часов назад, Женька сказал: @Евгений Ходыкин Ого как глубоко… а как потом это проснять, и кость формиком не раздавить? Профилируете кость, разумеется Ссылка на комментарий
Женька Опубликовано 26 июля, 2021 Автор Поделиться Опубликовано 26 июля, 2021 @Евгений Ходыкин так ведь вроде нельзя делать (как на оптг) или я ошибаюсь? Ссылка на комментарий
Irouil Опубликовано 26 июля, 2021 Поделиться Опубликовано 26 июля, 2021 Я бы придал имплантам немного ангуляции Ссылка на комментарий
Евгений Ходыкин Опубликовано 27 июля, 2021 Поделиться Опубликовано 27 июля, 2021 (изменено) 20.07.2021 в 00:03, Женька сказал: планирую вот так У Вас 3 варианта: 1. Как спланировано на скрине Вашем + можно конденсорами поработать. 2. Топить глубже. 3. НКР 4. Решать, конечно же, Вам)) Изменено 27 июля, 2021 пользователем Евгений Ходыкин 1 Ссылка на комментарий
Женька Опубликовано 27 июля, 2021 Автор Поделиться Опубликовано 27 июля, 2021 30 минут назад, Евгений Ходыкин сказал: 2. Топить глубже. всё-таки я правильно понимаю, что у двух соседних имплантатов желательно размещать платформы на одном уровне? Ссылка на комментарий
Евгений Ходыкин Опубликовано 27 июля, 2021 Поделиться Опубликовано 27 июля, 2021 7 часов назад, Женька сказал: всё-таки я правильно понимаю, что у двух соседних имплантатов желательно размещать платформы на одном уровне? Не обязательно Ссылка на комментарий
Рекомендуемые сообщения
Для публикации сообщений создайте учётную запись или авторизуйтесь
Вы должны быть пользователем, чтобы оставить комментарий
Создать аккаунт
Зарегистрируйте новый аккаунт в нашем сообществе. Это очень просто!
Регистрация нового пользователяВойти
Уже есть аккаунт? Войти в систему.
Войти