еатегsffhgj Опубликовано 28 июля, 2021 Автор Поделиться Опубликовано 28 июля, 2021 у меня кт только верхняя челюсть. надо делать для нижних зубов. но,я не знаю,как выкладывать. максимум это сделать скрины зуба с разных сторон и показать.но это не раньше субботы. Ссылка на комментарий
еатегsffhgj Опубликовано 29 июля, 2021 Автор Поделиться Опубликовано 29 июля, 2021 Ссылка на комментарий
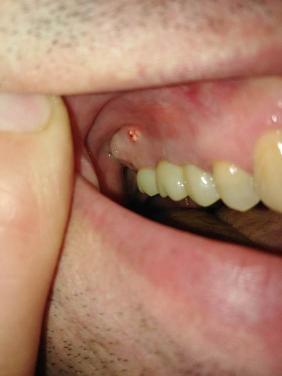
еатегsffhgj Опубликовано 5 сентября, 2021 Автор Поделиться Опубликовано 5 сентября, 2021 белая штука на десне превратилась вот во что. и,что делать? она на болит,но как будто порвала десну и вылезла наружу Ссылка на комментарий
Irouil Опубликовано 6 сентября, 2021 Поделиться Опубликовано 6 сентября, 2021 Сходить на осмотр к врачу 1 Ссылка на комментарий
еатегsffhgj Опубликовано 6 сентября, 2021 Автор Поделиться Опубликовано 6 сентября, 2021 (изменено) сходил к врачу. он вытащил несколько крошек. говорит,или крошка,которая снаружи добавлялась не прижилась,или из пазухи выдавливает. кт он не видел. только панораму. крошки вытащил,но дальше не смог расковырять. кость твердая,вроде. надо ему принести кт? как вы думаете,какой вариант наиболее вероятен?. сказал показаться в конце недели. Изменено 6 сентября, 2021 пользователем еатегsffhgj Ссылка на комментарий
Irouil Опубликовано 6 сентября, 2021 Поделиться Опубликовано 6 сентября, 2021 На мой взгляд никакого практического значения в том, из какого конкретно аугментата эта крошка прорезалась, нет. Если в конце недели все равно планируется осмотр, то мне кажется логично показать доктору КТ 1 Ссылка на комментарий
еатегsffhgj Опубликовано 6 сентября, 2021 Автор Поделиться Опубликовано 6 сентября, 2021 как это понять? надо будет удалять имплант? Ссылка на комментарий
Irouil Опубликовано 7 сентября, 2021 Поделиться Опубликовано 7 сентября, 2021 Вероятность несостоятельности имплантата в Вашей ситуации исчезающе мала прорезавшаяся крошка - это часть «порошка», которым заполняли костные дефекты. Процесс этот, обычно, очень компактный, в дефекты его достаточно надежно «трамбуют». Но одна-другая крупинка могут сбежать в толщу раны и тогда, рано или поздно, они вылезут на поверхность, чем их приключения и закончатся - как произошло в Вашем случае. А из какого именно дефекта данный беглец улизнул я значимой разницы не вижу 1 1 Ссылка на комментарий
еатегsffhgj Опубликовано 7 сентября, 2021 Автор Поделиться Опубликовано 7 сентября, 2021 т.е. от нагрузки при жевании ничего не может отваливаться,или как это назвать,не знаю? и,вообще,если бы,допустим, что то там не до конца прижилось,я бы это как нибудь почувствовал? Ссылка на комментарий
Irouil Опубликовано 7 сентября, 2021 Поделиться Опубликовано 7 сентября, 2021 От нагрузки при жевании не может. Если бы не прижилось - почувствовали бы еще до фиксации коронок 1 Ссылка на комментарий
еатегsffhgj Опубликовано 25 сентября, 2021 Автор Поделиться Опубликовано 25 сентября, 2021 здравствуйте. нижнюю 7 ку мне распломбировали. сейчас хожу с кальцием. никаких изменений нет. возможно,я зря настаивал на перелечивании. у меня такой вопрос есть: может ли этот зуб болеть при надавливании из за 8 зуба? но 8 зуб, ни при надавливании,ни при постукивании не болит. просто,я реально не знаю,что делать. и врач не понимает. врач мой думает,что из за 8 может болеть. получается так,что надо было удалять его,а потом уже смотреть,что там будет. а,я делаю все наоборот.☹️ Ссылка на комментарий
Irouil Опубликовано 25 сентября, 2021 Поделиться Опубликовано 25 сентября, 2021 Удаляйте сейчас 1 Ссылка на комментарий
еатегsffhgj Опубликовано 25 сентября, 2021 Автор Поделиться Опубликовано 25 сентября, 2021 а,почему 8 зуб не болит при надавливании,а 7 болит? разве может токое быть,если все дело в 8? Ссылка на комментарий
Irouil Опубликовано 26 сентября, 2021 Поделиться Опубликовано 26 сентября, 2021 Может. Болит не зуб, а связка, которую 8-й зуб может раздражать 1 Ссылка на комментарий
еатегsffhgj Опубликовано 26 сентября, 2021 Автор Поделиться Опубликовано 26 сентября, 2021 сейчас ,после перелечивания 2 дня назад, и кальция,у меня вообще весь зуб болит при надавливании,а до перелечивания была реакция при надавливании на дальний бугор,ближе к щеке. а,как теперь лучше поступить? дождаться следующего приема,и окончательно запломбировать зуб? а потом удалить 8? главврач в личное время свое распломбировала каналы с микроскопом. все было так долго,тяжело очищались стенки. и,если этот кальций не сработает,то дело не в этом зубе. даже не знаю,как и идти потом на прием. пипец,какой то...а,улучшений после кальция пока не наблюдаю...да,уж.... Ссылка на комментарий
Irouil Опубликовано 26 сентября, 2021 Поделиться Опубликовано 26 сентября, 2021 Наблюдать зуб надо после окончательной пломбировки, то, что происходит сейчас - не очень показательно восьмерку надо удалять в любом случае 1 Ссылка на комментарий
