Pole4ka Опубликовано 4 июля, 2021 Поделиться Опубликовано 4 июля, 2021 Добрый день уважаемые специалисты. Три года назад у сына произошла травма, в возрасте 8 лет. Был выбит передний зуб, сломан альвеолярный участок кости. В нашем населённом пункте не было ни одного специалиста, который мог бы помочь в этой ситуации. Через три часа после травмы, были направлены в челюстно-лицевую хирургии в другом городе. Выбитый зуб находился в физрастворе. В итоге, была сделана операция, реплантирован зуб (верхушка зуба на тот момент была не сформирована), добавили костную ткань в месте перелома альвеолярной кости,наложили швы, поставили шины и вывели зуб из прикуса. В течение месяца наблюдались каждый день. Соблюдали все рекомендации по питанию и санации полости. В итоге, зуб прижился. Зуб не депульпировали! На сейчас он ничем не отличается от соседних, единственное, ушел вверх. Через год после травмы поставили расширительные пластины. Т. к. плюс ко всему у нас открытый прикус. Два года пластин. На сейчас ждем полной смены зубов и установки брекетов. Вопрос следующего характера, что можно сказать о текущем состоянии реплантированного зуба и какие шансы его дальнейшего пребывания в полости рта? Есть ли резорбция и другие какие-то минусы? Повторюсь - зуб был не сформирован (верхушка открыта и доктор дал шанс на ревитализацию пульпы). Всем спасибо! Так было ровно год назад Ссылка на комментарий
red_butler Опубликовано 4 июля, 2021 Поделиться Опубликовано 4 июля, 2021 Здравствуйте, сказать что то конкретное только по вашим снимкам не возможно. Нужен очный осмотр и Кт 1 Ссылка на комментарий
Pole4ka Опубликовано 4 июля, 2021 Автор Поделиться Опубликовано 4 июля, 2021 @red_butler Спасибо, поняла. К огромному сожалению личный приём не возможен... Есть прошлогоднее КТ. Если можно, я добавлю снимки. Спасибо за комментарии и участие! Ссылка на комментарий
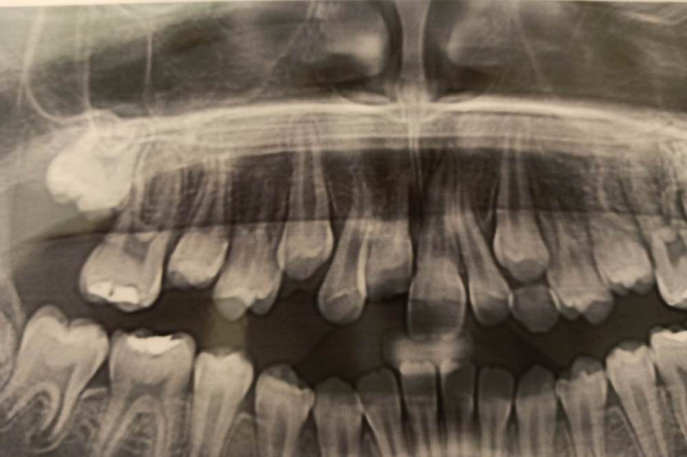
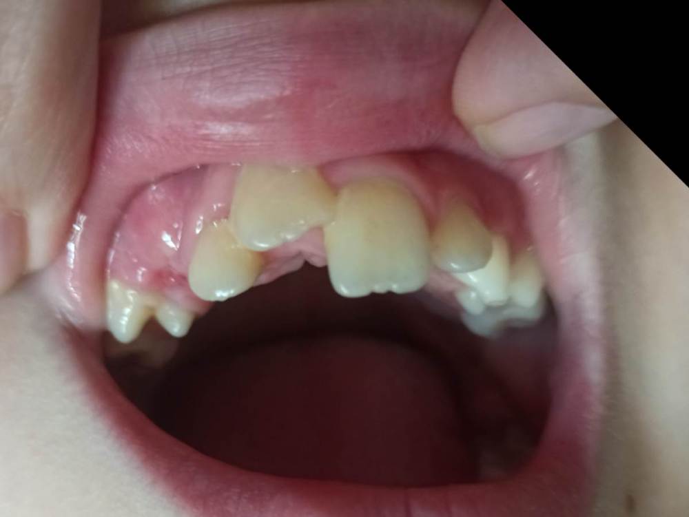
Pole4ka Опубликовано 4 июля, 2021 Автор Поделиться Опубликовано 4 июля, 2021 Так выглядит в живую. 16 минут назад, red_butler сказал: Здравствуйте, сказать что то конкретное только по вашим снимкам не возможно. Нужен очный осмотр и Кт Если можно, посмотрите пожалуйста снимки КТ. Спасибо огромное! Ссылка на комментарий
wladdX Опубликовано 4 июля, 2021 Поделиться Опубликовано 4 июля, 2021 Насколько могу судить по приложенным скринам, резорбция корня всё же есть. Судя по Вашему рассказу, проведённая коллегами работа была верной, результат весьма неплохой. Рассчитывать на длительное пребывание зуба 11 в челюсти не приходится. Когда-то его придётся удалить. 1 1 Ссылка на комментарий
