Анюсик Опубликовано 17 июля, 2021 Поделиться Опубликовано 17 июля, 2021 Добрый день! Ситуация такая, удалила ретенированнную дистопированную 8-ку.Она меня особо не беспокоила, просто за ней всегда скапливалась пища и прорезалась она с сильным насморком, я решила посмотреть, что там и сделала снимок, врач сказал что надо удалять иначе, могу потерять седьмой зуб. Я испугалась и согласилась на удаление. И если раньше меня ничего особо не беспокоило, то сейчас у меня появилась проблема: стала травмироваться слизистая над нижней 8-кой, там постоянная болячка и она как бы печёт и вообще мне как то дискомфортно без этого зуба. Врачи говорят, что надо удалять сейчас и нижний зуб, но он здоровый и ровный. Уже год так мучаюсь, помогите пожалуйста. 1.скажите, правильно ли я сделала, что удалила эту верхнюю левую 8-ку? 2.можно ли что то сделать без удаления нижнего зуба(отшлифовать 8 нижний, подвинуть 7-ку, она немного в щеку смещена, срезать капюшон над нижней 8 или может что то ещё)? Ссылка на комментарий
It'sGeorgy Опубликовано 17 июля, 2021 Поделиться Опубликовано 17 июля, 2021 Добрый день! 1 час назад, Анюсик сказал: 1.скажите, правильно ли я сделала, что удалила эту верхнюю левую 8-ку? Абсолютно правильно. Скажите спасибо вашему доктору, который правильно оценил ситуацию и отправил вас на удаление. 1 час назад, Анюсик сказал: Врачи говорят, что надо удалять сейчас и нижний зуб, но он здоровый и ровный. Врачи говорят правильно. 1 час назад, Анюсик сказал: можно ли что то сделать без удаления нижнего зуба(отшлифовать 8 нижний, подвинуть 7-ку, она немного в щеку смещена, срезать капюшон над нижней 8 или может что то ещё)? Нет, нижнюю левую восьмерку нужно удалить. 1 Ссылка на комментарий
Irouil Опубликовано 17 июля, 2021 Поделиться Опубликовано 17 июля, 2021 Нижнюю удалять нужно в любом случае - даже если «ровная» и «не беспокоит» и независимо от происходящего с верхней. Верхнюю, конечно, тоже надо было удалять. А ещё с другой стороны (справа) надо удалить обе - и верхнюю, и нижнюю. Ссылка на комментарий
Анюсик Опубликовано 18 июля, 2021 Автор Поделиться Опубликовано 18 июля, 2021 17.07.2021 в 13:46, It'sGeorgy сказал: Абсолютно правильно. Скажите спасибо вашему доктору, который правильно оценил ситуацию и отправил вас на удаление. Какая была у меня ситуация? Вы можете более развёрнуто ответить? Пожалуйста. Просто мне уже другой врач сказал, что я могла и всю жизнь прожить с этим зубом. 17.07.2021 в 14:19, Irouil сказал: Нижнюю удалять нужно в любом случае - даже если «ровная» и «не беспокоит» и независимо от происходящего с верхней. Почему??? Ссылка на комментарий
Анюсик Опубликовано 18 июля, 2021 Автор Поделиться Опубликовано 18 июля, 2021 17.07.2021 в 14:19, Irouil сказал: ещё с другой стороны (справа) надо удалить обе - и верхнюю, и нижнюю. Почему? Зачем удалять здоровые зубы, не мешающие другим зубам??? Ссылка на комментарий
Irouil Опубликовано 18 июля, 2021 Поделиться Опубликовано 18 июля, 2021 (изменено) Ваши нижние восьмёрки не помещаются в челюсти. Анатомическая зона, в которой они расположены, очень опасна с точки зрения воспалительных процессов - тут они легко диссеминируют под челюсть и глубже, откуда достать их можно только разрезав шею. Учитывая примерно нулевую пользу от этих зубов в таком их положении, риски их оставления абсолютно неоправданны. Верхние же восьмёрки без нижних теряют даже теоретическую какую-то пользу, а так как реабилитация после удаления нижней восьмёрки чаще всего предполагает выраженный отёк на несколько суток - удаление верхней восьмёрки в такой ситуации проходит практически незаметно, чем большинство хирургов стараются пользоваться Изменено 18 июля, 2021 пользователем Irouil 1 1 Ссылка на комментарий
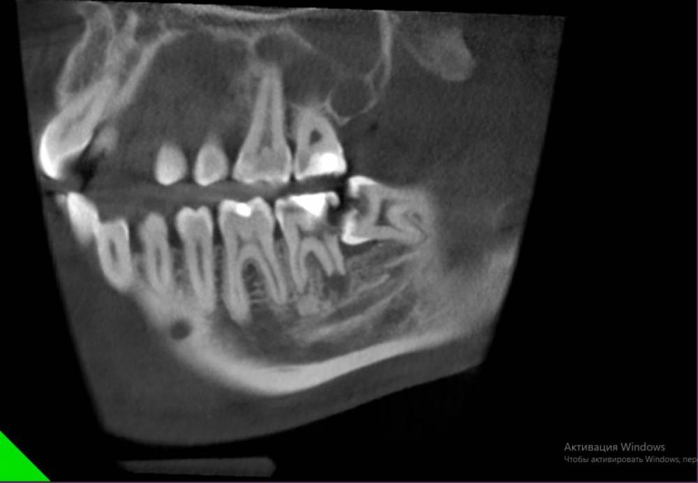
Sier10 Опубликовано 18 июля, 2021 Поделиться Опубликовано 18 июля, 2021 2 часа назад, Анюсик сказал: Какая была у меня ситуация? Вы можете более развёрнуто ответить? Пожалуйста. Просто мне уже другой врач сказал, что я могла и всю жизнь прожить с этим зубом. Ваша изначальная ситуация предрасполагала к вот такому исходу. Теперь вместе с зубом мудрости нужно удалять и соседний седьмой зуб. п.с. человека на снимке НИЧЕГО не беспокоило и не беспокоит. Забеспокоит только при обострении, изза чего при обращении нормально обезболить может не получиться, будет больно и тд и тп. Именно поэтому и рекомендуют в некоторых ситуациях превентивное (профилактическое) удаление зубов мудрости. Как и в вашем случае 1 1 1 Ссылка на комментарий
Анюсик Опубликовано 19 июля, 2021 Автор Поделиться Опубликовано 19 июля, 2021 (изменено) 17.07.2021 в 13:46, It'sGeorgy сказал: Изменено 19 июля, 2021 пользователем Анюсик Ссылка на комментарий
Рекомендуемые сообщения
Для публикации сообщений создайте учётную запись или авторизуйтесь
Вы должны быть пользователем, чтобы оставить комментарий
Создать аккаунт
Зарегистрируйте новый аккаунт в нашем сообществе. Это очень просто!
Регистрация нового пользователяВойти
Уже есть аккаунт? Войти в систему.
Войти