еатегsffhgj Опубликовано 27 сентября, 2021 Автор Поделиться Опубликовано 27 сентября, 2021 у меня зуб 3 й день болит. жевать на нем вообще невозможно. пью ибупрофен. разве такое нормально после кальция? Ссылка на комментарий
еатегsffhgj Опубликовано 28 сентября, 2021 Автор Поделиться Опубликовано 28 сентября, 2021 ходил к хирургу сегодня по поводу удаления 8. прощупал,удалять буду само собой,но к моей боли он отношения не имеет. опять же по словам хирурга. сделал разрез десны что то просверлил в кости. у 7 зуба. в момент сверления была как раз та боль,которая у меня всегда,только сильнее раза в два. назначил антибиотики. поставил резинку. говорит,что должно быть легче. пока я не понял,легче,или нет. короче,жесть какая то. сегодня снимок сделал Ссылка на комментарий
еатегsffhgj Опубликовано 28 сентября, 2021 Автор Поделиться Опубликовано 28 сентября, 2021 никто не может помочь с этим зубом. что мне делать то? удалять,что ли его? Ссылка на комментарий
еатегsffhgj Опубликовано 29 сентября, 2021 Автор Поделиться Опубликовано 29 сентября, 2021 а,если резинка вылетела,то десна не зарастет за ночь? промывания надо каждый день. я и подумал,а ,если зарастет? как промывать? и еще один вопросик. а,можно перед промыванием сделать анестезию? уж очень больно. сейчас был на промывке. это реально больно. даже слезы пошли Ссылка на комментарий
еатегsffhgj Опубликовано 29 сентября, 2021 Автор Поделиться Опубликовано 29 сентября, 2021 и у меня еще отек на щеке. так и должно быть? Ссылка на комментарий
Irouil Опубликовано 30 сентября, 2021 Поделиться Опубликовано 30 сентября, 2021 @еатегsffhgj свежий снимок никак не отличается от старого и, в принципе, отличаться не должен. Изменения на снимке наблюдают через 6 месяцев после окончательной пломбировки, а у Вас, насколько я понял из всего описанного, она пока не выполнена. Идти надо было (и надо сейчас) к терапевту, который зуб лечит, а не к хирургу. Решение о прогнозе сохранения этого зуба принимать именно ему. Вы спрашиваете советы, потом поступаете наоборот и каждый раз задаетесь вопросом почему ничего не помогает. Я не знаю (и навряд кто-нибудь здесь знает) зачем Вам «что-то там посверлили в кости», разрезы выполняются для снятия обострения. Идите к стоматологу-терапевту, все остальные действия предпринимайте основываясь на его рекомендациях 1 Ссылка на комментарий
еатегsffhgj Опубликовано 30 сентября, 2021 Автор Поделиться Опубликовано 30 сентября, 2021 (изменено) у меня есть проблема. сильная боль,которая не проходит. и я обращаюсь с этой проблемой к стоматологам очно. помимо этого задаю вопросы здесь. потому что что то спросить у врача забываешь. и,конечно же,я читая ваши советы,все равно выполняю рекомендации лечащего врача. у меня болит зуб. ноет вся эта область. а,мне все говорят,что это нормально. в том числе и здесь. если бы,я мог выяснить причину без врачей,я бы это сделал,и не стал бы никого отвлекать. Изменено 30 сентября, 2021 пользователем еатегsffhgj Ссылка на комментарий
еатегsffhgj Опубликовано 1 октября, 2021 Автор Поделиться Опубликовано 1 октября, 2021 (изменено) кстати,когда мне вымыли кальций, показали снимок прицельный, оказалось,что в одном корне в верхушке инструмент, еще один корень с двумя каналами,один из которых не был обнаружен с помощью микроскопа. скорее всего будут удалять. а,вы говорите иди к терапевту. по поводу просверленной кости,я уточнил. мне сделали разрез на десне, и в кортикальной кости,т.к она очень плотная. сейчас этот канал прошли. предлагают кальций опять попробовать,но смогу ли я еще терпеть эту боль - не знаю. Изменено 1 октября, 2021 пользователем еатегsffhgj Ссылка на комментарий
Irouil Опубликовано 1 октября, 2021 Поделиться Опубликовано 1 октября, 2021 Я не говорил, что боль - это нормально, я лишь сказал, что наличие болевых ощущений после временной пломбировки не является определяющим для прогноза окончательного его лечения. к терапевту я Вас направляю, т.к. это единственный, если я правильно понимаю ситуацию, человек, видевший изнутри каналы Вашего зуба своими глазами относительно недавно. Это гораздо более информативно, чем самые лучшие снимки. если Вы задаёте вопросы (включая те, что пишите здесь) лечащему врачу на приёме и не получаете на них ответы, то это повод задуматься о смене лечащего врача, на мой взгляд. если Вы выложите своё КТ в терапевтическую ветку форума, то шанс грамотных советов относительно лечения этого зуба значительно возрастёт 1 Ссылка на комментарий
Рекомендуемые сообщения
Для публикации сообщений создайте учётную запись или авторизуйтесь
Вы должны быть пользователем, чтобы оставить комментарий
Создать аккаунт
Зарегистрируйте новый аккаунт в нашем сообществе. Это очень просто!
Регистрация нового пользователяВойти
Уже есть аккаунт? Войти в систему.
Войти