Pole4ka Опубликовано 4 июля, 2021 Автор Поделиться Опубликовано 4 июля, 2021 38 минут назад, wladdX сказал: Насколько могу судить по приложенным скринам, резорбция корня всё же есть. Судя по Вашему рассказу, проведённая коллегами работа была верной, результат весьма неплохой. Рассчитывать на длительное пребывание зуба 11 в челюсти не приходится. Когда-то его придётся удалить. Спасибо большое за Ваше мнение и отклик! Нам бы дотянуть до момента, когда можно будет ставить имплант. Честно говоря, особой разницы между прошлогодним снимком (нижним среди снимков) и панорамным не вижу, поэтому возникла надежда, что резорбция приостановлена. А анкелоза нет? Спасибо! @wladdX Спасибо!!! Ссылка на комментарий
Pole4ka Опубликовано 4 июля, 2021 Автор Поделиться Опубликовано 4 июля, 2021 И ещё один момент, нельзя ли списать такой вид корня на снимке (с учётом того, что за два года особых явных изменений нет, во всяком случае визуальных), на то, что зуб был все таки не сформированный? Ссылка на комментарий
wladdX Опубликовано 5 июля, 2021 Поделиться Опубликовано 5 июля, 2021 Резорбция корня + вертикальное расположение = анкилоз. То что зуб был с несформированной верхушкой корня помогло ему простоять так долго после реплантации в растущей челюстной кости. Конечно, хорошо бы, чтоб зуб смог простоять до имплантации, но на мой взгляд это маловероятно. 1 1 Ссылка на комментарий
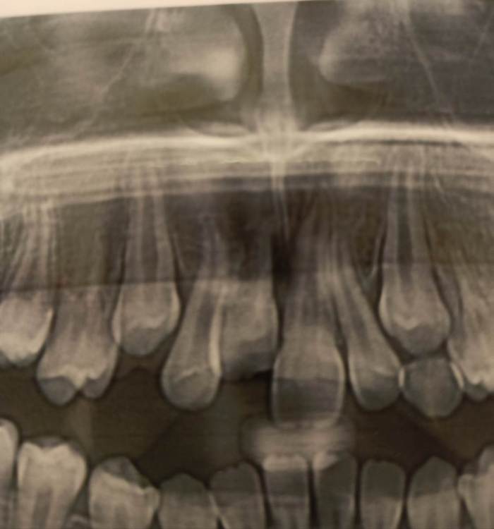
Pole4ka Опубликовано 6 июля, 2021 Автор Поделиться Опубликовано 6 июля, 2021 @wladdX @wladdX @wladdX 04.07.2021 в 21:44, wladdX сказал: 04.07.2021 в 22:25, Pole4ka сказал: @wladdX 20 часов назад, wladdX сказал: Резорбция корня + вертикальное расположение = анкилоз. То что зуб был с несформированной верхушкой корня помогло ему простоять так долго после реплантации в растущей челюстной кости. Конечно, хорошо бы, чтоб зуб смог простоять до имплантации, но на мой взгляд это маловероятно. Очень жаль, что такой неутешительные прогноз. Нам бы конечно дотянуть до имплантации. Но ведь за год изменений между двумя снимками практически нет, даже внешне (на снимках) стало чуточку лучше. И зуб не изменил цвет и неподвижный. Или это вообще ни о чем не говорит? Спасибо! Вверху 2021 год - панорамный снимок, внизу 2020 - КТ Ссылка на комментарий
Bier Опубликовано 6 июля, 2021 Поделиться Опубликовано 6 июля, 2021 Я вас не порадую: 1. Зуб анкилозирован. 3 часа в физрастворе = нет шансов на реваскуляризацию пульпы и связки. Судя по вашим снимкам однозначно анкилозирование. 2. Что делать теперь и почему: Зуб начал отставать в росте, еще через несколько лет это превратится в нерешаемую эстетическую проблему (вся челюсть будет расти, а зуб и участок челюсти с зубом - нет). Необходимо провести операцию декоронации (спилить коронковую часть зуба глубже уровня костной ткани, удалить то, что осталось от пульпы и дать так зажить. Остатки корня резорбируются сами с замещением на кость. Зато челюсть будет расти вместе с отстальными зубами. восстановить зуб временно на пластике (съемной) потом на брекетах. Имплантация желательно не раньше 21 года. Оставлять так нельзя! Ссылка на комментарий
Рекомендуемые сообщения